Wrist

Wrist
A human showing the wrist in the centre
The carpal bones, sometimes included in the definition of the wrist
Details
Identifiers
Latinarticulatio radiocarpalis
MeSHD014953
TA98A01.1.00.026
TA2147
FMA24922
Anatomical terminology

In human anatomy, the wrist is variously defined as (1) the carpus or carpal bones, the complex of eight bones forming the proximal skeletal segment of the hand;[1][2] (2) the wrist joint or radiocarpal joint, the joint between the radius and the carpus[2] and; (3) the anatomical region surrounding the carpus including the distal parts of the bones of the forearm and the proximal parts of the metacarpus or five metacarpal bones and the series of joints between these bones, thus referred to as wrist joints.[3][4] This region also includes the carpal tunnel, the anatomical snuff box, bracelet lines, the flexor retinaculum, and the extensor retinaculum.

As a consequence of these various definitions, fractures to the carpal bones are referred to as carpal fractures, while fractures such as distal radius fracture are often considered fractures to the wrist.

Structure

Posterior and anterior aspects of right human wrist
Ligaments of wrist. Posterior and anterior views

The distal radioulnar joint (DRUJ) is a pivot joint located between the distal ends of the radius and ulna, which make up the forearm. Formed by the head of the ulna (the bony knob on the back of the wrist) and the ulnar notch of the radius, the DRUJ is separated from the radiocarpal (wrist) joint by an articular disk lying between the radius and the styloid process of the ulna. The capsule of the joint is lax and extends from the inferior sacciform recess to the ulnar shaft. The DRUJ works with the proximal radioulnar joint (at the elbow) for pronation and supination.[5]

The radiocarpal (wrist) joint is an ellipsoid joint formed by the radius and the articular disc proximally and the proximal row of carpal bones distally. The carpal bones on the ulnar side only make intermittent contact with the proximal side — the triquetrum only makes contact during ulnar abduction. The capsule, lax and un-branched, is thin on the dorsal side and can contain synovial folds. The capsule is continuous with the midcarpal joint and strengthened by numerous ligaments, including the palmar and dorsal radiocarpal ligaments, and the ulnar and radial collateral ligaments. [6]

The parts forming the radiocarpal joint are the lower end of the radius and under surface of the articular disk above; and the scaphoid, lunate, and triquetral bones below. The articular surface of the radius and the undersurface of the articular disk form together with a transversely elliptical concave surface, the receiving cavity. The superior articular surfaces of the scaphoid, lunate, and triquetrum form a smooth convex surface, the condyle, which is received into the concavity.[7]

Carpal bones of the hand:

In the hand proper a total of 13 bones form part of the wrist: eight carpal bonesscaphoid, lunate, triquetral, pisiform, trapezium, trapezoid, capitate, and hamate— and five metacarpal bones—the first, second, third, fourth, and fifth metacarpal bones.[8]

The midcarpal joint is the S-shaped joint space separating the proximal and distal rows of carpal bones. The intercarpal joints, between the bones of each row, are strengthened by the radiate carpal and pisohamate ligaments and the palmar, interosseous, and dorsal intercarpal ligaments. Some degree of mobility is possible between the bones of the proximal row while the bones of the distal row are connected to each other and to the metacarpal bones —at the carpometacarpal joints— by strong ligaments —the pisometacarpal and palmar and dorsal carpometacarpal ligament— that makes a functional entity of these bones. Additionally, the joints between the bases of the metacarpal bones —the intermetacarpal articulations— are strengthened by dorsal, interosseous, and palmar intermetacarpal ligaments.[6]

The earliest carpal bones to ossify are capitate bone and hamate bone in the first six months of an infant life.[9]

Articulations

The radiocarpal, intercarpal, midcarpal, carpometacarpal, and intermetacarpal joints often intercommunicate through a common synovial cavity. [10]

Articular surfaces

It has two articular surfaces named, proximal and distal articular surfaces respectively. The proximal articular surface is made up of the lower end of the radius and a triangular articular disc of the inferior radio-ulnar joint. On the other hand, the distal articular surface is made up of proximal surfaces of the scaphoid, triquetral and lunate bones.[11]

Micro-radiography of 8-weeks human embryo hand

Function

Movement

The extrinsic hand muscles are located in the forearm where their bellies form the proximal fleshy roundness. When contracted, most of the tendons of these muscles are prevented from standing up like taut bowstrings around the wrist by passing under the flexor retinaculum on the palmar side and the extensor retinaculum on the dorsal side. On the palmar side the carpal bones form the carpal tunnel,[12] through which some of the flexor tendons pass in tendon sheaths that enable them to slide back and forth through the narrow passageway (see carpal tunnel syndrome).[13]

Starting from the mid-position of the hand, the movements permitted in the wrist proper are (muscles in order of importance):[14][15]

However, movements at the wrist can not be properly described without including movements in the distal radioulnar joint in which the rotary actions of supination and pronation occur and this joint is therefore normally regarded as part of the wrist.[17]

Clinical significance

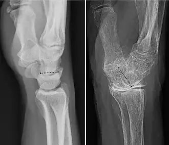
Projectional radiograph of a normal wrist (left image) and one with a dorsal tilt due to wrist osteoarthritis (as well as osteoporosis). The angle of the distal surface of the lunate bone is annotated. A dorsal tilt of 10 to 15 degrees is considered normal.[18]

Wrist pain has a number of causes, including carpal tunnel syndrome,[16] ganglion cyst,[19] tendinitis,[20] and osteoarthritis. Tests such as Phalen's test involve palmarflexion at the wrist.

The hand may deviate at the wrist in some conditions, such as rheumatoid arthritis.

Ossification of the bones around the wrist is one indicator used in taking a bone age.

A wrist fracture typically refers to a distal radius fracture. It is more common in non-Hispanic women and is associated with factors such as alcohol consumption, smoking, high serum phosphate levels, osteoporosis, and obesity.[21]

History

Etymology

The English word "wrist" is etymologically derived from the Proto-Germanic word wristiz from which are derived modern German Rist ("instep", "wrist") and modern Swedish vrist ("instep", "ankle"). The base writh- and its variants are associated with Old English words "wreath", "wrest", and "writhe". The wr- sound of this base seems originally to have been symbolic of the action of twisting.[22]

See also

Additional images

References

  1. ^ Behnke 2006, p. 76 "The wrist contains eight bones, roughly aligned in two rows, known as the carpal bones."
  2. ^ a b Moore KL, Agur AM (2006). Essential clinical anatomy. Lippincott Williams & Wilkins. p. 485. ISBN 0-7817-6274-X. The wrist (carpus), the proximal segment of the hand, is a complex of eight carpal bones. The carpus articulates proximally with the forearm at the wrist joint and distally with the five metacarpals. The joints formed by the carpus include the wrist (the radiocarpal joint), intercarpal, carpometacarpal, and intermetacarpal joints. Augmenting movement at the wrist joint, the rows of carpals glide on each other [...]
  3. ^ Behnke 2006, p. 77 "With the large number of bones composing the wrist (ulna, radius, eight carpas, and five metacarpals), it makes sense that there are many, many joints that make up the structure known as the wrist."
  4. ^ Baratz M, Watson AD, Imbriglia JE (1999). Orthopaedic surgery: the essentials. Thieme. p. 391. ISBN 0-86577-779-9. The wrist joint is composed of not only the radiocarpal and distal radioulnar joints but also the intercarpal articulations.
  5. ^ Platzer 2004, p. 122
  6. ^ a b Platzer 2004, p. 130
  7. ^ "Wrist Joint". The Lecturio Medical Concept Library. Retrieved 2021-06-23.
  8. ^ Platzer 2004, pp. 126–129
  9. ^ Al-Khater KM, Hegazi TM, Al-Thani HF, Al-Muhanna HT, Al-Hamad BW, Alhuraysi SM, et al. (September 2020). "Time of appearance of ossification centers in carpal bones. A radiological retrospective study on Saudi children". Saudi Medical Journal. 41 (9): 938–946. doi:10.15537/smj.2020.9.25348. PMC 7557557. PMID 32893275.
  10. ^ Isenberg DA, Maddison P, Woo P (2004). Oxford textbook of rheumatology. Oxford University Press. p. 87. ISBN 0-19-850948-0.
  11. ^ "Wrist Joint". Earth's Lab. 8 August 2018.
  12. ^ Rea P (2016-01-01). "Chapter 3 - Neck". In Rea P (ed.). Essential Clinically Applied Anatomy of the Peripheral Nervous System in the Head and Neck. Academic Press. pp. 131–183. doi:10.1016/b978-0-12-803633-4.00003-x. ISBN 978-0-12-803633-4.
  13. ^ Saladin KS (2003). Anatomy & Physiology: The Unity of Form and Function (3rd ed.). McGraw-Hill. pp. 361, 365.
  14. ^ Platzer 2004, p. 132
  15. ^ Platzer 2004, p. 172
  16. ^ a b c d e Lalani I, Argoff CE (2008-01-01). "Chapter 10 - History and Physical Examination of the Pain Patient". In Benzon HT, Rathmell JP, Wu CL, Turk DC (eds.). Raj's Practical Management of Pain (Fourth ed.). Philadelphia: Mosby. pp. 177–188. doi:10.1016/B978-032304184-3.50013-3. ISBN 978-0-323-04184-3.
  17. ^ Kingston B (2000). Understanding joints: a practical guide to their structure and function. Nelson Thornes. pp. 126–127. ISBN 0-7487-5399-0.
  18. ^ Döring AC, Overbeek CL, Teunis T, Becker SJ, Ring D (October 2016). "A Slightly Dorsally Tilted Lunate on MRI can be Considered Normal". The Archives of Bone and Joint Surgery. 4 (4): 348–352. PMC 5100451. PMID 27847848.
  19. ^ Stretanski MF (2020-01-01). "Chapter 32 - Hand and Wrist Ganglia". In Frontera WR, Silver JK, Rizzo TD (eds.). Essentials of Physical Medicine and Rehabilitation (Fourth ed.). Philadelphia: Content Repository Only!. pp. 169–173. doi:10.1016/B978-0-323-54947-9.00032-8. ISBN 978-0-323-54947-9. S2CID 229189365.
  20. ^ Waldman SD (2014-01-01). "Chapter 58 - Flexor Carpi Radialis Tendinitis". In Waldman SD (ed.). Atlas of Uncommon Pain Syndromes (Third ed.). Philadelphia: W.B. Saunders. pp. 172–174. doi:10.1016/b978-1-4557-0999-1.00058-7. ISBN 978-1-4557-0999-1.
  21. ^ Ye, Juncai; Li, Qiao; Nie, Jing (2022-04-25). "Prevalence, Characteristics, and Associated Risk Factors of Wrist Fractures in Americans Above 50: The Cross-Sectional NHANES Study". Frontiers in Endocrinology. 13. doi:10.3389/fendo.2022.800129. ISSN 1664-2392. PMC 9082306. PMID 35547001.
  22. ^ "Hand Etymology". American Society for Surgery of the Hand.

Sources

  • Behnke RS (2006). Kinetic anatomy. Human Kinetics. ISBN 0-7360-5909-1.
  • Platzer W (2004). Color Atlas of Human Anatomy, Vol. 1: Locomotor System (5th ed.). Thieme. ISBN 3-13-533305-1.