Transmissible spongiform encephalopathy
| Prion diseases | |
|---|---|
| Other names | Transmissible spongiform encephalopathy (TSE) |
![]() | |
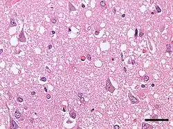
| Micrograph showing spongiform degeneration (vacuoles that appear as holes in tissue sections) in the cerebral cortex of a patient who had died of Creutzfeldt–Jakob disease. H&E stain, scale bar = 30 microns (0.03 mm). | |
| Specialty | Infectious diseases |
| Symptoms | Dementia, seizures, tremors, insomnia, psychosis, delirium, confusion |
| Usual onset | Months to decades |
| Types | Bovine spongiform encephalopathy, Fatal familial insomnia, Creutzfeldt-Jakob disease, kuru, Huntington's disease-like 1, scrapie, variably protease-sensitive prionopathy, chronic wasting disease, Gerstmann-Sträussler-Scheinker syndrome, feline spongiform encephalopathy, transmissible mink encephalopathy, exotic ungulate encephalopathy, camel spongiform encephalopathy, PrP systemic amyloidosis, Familial Alzheimer-like prion disease |
| Causes | Prion |
| Risk factors | Contact with infected fluids, ingestion of infected flesh, having one or two parents that have the disease (in case of fatal familial insomnia) |
| Diagnostic method | Currently there is no way to reliably detect prions except at post-mortem |
| Prevention | Varies |
| Treatment | Palliative care |
| Prognosis | Invariably fatal |
| Frequency | Rare |
Transmissible spongiform encephalopathies (TSEs), also known as prion diseases,[1] are a group of progressive, incurable, and invariably fatal conditions that are associated with the degeneration of the nervous system in many animals, including humans, cattle, and sheep. Strong evidence now supports the once unorthodox hypothesis that prion diseases are transmitted by abnormally shaped protein molecules known as prions.[2][3] Prions consist of a protein called the prion protein (PrP).[2] Misshapen PrP (often referred to as PrPSc) conveys its abnormal structure to naive PrP molecules by a crystallization-like seeding process. Because the abnormal proteins stick to each other, and because PrP is continuously produced by cells, PrPSc accumulates in the brain, harming neurons and eventually causing clinical disease.[2][4][3]
Prion diseases are marked by mental and physical deterioration that worsens over time.[5][6] A defining pathologic characteristic of prion diseases is the appearance of small vacuoles in various parts of the central nervous system that create a sponge-like appearance when brain tissue obtained at autopsy is examined under a microscope.[2][3] Other changes in affected regions include the buildup of PrPSc, gliosis, and the loss of neurons.[7]
In non-human mammals, the prion diseases include scrapie in sheep, bovine spongiform encephalopathy (BSE) in cattle (popularly known as "mad cow disease") chronic wasting disease (CWD) in deer and elk, and others.[8] prion diseases of humans include Creutzfeldt–Jakob disease, Gerstmann–Sträussler–Scheinker syndrome, fatal familial insomnia, kuru, and variably protease-sensitive prionopathy.[6][9] Creutzfeldt-Jakob disease has been divided into four subtypes: sporadic (idiopathic) (sCJD), hereditary/familial (fCJD), iatrogenic (iCJD) and variant (vCJD). These diseases form a spectrum of related conditions with overlapping signs and symptoms.
Prion diseases are unusual in that their aetiology may be genetic, infectious, or idiopathic.[2] Genetic (inherited) prion diseases result from rare mutations in PRNP, the gene that codes for PrP (see Genetics, below). Unlike conventional infectious diseases, which are spread by agents with a DNA or RNA genome (such as viruses or bacteria), prion diseases are transmitted by prions, the active material of which is solely abnormal PrP. Infection can occur when the organism is exposed to prions through ingestion of infected foodstuffs or via iatrogenic means (such as treatment with biologic material that had been inadvertently contaminated with prions).[10] The variant form of Creutzfeldt–Jakob disease in humans is caused by exposure to BSE prions.[11][12][13] Whereas the naturally occurring transmission of prion diseases among nonhuman species is relatively common, prion transmission to humans is very rare; rather, the majority of human prion diseases are idiopathic in nature[14] (see Infectivity, below). Sporadic prion diseases occur in the absence of a mutation in the gene for PrP or a source of infection.
Although research has shown that the infectious capacity of prions is encoded in the conformation of PrPSc,[2][4] it is likely that auxilliary substances contribute to their formation and/or infectivity. Purified PrPC appears to be unable to convert to the infectious PrPSc form in a protein misfolding cyclic amplification (PMCA) assay unless other components are added, such as a polyanion (usually RNA) and lipids. These other components, termed cofactors, may form part of the infectious prion, or they may serve as catalysts for the replication of a protein-only prion.[15] Considering that the cofactors can be produced by chemical synthesis instead of being sourced solely from infected cases (or any animal at all), it is fair to say that they do not form the infectious part of the prion. However, these catalysts (especially the polyanion) do have a tendency to be included in the prion aggregate, which makes seeding new aggregates easier in vitro.[16][17]
Classification
Prion diseases can be classified according to the characteristics of the prions that are involved in each type of disease. PrPC refers to "Cellular" PrP, the normal form of the protein that is not misfolded.[18] PrPSc refers to the scrapie-associated form of PrP,[18] although it is often used as a general term for misfolded (disease-causing) PrP. Other generic terms for disease-associated PrP are PrPRes ("Res" stands for "Resistant" to protease),[19] and PrPD ("D" for "Disease").[20] In the Table below, different prion types are classified based on the disease to which they are linked. Differences in shape among the different prion protein forms are incompletely understood, although new methods such as cryo-electron microscopy are beginning to address this problem.[21][22]
| ICTVdb Code | Disease name | Natural host | Prion name | PrP isoform | Ruminant |
|---|---|---|---|---|---|
| Non-human mammals | |||||
| 90.001.0.01.001. | Scrapie | Sheep and goats | Scrapie prion | PrPSc | Yes |
| 90.001.0.01.002. | Transmissible mink encephalopathy (TME) | Mink | TME prion | PrPTME | No |
| 90.001.0.01.003. | Chronic wasting disease (CWD) | Elk, white-tailed deer, mule deer and red deer | CWD prion | PrPCWD | Yes |
| 90.001.0.01.004. | Bovine spongiform encephalopathy (BSE) commonly known as "mad cow disease" |
Cattle | BSE prion | PrPBSE | Yes |
| 90.001.0.01.005. | Feline spongiform encephalopathy (FSE) | Cats | FSE prion | PrPFSE | No |
| 90.001.0.01.006. | Exotic ungulate encephalopathy (EUE) | Nyala and greater kudu | EUE prion | PrPEUE | Yes |
| Camel spongiform encephalopathy (CSE)[23] | Camel | PrPCSE | Yes | ||
| Human diseases | |||||
| 90.001.0.01.007. | Kuru | Humans | Kuru prion | PrPKuru | No |
| 90.001.0.01.008. | Creutzfeldt–Jakob disease (CJD) | CJD prion | PrPsCJD | No | |
| Variant Creutzfeldt–Jakob disease (vCJD, nvCJD) | vCJD prion[24] | PrPvCJD | |||
| 90.001.0.01.009. | Gerstmann-Sträussler-Scheinker syndrome (GSS) | GSS prion | PrPGSS | No | |
| 90.001.0.01.010. | Fatal familial insomnia (FFI) | FFI prion | PrPFFI | No | |
| Familial spongiform encephalopathy[25] | |||||
Pathology
The degenerative tissue damage caused by prion disease in the nervous system is characterised by four features: spongiform change (the presence of many small vacuoles); the death of neurons; astrocytosis (abnormal increase in the number of astrocytes); and deposits of abnormal PrP (some of which have the characteristics of amyloid).[26] These neuropathological features have formed the basis of the histological diagnosis of prion diseases for many years, although it has been recognized that these changes are highly variable both from case to case and within the central nervous system in individual cases.[27][26] In humans, prion diseases with different genetic or infectious causes often have different patterns of pathology. For instance, amyloid plaques are rare in most prion diseases, but they are common in some diseases such as kuru and variant CJD. Owing to the rarity of amyloid per se in prion diseases, it is thought that non-amyloid forms of PrPSc are responsible for neurodegeneration.[26] In rare instances of human prion disease, tauopathy resembling the neurofibrillary tangles in Alzheimer's disease is present, highlighting the many ways in which the pathology of prion diseases can vary.[26] Despite this variation, all prion diseases have in common the buildup of abnormal PrP in the nervous system.

Signs and symptoms
The clinical signs of prion diseases in humans vary, but the classical signs of sporadic CJD include rapidly progressive dementia, behavioral abnormalities, disturbances of movement such as lack of coordination and/or an unsteady gait (ataxia), and involuntary jerking movements (myoclonus).[28][29] Patients also may experience unusual sensations, insomnia, and confusion, and in the later stages of the disease they may lose the ability to move or speak.[30] The clinical course of prion diseases usually is relatively rapid (the mean survival time for sporadic CJD is 6 months, although it can sometimes be a year or more),[28] and all prion diseases are ultimately fatal. Studies of heritable and acquired (infectious) prion diseases have found that the relatively brief symptomatic phase is preceded by a long silent phase during which the pathology develops in the brain. For example, the incubation period for kuru following infection with prions can exceed 50 years.[3] The highly variable nature of signs and symptoms in prion diseases makes them difficult to distinguish from other neurologic disorders based solely on their clinical traits.[28]
Genetics
Only 10-15% of human prion disease cases are heritable; most of them occur sporadically, that is, in the absence of known genetic mutations or infection.[31][28] However, discovery of the gene involved in heritable prion diseases was a critical event in linking abnormalities of the prion protein to genetic, infectious and idiopathic prion diseases.[2] All familial forms of prion disease are caused by inherited mutations in the PRNP gene, which codes for PrP.[31] Three general types of PRNP mutation can lead to disease: point mutations that change an amino acid in a specific part of PrP; a premature stop codon that results in shortened PrP molecules; or the insertion of extra octapeptide repeats that abnormally lengthen part of the protein.[31] These mutations increase the likelihood that PrP will fold into the wrong shape (PrPSc) and amplify within the nervous system. Different mutations can cause prion diseases with different clinical and pathological characteristics.[31]
The normal function(s) of PrP are incompletely understood, although it is likely that the protein participates in many biochemical processes.[32] It is expressed throughout much of the body, and is especially abundant in the nervous system.[33] When the PRNP gene is inactivated in animals such as mice, cattle and goats, the PrP-deficient animals are resistant to prion infection.[33] Although the absence of a functional PRNP gene can result in changes in various tissues, the animals are viable and appear to be relatively normal, at least at young ages.[33]
Infectivity
Scrapie was suspected to be infectious among sheep in the earliest days from which reliable reports are available.[34] However, it wasn't until the 1930s that the inoculation experiments of Jean Cuillé and Paul-Louis Chelle convincingly demonstrated the infectivity of scrapie[35][34] (see History, below). In 1959, William Hadlow recognized striking similarities between scrapie and the kuru cases described in humans by D. Carleton Gajdusek.[36] The shared features of these human and nonhuman diseases prompted Gajdusek to conduct a series of experiments in which he demonstrated that human spongiform encephalopathies are transmissible to nonhuman primates. His research group reported the transmissibility of kuru in 1966,[37] Creutzfeldt-Jakob disease (CJD) in 1968,[38] and Gerstmann–Sträussler–Scheinker syndrome (GSS) in 1981.[39] These experiments showed that human spongiform encephalopathies, like those in nonhuman species, can be infectious; because the diseases have an unusually long incubation period following exposure to the infectious agent,[29] the agent was sometimes referred to as a 'slow virus'.[40][2] The infectious agent was not shown with reasonable certainty to be primarily a protein until the work of Stanley Prusiner gave rise to the prion concept in 1982.[41][2]
Infectious prion diseases in humans are uncommon and decreasing in incidence. Iatrogenic versions have been recognized since the 1980's: Creutzfeldt–Jakob disease has been inadvertently transmitted to patients via injections of growth hormone harvested from human cadaveric pituitary glands, via cadaveric dural allografts, and (more rarely) via corneal transplants, transfusion of blood products, and exposure to contaminated instruments used for brain surgery.[28] Prions can survive heating in the autoclave, a method used for the conventional sterilization of surgical instruments[42]. For this reason, special precautions need to be taken to ensure the complete sterility of neurosurgical instruments.[43]
Dietary consumption of affected animal parts can transmit prion disease, especially in nonhuman species in which infectious prion diseases are relatively common. In these instances, how the agent gains wider access to the body is not entirely clear; besides the apparent transmission of prions via the alimentary tract, transmissible spongiform encephalopathies may be naturally acquired when prion-containing material comes in contact with damaged tissues such as the gums, skin, or conjunctiva.[44] In humans, infection via consumption is very rare, two well-known examples being kuru and variant Creutzfeldt-Jakob disease (vCJD).[6] Kuru is a (now extinct) prion disease that reached epidemic proportions in the mid-20th century in the Fore people of Papua New Guinea. Until the practice was abandoned in the mid-20th century, the Fore people would consume their dead as a funerary ritual.[45] With the cessation of ritual cannibalism, new cases of kuru slowly ceased to appear.[28] A more well-known infectious human prion disease is vCJD, a zoonotic prion disease that is caused by the consumption of tissues from cows with bovine spongiform encephalopathy (BSE).[29] Cows are thought to have acquired BSE by consuming food that contained meat products derived from animals with prion disease, possibly sheep with scrapie.[28] Fortunately, vCJD has largely been eliminated by efforts to exclude tainted meat products from the food chain. Regulations in many developed countries now ban the use of rendered ruminant proteins in ruminant feed as a precaution against the spread of prion infection in cattle and other animals.[46]
Prions cannot be transmitted through the air, through touching, or by most other forms of casual contact. However, they may be transmitted through contact with infected tissue, bodily fluids, or contaminated medical instruments. Normal sterilization procedures such as boiling or irradiating materials fail to render prions non-infective. However, treatment with strong, almost undiluted bleach and/or sodium hydroxide, or heating to a minimum of 134 °C, does destroy prions.[47]
Epidemiological surveillance has identified cases of atypical bovine spongiform encephalopathy (BSE) and scrapie in livestock, as well as chronic wasting disease (CWD) in cervids, highlighting the zoonotic potential of prion diseases and their impact on animal and human health.[48]
Other hypotheses
The infectious protein hypothesis has become the prevailing explanation for the causation of prion diseases.[28][2][40] However, in the years following the recognition of their infectivity, other hypotheses regarding the infectious agent have been proposed. These include unorthodox forms of carbohydrates, lipids, nucleic acids, or unusual or cryptic infectious agents.[2] With respect to causation by nucleic acid-based infectious agents, a hypothesis championed by Laura Manuelidis invokes a cryptic viral agent,[49] and another proposed by Frank O. Bastian holds that Spiroplasma infection, specifically Spiroplasma mirum, is a cause of transmissible spongiform encephalopathies.[50] However, no alternative hypothesis has garnered sufficient support to displace the prion paradigm.[2][51][52]
Diagnosis
The variable presentation of prion diseases and their rapid progression following the appearance of signs and symptoms present a special challenge for diagnosis.[53] Because the early signs of disease can mimic those in other brain disorders, the diagnosis of prion disease is often delayed.[28] Upon clinical examination, sporadic CJD (the most frequent human prion disease) is suspected when the patient presents with rapidly progressing deterioration of cognition and movement. The diagnosis can be supported by the following tests: 1) Electroencephalogram (EEG) - in CJD, the pattern of brain waves changes over the course of the disease, one typical abnormality being periodic sharp and slow wave complexes in the electrical signal; 2) Cerebrospinal fluid (CSF) tests, in particular, measurement of the 14-3-3 protein, tau protein, and neurofilament light chain, all of which increase in prion diseases; 3) Magnetic resonance imaging (MRI) can detect characteristic changes in the structure of the brain; and 4) Real-time Quaking Induced Conversion (RT-QuIC) is used to detect the presence of abnormal PrP in the CSF.[54][53][55] Although many of the changes detected by these tests occur in other diseases, combining the test results can establish the presence of prion disease with high Sensitivity and specificity. False positive diagnoses, though rare, are still possible; therefore, definitive diagnosis of prion diseases requires direct examination of brain tissue.[53]
Treatment
There are currently no known ways to cure or prevent prion disease.[56] Certain medications slow down the progression of the disease in mice, but these have not been found to be effective in trials with human patients.[57] Ultimately, supportive care is the only option for easing the burden of disease in affected individuals.
Epidemiology
Prion diseases are unique in medicine in that they can be sporadic, genetic, or infectious in origin.[28][2] There are a number of different prion diseases of humans and nonhuman species, each with its own characteristics (such as the primary host species, incidence, disease course, and pathology).[26][58][8] In humans, the most common prion disease is CJD, which is estimated to occur worldwide in 1 to 2 persons per million per year.[59] Of these, approximately 85% are sporadic, 10-15% are genetic, and less than 1% are acquired by infection.[28][59] The incidence of sCJD increases with age, and it is most likely to appear between the ages of 55 and 75.[28] Although there may be subtle sex differences, males and females appear to be affected at a similar rate.[60] Analyses in several countries suggest that the incidence of sCJD has risen in recent years.[61][59][62] This increase may be due in part to improved detection of the disease, although the growing elderly population is also a possible factor.[61][59][62] Much less common sporadic prion diseases include sporadic fatal insomnia (sFI) and variably protease sensitive prionopathy (VPSPr).[63]
Genetic (heritable) human prion diseases are caused by changes in the PRNP gene, which codes for PrP.[63] Three main categories of genetic prion disease are genetic Creutzfeldt-Jakob disease (gCJD), Gerstmann-Sträussler-Scheinker syndrome (GSS), and fatal familial insomnia (FFI).[63] Of these, the most frequently occurring type is gCJD, whereas FFI is extremely rare.[28] In addition to the mutations in PRNP that cause disease, there are variations in the PRNP gene that can increase or decrease the likelihood of developing all three aetiological subtypes of prion disease (genetic, infectious and sporadic).[63][28][64]
Infectious prion diseases in humans are very rare, historically accounting for less than 1% of cases; they include kuru, iatrogenic CJD (iCJD) and variant CJD (vCJD).[14] Humans have been exposed to prions via contaminated foodstuffs, human cadaver-derived biologics (cadaveric hormones or cadaveric tissue grafts), or contaminated surgical instruments.[63] From 1957 until 2004, more than 2700 cases of kuru among the Fore people of Papua New Guinea were documented.[65] With the cessation of endocannibalism beginning in the 1950s, the number of cases began to decline, and today the disease is considered to be eradicated.[64].
Of the approximately 500 cases of known iatrogenic CJD, most have been recipients of cadaveric pituitary hormones (200 cases, mostly in France) or cadaveric dura mater grafts (over 200 cases, mostly in Japan).[64] The rest of the iCJD cases have been very uncommon; these have involved corneal transplants (2-10 cases), intracranial exposure to contaminated EEG electrodes (2 cases), exposure to contaminated surgical instruments (4 cases), or transfusion of blood (3 cases).[43][64]
The variant form of CJD resulted from exposure of humans to prion-infected meat from cows with BSE.[66][64] As of 2021, a total of 232 cases of vCJD had been reported worldwide.[64] Of these, most were in the United Kingdom (178 cases) and France (28 cases), with the remaining 26 cases appearing in various other countries.[64] All but one of these vCJD patients had a specific polymorphism (MM) at codon 129 of the PRNP gene, underscoring the importance of this gene locus as a modifier of susceptibility to prion disease.[64] Removal of cattle with prion disease from the food chain has brought the vCJD crisis to an end, although there is still some concern that people with certain polymorphisms of PRNP may yet develop disease after a longer incubation period.[63] In general, an improved understanding of prions and their transmissibility has greatly reduced the risk of infectious human prion diseases.[67][68]
In nonhuman species, the epidemiology of prion diseases differs from that in humans in that most cases are infectious in origin.[8][66] Scrapie can be transmitted among sheep and goats in captivity, and chronic wasting disease (CWD) is unusual in that it is spreading both in captive and wild cervid populations, especially in North America.[69]. CWD was first identified in captive cervids in Colorado (USA) in 1967, and its distribution has since expanded to include many areas of North America as well as other countries.[69] CWD is highly infectious, and it is transmissible via direct contact between animals or by contact with prion-contaminated materials.[69] Infected animals can shed prions in saliva, feces and urine into the environment, and the prions can remain infectious for years thereafter.[69]
Other nonhuman prion diseases mostly have resulted from feeding animals prion-contaminated food; in addition to BSE,these include transmissible mink encephalopathy, exotic ungulate spongiform encephalopathy and feline spongiform encephalopathy.[8] In the 1980s and 1990s, bovine spongiform encephalopathy (BSE, or "mad cow disease") spread in cattle at an epidemic rate, mostly in the UK.[66] How the first cases of BSE arose is not known, but the epidemic was driven by feeding cattle meat and bone meal that contained the processed remains of infected animals.[66] The bovine epidemic peaked in 1992 at 37,000 confirmed cases; as a result of a ban on feeding meat and bone meal to cattle, the numbers declined to single digits after 2011.[66] Human consumption of meat from BSE-infected cattle caused an outbreak of variant CJD (see above). In the case of some newly emerging (or newly discovered) nonhuman prion diseases, such as CWD in Scandinavia and a prion disease of camels, the origins are sometimes unknown.[66] While the transmission of prion disease from nonhumans to humans appears to be uncommon, the potential for zoonotic infection was highlighted by the BSE epidemic, and this possibility remains a concern among public health specialists.[48][66]
History
First reports of scrapie in sheep. The early history of transmissible spongiform encephalopathies is essentially the history of scrapie.[34] Reports of diseases resembling prion diseases can be found in the ancient literature,[70] but whether these disorders are actually transmissible spongiform encephalopathies is not known. The ascertainable history of transmissible spongiform encephalopathies begins in the mid-1700s with a German language description of scrapie in 1750[34] and an English report in the British House of Commons in 1755.[35] At the time, scrapie was better known among farmers and shepherds than veterinarians, in part because those who relied on the animals for their livelihood were encouraged to hide disease in their flocks from the authorities.[34] Based on the scanty literature of the time, scrapie was present in sheep herds at least as early as 1732.[35][34]
A report by J.G. Leopoldt in 1750 clearly remarks that scrapie is contagious: "Therefore, the very best a shepherd can do who has caught sight of an animal that has fallen ill with scrapie, is to cull the animal and slaughter it for the nobleman's servants. Thus, it is advisable for a shepherd to immediately separate such an animal from the healthy live-stock, as this disease is contagious and can cause great damage to the flock".[34] Nevertheless, many other causes of scrapie were suspected, including (among others) miasmata, atmospheric conditions, nutrition, age, inbreeding, and sexual characteristics of the rams.[34] A more colorful illustration of the confusion of the time is a quote from the French veterinarian Roche-Lubin in 1848 (cited by Maxime Schwartz): "In our land, the causes of scrapie are excessive copulation by rams; the rough fighting in which they engage among themselves; the sustained use of feeds that arouse them; leaping; violent exertion; rapid running when chased by dogs; loud thunder; bright sunshine in the first few days after shearing; and the frequent recurrence of heat among infertile [females]."[71]
Discovery of spongiform change in scrapie. Another key event in the history of transmissible spongiform encephalopathies was the discovery of spongiform change (vacuolation) in the nervous system of sheep by Charles Besnoit and colleagues in the late 1890s.[35][34] Prior investigations had failed to identify pathologic features that were linked to the disease.[71] The realization that vacuolation is a characteristic of scrapie was a critical step toward the pathological definition of the transmissible spongiform encephalopathies in general.[72]
Discovery of human spongiform encephalopathy. Hans Gerhard Creutzfeldt presented a case report of an unusual neurodegenerative disease in 1920, and this was followed by a description of five cases in 1921 that Alfons Maria Jakob felt were similar to Creutzfeldt's.[73] Walther Spielmeyer in 1922 then christened the disease "Creutzfeldt-Jakob disease".[74] Subsequently, researchers have determined that Creutzfeldt's original case probably was not a spongiform encephalopathy, but that two of Jakob's first five cases could be confirmed as the disease that today is called Creutzfeldt-Jakob disease.[73] Although Jakob can be considered to have priority of discovery, "Creutzfeldt-Jakob disease" (CJD) remains the most frequently used name for the disease, especially in the English language literature.[73]
Proof that scrapie is transmissible. Prior to the 1930s, several scientists attempted to transmit scrapie by the introduction of diseased tissues into healthy sheep, but the experiments failed, possibly because the researchers did not account for the very long incubation period of scrapie.[35][34] Transmissibility was only established with certainty in the 1930s by experiments in which Jean Cuillé and Paul-Louis Chelle placed tissues from sick animals into healthy sheep.[35][34] Recognizing the unusually long incubation period for normally acquired scrapie, Cuillé and Chelle succeeded where others had failed by waiting more than a year for disease to appear.[35] Their experiments were the first to strongly implicate some type of infectious agent in the transmission of scrapie.[71] In 1961, Richard Chandler reported the transmission of scrapie to mice; the availability of a smaller, shorter-lived animal model (compared to sheep and goats) significantly accelerated subsequent investigations of disease mechanisms.[75][35]
Proof that human spongiform encephalopathies are transmissible. Based on Hadlow's recognition of the similarities between kuru and scrapie,[75] Daniel Carleton Gajdusek went on to demonstrate the transmissibility of kuru, CJD, and Gerstmann–Sträussler–Scheinker syndrome to nonhuman primates.[37][38][39] Because of its rarity, Creutzfeldt-Jakob disease was little known prior to the discovery that human spongiform encephalopathies are transmissible.[71][75] The work of Gajdusek, in collaboration with researchers such as William Hadlow, Igor Klatzo, Elizabeth Beck, Michael Alpers and Clarence J. Gibbs, brought together two previously separate lines of research: one in veterinary medicine and the other in human medicine.[71] In 1976, Gajdusek shared the Nobel Prize in Physiology or Medicine with Baruch S. Blumberg “for their discoveries concerning new mechanisms for the origin and dissemination of infectious diseases”.[76] The transmissibility of spongiform encephalopathies to humans was further substantiated by the BSE crisis and the discovery of iatrogenic forms of prion disease (see Epidemiology, above).
Evidence that the infectious agent is unusual. In the 1960s, researchers began to confirm longstanding suspicions that the TSEs were caused by an extraordinary infectious agent: Iain Pattison demonstrated the resistance of the scrapie agent to heat and formaldehyde (which destroy most microbes and viruses) and, using ultraviolet and electron irradiation, Tikvah Alper concluded that the agent was extremely small, and that it was unlikely that it replicated via nucleic acids.[71][75] Around this time, John Stanley Griffith published a short commentary in which he proposed three ways in which an infectious agent might replicate without nucleic acids.[77] Griffith's 'second way' proposed that a normally produced cellular protein might adopt an abnormal shape that replicates by converting like proteins into the same shape, a hypothesis that anticipated the formalization of the prion concept in the 1980s.
The prion principle is established. In 1982, Stanley Prusiner coined the word 'prion' to refer to infectious agents that consisted primarily or exclusively of proteins.[78] Research in the following years demonstrated that PrP is normally produced in the body and that mutations of PRNP are associated with prion diseases.[64] The public health importance of prions as infectious agents was underscored by the BSE crisis and iatrogenic prion disease in humans.[35] In 1997, Stanley Prusiner was awarded the Nobel Prize in Physiology or Medicine 'for his discovery of Prions - a new biological principle of infection'.[79] In the 21st century, the legacy of the transmissible spongiform encephalopathies has expanded with the discovery that several (non-infectious) diseases involving the accumulation of abnormal proteins may be caused by a similar molecular mechanism. These include degenerative disorders such as Alzheimer's disease, Parkinson's disease, amyotrophic lateral sclerosis, Lewy body dementia, tauopathies, systemic amyloidoses and others.[80][81][82][83]
See also
References
- ^ "Transmissible Spongiform Encephalopathies". National Institute of Neurological Disorders and Stroke. Retrieved 23 April 2023.
- ^ a b c d e f g h i j k l m Prusiner, S. B. (10 November 1998). "Prions". Proceedings of the National Academy of Sciences of the United States of America. 95 (23): 13363–13383. Bibcode:1998PNAS...9513363P. doi:10.1073/pnas.95.23.13363. PMC 33918. PMID 9811807.
- ^ a b c d Wadsworth JD, Collinge J (August 2010). "Molecular pathology of human prion disease". Acta Neuropathologica. 121 (1): 69–77. doi:10.1007/s00401-010-0735-5. PMC 3015177. PMID 20694796.
- ^ a b Aguzzi A, Calella AM (2009). "Prions: protein aggregation and infectious diseases". Physiology Reviews. 89 (4): 1105–1152. doi:10.1152/physrev.00006.2009. PMID 19789378.
- ^ Chesebro, Bruce (June 2003). "Introduction to the transmissible spongiform encephalopathies or prion diseases". British Medical Bulletin. 66 (1): 1–20. doi:10.1093/bmb/66.1.1. PMID 14522845.
- ^ a b c Wadsworth JD, Collinge J (2007). "Update on human prion disease". Biochim Biophys Acta. 1772 (6): 598–609. doi:10.1016/j.bbadis.2007.02.010. PMID 17408929.
- ^ Ritchie DL, Smith C (2025). "Pathological spectrum of sporadic Creutzfeldt-Jakob disease". Pathology. 57 (2): 196–206. doi:10.1016/j.pathol.2024.09.005. PMID 39665904.
- ^ a b c d Imran M, Mahmood S (November 2011). "An overview of animal prion diseases". Virology Journal. 8 493. doi:10.1186/1743-422X-8-493. PMC 3228711. PMID 22044871.
- ^ Ironside JW, Ritchie DL, Barria MA (2017). "Prion diseases". Neuropathology. Handbook of Clinical Neurology. Vol. 145. pp. 393–403. doi:10.1016/B978-0-12-802395-2.00028-6. ISBN 978-0-12-802395-2. PMID 28987186.
- ^ Brown P, Preece M, Brandel JP, Sato T, McShane L, Zerr I, Fletcher A, Will RG, Pocchiari M, Cashman NR, d'Aignaux JH, Cervenakova L, Fradkin J, Schonberger LB, Collins SJ (2000). "Iatrogenic Creutzfeldt–Jakob disease at the millennium". Neurology. 55 (8): 1075–81. doi:10.1212/WNL.55.8.1075. PMID 11071481.
- ^ "Variant Creutzfeldt-Jakob disease". World Health Organization. Retrieved 2017-04-25. February 2012. Archived from the original on December 20, 2002.
- ^ "About Variant Creutzfeldt-Jakob Disease (vCJD)". CDC. 12 November 2024.
- ^ Collinge, John; Sidle, Katie C. L.; Meads, Julie; Ironside, James; Hill, Andrew F. (October 1996). "Molecular analysis of prion strain variation and the aetiology of 'new variant' CJD". Nature. 383 (6602): 685–690. Bibcode:1996Natur.383..685C. doi:10.1038/383685a0. PMID 8878476.
- ^ a b Ritchie DL, Barria MA (2021). "Prion Diseases: A Unique Transmissible Agent or a Model for Neurodegenerative Diseases?". Biomolecules. 11 (2): 207. doi:10.3390/biom11020207. PMC 7912988. PMID 33540845.
- ^ Lee KS, Caughey B (2007). "A simplified recipe for prions". Proceedings of the National Academy of Sciences USA. 104 (23): 9551–9552. Bibcode:2007PNAS..104.9551L. doi:10.1073/pnas.0703910104. PMC 1887566. PMID 17535888.
- ^ Geoghegan, James C.; Valdes, Pablo A.; Orem, Nicholas R.; Deleault, Nathan R.; Williamson, R. Anthony; Harris, Brent T.; Supattapone, Surachai (December 2007). "Selective Incorporation of Polyanionic Molecules into Hamster Prions". Journal of Biological Chemistry. 282 (50): 36341–36353. doi:10.1074/jbc.M704447200. PMC 3091164. PMID 17940287.
- ^ Shaked, GM; Meiner, Z; Avraham, I; Taraboulos, A; Gabizon, R (27 April 2001). "Reconstitution of prion infectivity from solubilized protease-resistant PrP and nonprotein components of prion rods". The Journal of Biological Chemistry. 276 (17): 14324–8. doi:10.1074/jbc.M007815200. PMID 11152454.
- ^ a b Priola SA, Chesebro B, Caughey B (May 2003). "Biomedicine. A view from the top--prion diseases from 10,000 feet". Science. 300 (5621): 917–9. doi:10.1126/science.1085920. PMID 12738843. S2CID 38459669. Archived from the original on 2020-07-28. Retrieved 2020-07-28.
- ^ Priola SA, Caughey B, Race RE, Chesebro B (1994). "Heterologous PrP molecules interfere with accumulation of protease-resistant PrP in scrapie-infected murine neuroblastoma cells". Journal of Virology. 68 (8): 4873–4878. doi:10.1128/JVI.68.8.4873-4878.1994. PMC 236427. PMID 7913509.
- ^ Lezmi S, Martin S, Simon S, Comoy E, Bencsik A, Deslys JP, Grassi J, Jeffrey M, Baron T (2004). "Comparative molecular analysis of the abnormal prion protein in field scrapie cases and experimental bovine spongiform encephalopathy in sheep by use of Western blotting and immunohistochemical methods". Journal of Virology. 78 (7): 3654–3662. doi:10.1128/jvi.78.7.3654-3662.2004. PMC 371064. PMID 15016886.
- ^ Manka SW, Wenborn A, Collinge J, Wadsworth JD (2023). "Prion strains viewed through the lens of cryo-EM". Cell and Tissue Research. 392 (1): 167–178. doi:10.1007/s00441-022-03676-z. PMC 10113314. PMID 36028585.
- ^ Artikis E, Kraus A, Caughey B (August 2022). "Structural biology of ex vivo mammalian prions". The Journal of Biological Chemistry. 298 (8) 102181. doi:10.1016/j.jbc.2022.102181. PMC 9293645. PMID 35752366.
- ^ Dridi, Daikha (9 May 2018). "Deux chercheurs algériens découvrent la maladie du 'chameau fou' à Ouargla" [Two Algerian researchers discover 'mad camel' disease in Ouargla]. Huffpost Maghreb (in French). Archived from the original on 17 June 2018.
- ^ Believed to be identical to the BSE prion.
- ^ Nitrini R, Rosemberg S, Passos-Bueno MR, da Silva LS, Iughetti P, Papadopoulos M, Carrilho PM, Caramelli P, Albrecht S, Zatz M, LeBlanc A (August 1997). "Familial spongiform encephalopathy associated with a novel prion protein gene mutation". Annals of Neurology. 42 (2): 138–46. doi:10.1002/ana.410420203. PMID 9266722.
- ^ a b c d e DeArmond, SJ; Ironside, JW; Bouzamondo-Bernstein, E; Peretz, D; Fraser, JR (2004). "Neuropathology of prion diseases". In Prusiner, SB (ed.). Prion Biology and Diseases. Cold Spring Harbor Laboratory Press. pp. 777–856. ISBN 0-87969-693-1.
- ^ Jeffrey M, Goodbrand IA, Goodsir CM (1995). "Pathology of the transmissible spongiform encephalopathies with special emphasis on ultrastructure". Micron. 26 (3): 277–98. doi:10.1016/0968-4328(95)00004-N. PMID 7788281.
- ^ a b c d e f g h i j k l m n Geschwind MD (2015). "Prion Diseases". Continuum (Minneapolis, Minnesota). 21 (6 (Neuroinfectious Disease)): 1612–1638. doi:10.1212/CON.0000000000000251. PMC 4879966. PMID 26633779.
- ^ a b c Will RG, Ironside JW (2017). "Sporadic and infectious human prion diseases". Cold Spring Harbor Perspectives in Medicine. 7 (1): a024364. doi:10.1101/cshperspect.a024364. PMC 5204333. PMID 27793965.
- ^ Collinge, John (March 2001). "Prion Diseases of Humans and Animals: Their Causes and Molecular Basis". Annual Review of Neuroscience. 24 (1): 519–550. doi:10.1146/annurev.neuro.24.1.519. PMID 11283320.
- ^ a b c d Mead, Simon (March 2006). "Prion disease genetics". European Journal of Human Genetics. 14 (3): 273–281. doi:10.1038/sj.ejhg.5201544. PMID 16391566.
- ^ Cha S, Kim MY (2023). "The role of cellular prion protein in immune system". BMB Reports. 56 (12): 645–650. doi:10.5483/BMBRep.2023-0151. PMC 10761747. PMID 37817440.
- ^ a b c Wulf MA, Senatore A, Aguzzi A (2017). "The biological function of the cellular prion protein: an update". BMC Biology. 14 (34) 34. doi:10.1186/s12915-017-0375-5. PMC 5412054. PMID 28464931.
- ^ a b c d e f g h i j k Schneider K, Fangerau H, Michaelsen B, Raab WH (2008). "The early history of the transmissible spongiform encephalopathies exemplified by scrapie". Brain Research Bulletin. 77 (6): 343–355. doi:10.1016/j.brainresbull.2008.09.012. PMID 18951958.
- ^ a b c d e f g h i Brown P, Bradley R (December 1998). "1755 and all that: a historical primer of transmissible spongiform encephalopathy". BMJ. 317 (7174): 1688–1692. doi:10.1136/bmj.317.7174.1688. PMC 1114482. PMID 9857129.
- ^ Hadlow WJ (2008). "Kuru likened to scrapie: the story remembered". Philosophical Transactions of the Royal Society of London. 363 (1510): 3644. doi:10.1098/rstb.2008.4013. PMC 2735530. PMID 18849258.
- ^ a b Gajdusek DC, Gibbs CJ, Alpers M (1966). "Experimental transmission of a Kuru-like syndrome to chimpanzees". Nature. 209 (5025): 794–796. Bibcode:1966Natur.209..794G. doi:10.1038/209794a0. PMID 5922150.
- ^ a b Gibbs CJ, Gajdusek DC, Asher DM, Alpers MP, Beck E, Daniel PM, Matthews WB (1968). "Creutzfeldt-Jakob disease (spongiform encephalopathy): transmission to the chimpanzee". Science. 161 (3839): 388–389. Bibcode:1968Sci...161..388G. doi:10.1126/science.161.3839.388. PMID 5661299.
- ^ a b Masters CL, Gajdusek DC, Gibbs CJ (1981). "Creutzfeldt-Jakob disease virus isolations from the Gerstmann-Sträussler syndrome with an analysis of the various forms of amyloid plaque deposition in the virus-induced spongiform encephalopathies". Brain. 104 (3): 559–588. doi:10.1093/brain/104.3.559. PMID 6791762.
- ^ a b Zabel MD, Reid C (2015). "A brief history of prions". Pathogens and Disease. 73 (9): ftv087. doi:10.1093/femspd/ftv087. PMC 4626585. PMID 26449713.
- ^ Prusiner SB (1982). "Novel proteinaceous infectious particles cause scrapie". Science. 216 (4542): 136–144. Bibcode:1982Sci...216..136P. doi:10.1126/science.6801762. PMID 6801762.
- ^ Fernie K, Hamilton S, Somerville RA (2012). "Limited efficacy of steam sterilization to inactivate vCJD infectivity". The Journal of Hospital Infection. 80 (1): 46–51. doi:10.1016/j.jhin.2011.09.004. PMID 22099953.
- ^ a b Bonda DJ, Manjila S, Mehndiratta P, Khan F, Miller BR, Onwuzulike K, Puoti G, Cohen ML, Schonberger LB, Cali I (2016). "Human prion diseases: surgical lessons learned from iatrogenic prion transmission". Neurosurgical Focus. 41 (1): E10. doi:10.3171/2016.5.FOCUS15126. PMC 5082740. PMID 27364252.
- ^ Kovacs GG, Budka H (2008). "Prion diseases: from protein to cell pathology". American Journal of Pathology. 172 (3): 555–565. doi:10.2353/ajpath.2008.070442. PMC 2258253. PMID 18245809.
- ^ Collins S, McLean CA, Masters CL (2001). "Gerstmann-Straussler-Scheinker syndrome, fatal familial insomnia, and kuru: a review of these less common human transmissible spongiform encephalopathies". J Clin Neurosci. 8 (5): 387–97. doi:10.1054/jocn.2001.0919. PMID 11535002.
- ^ Heim D, Kihm U (2003). "Risk management of transmissible spongiform encephalopathies in Europe". Revue scientifique et technique. 22 (1): 179–199. doi:10.20506/rst.22.1.1392. PMID 12793779.
- ^ "Prion Disinfection Options - Biosafety & Occupational Health". University of Minnesota. 17 November 2017.
- ^ a b Belay, Ermias D.; Schonberger, Lawrence B. (21 April 2005). "The public health impact of prion diseases". Annual Review of Public Health. 26 (1): 191–212. doi:10.1146/annurev.publhealth.26.021304.144536. PMID 15760286.
- ^ Manuelidis L (2013). "Infectious particles, stress, and induced prion amyloids: a unifying perspective". Virulence. 4 (5): 373–383. doi:10.4161/viru.24838. PMC 3714129. PMID 23633671.
- ^ Bastian, Frank O. (February 2014). "The Case for Involvement of Spiroplasma in the Pathogenesis of Transmissible Spongiform Encephalopathies". Journal of Neuropathology & Experimental Neurology. 73 (2): 104–114. doi:10.1097/NEN.0000000000000033. PMID 24423635.
- ^ Zou WQ, Gambetti P (2005). "From microbes to prions the final proof of the prion hypothesis". Cell. 121 (2): 155–157. doi:10.1016/j.cell.2005.04.002. PMID 15851020.
- ^ Soto C (2010). "Prion hypothesis: The end of the controversy?". Trends in Biochemical Sciences. 36 (3): 151–158. doi:10.1016/j.tibs.2010.11.001. PMC 3056934. PMID 21130657.
- ^ a b c Shimamura MI, Satoh K (2025). "Challenges and revisions in diagnostic criteria: Advancing early detection of prion diseases". International Journal of Molecular Sciences. 26 (5): 2037. doi:10.3390/ijms26052037. PMC 11900056. PMID 40076658.
- ^ Zerr I (2022). "Laboratory Diagnosis of Creutzfeldt–Jakob Disease". New England Journal of Medicine. 386 (14): 1345–1350. doi:10.1056/NEJMra2119323. PMID 35388668.
- ^ Hermann P, Appleby B, Brandel JP, Caughey B, Collins S, Geschwind M, Green A, Haik S, Kovacs GG, Ladogana A, Llorens F, Mead S, Nishida N, Pal S, Parchi P, Pocchiari M, Satoh K, Zanusso G, Zerr I (2021). "Biomarkers and diagnostic guidelines for sporadic Creutzfeldt-Jakob disease". Lancet Neurology. 20 (3): 235–246. doi:10.1016/S1474-4422(20)30477-4. PMC 8285036. PMID 33609480.
- ^ "Therapeutic Approaches for Prion Diseases | NIAID: National Institute of Allergy and Infectious Diseases". www.niaid.nih.gov. 2019-10-21. Retrieved 2024-07-17.
- ^ UCL (2021-02-02). "Drug treatments". National Prion Clinic. Retrieved 2024-09-20.
- ^ Imran M, Mahmood S (2011). "An overview of human prion diseases". Virology Journal. 8 559. doi:10.1186/1743-422X-8-559. PMC 3296552. PMID 22196171.
- ^ a b c d Uttley L, Carroll C, Wong R, Hilton DA, Stevenson M (2020). "Creutzfeldt-Jakob disease: a systematic review of global incidence, prevalence, infectivity, and incubation". Lancet Infectious Diseases. 20 (1): e2 – e10. doi:10.1016/S1473-3099(19)30615-2. PMID 31876504.
- ^ Holman RC, Belay ED, Christensen KY, Maddox RA, Minino AM, Folkema AM, Haberling DL, Hammett TA, Kochanek KD, Sejvar JJ, Schonberger LB (2010). "Human prion diseases in the United States". PLOS ONE. 5 (1): e8521. Bibcode:2010PLoSO...5.8521H. doi:10.1371/journal.pone.0008521. PMC 2797136. PMID 20049325.
- ^ a b Nishimura Y, Harada K, Koyama T, Hagiya H, Otsuka F (2020). "A nationwide trend analysis in the incidence and mortality of Creutzfeldt–Jakob disease in Japan between 2005 and 2014". Scientific Reports. 10 (1) 15509. Bibcode:2020NatSR..1015509N. doi:10.1038/s41598-020-72519-0. PMC 7511945. PMID 32968173.
- ^ a b Crane MA, Nair-Desai S, Gemmill A, Romley JA, Probasco JC (2024). "Change in epidemiology of Creutzfeldt-Jakob disease in the US, 2007-2020". JAMA Neurology. 81 (2): 195–197. doi:10.1001/jamaneurol.2023.4678. PMC 10714279. PMID 38079182.
- ^ a b c d e f Appleby BS, Shetty S, Elkasaby M (2022). "Genetic aspects of human prion diseases". Frontiers in Neurology. 13 1003056. doi:10.3389/fneur.2022.1003056. PMC 9579322. PMID 36277922.
- ^ a b c d e f g h i Nafe R, Arendt CT, Hattingen E (2023). "Human prion diseases and the prion protein – what is the current state of knowledge?". Translational Neuroscience. 14 (1) 20220315. doi:10.1515/tnsci-2022-0315. PMC 10579786. PMID 37854584.
- ^ Collinge, John; Whitfield, Jerome; McKintosh, Edward; Beck, John; Mead, Simon; Thomas, Dafydd J; Alpers, Michael P (June 2006). "Kuru in the 21st century—an acquired human prion disease with very long incubation periods". The Lancet. 367 (9528): 2068–2074. doi:10.1016/S0140-6736(06)68930-7. PMID 16798390. S2CID 11506094.
- ^ a b c d e f g Houston F, Andreoletti O (2019). "Animal prion diseases: the risks to human health". Brain Pathology. 29 (2): 248–262. doi:10.1111/bpa.12696. PMC 8028554. PMID 30588682.
- ^ Brown P, Brandel JP, Sato T, Nakamura Y, MacKenzie J, Will RG, Ladogana A, Pocchiari M, Leschek EW, Schonberger LB (2012). "Iatrogenic Creutzfeldt-Jakob disease, final assessment". Emerging Infectious Diseases. 18 (6): 901–907. doi:10.3201/eid1806.120116. PMC 3358170. PMID 22607808.
- ^ Norrby E (2011). "Prions and protein-folding diseases". Journal of Internal Medicine. 270 (1): 1–14. doi:10.1111/j.1365-2796.2011.02387.x. PMID 21481020.
- ^ a b c d Mori J, Rivera N, Novakofski J, Mateus-Pinilla N (2024). "A review of chronic wasting disease (CWD) spread, surveillance, and control in the United States captive cervid industry". Prion. 18 (1): 54–67. doi:10.1080/19336896.2024.2343220. PMC 11037284. PMID 38648377.
- ^ McAlister, Vivian (June 2005). "Sacred disease of our times: failure of the infectious disease model of spongiform encephalopathy". Clinical and Investigative Medicine. 28 (3): 101–4. PMID 16021982. ProQuest 196431000.
- ^ a b c d e f Schwartz, Maxime (2003). How the Cows Turned Mad. Berkeley California: University of California Press. ISBN 0-520-23531-2.
- ^ Hadlow WJ (1995). "Neuropathology and the scrapie-kuru connection". Brain Pathology. 5 (1): 27–31. doi:10.1111/j.1750-3639.1995.tb00574.x. PMID 7767488.
- ^ a b c Katscher, Friedrich (May 1998). "It's Jakob's disease, not Creutzfeldt's". Nature. 393 (6680): 11. Bibcode:1998Natur.393Q..11K. doi:10.1038/29862. PMID 9590681.
- ^ Spielmeyer W (1922). "Die Histopathologische Forschung in der Psychiatrie". Klinische Wochenschrift. 1: 1817–1819. doi:10.1007/BF01716575.
- ^ a b c d Poser CM (2002). "Notes on the history of the prion diseases. Part I". Clinical Neurology and Neurosurgery. 104 (1): 1–9. doi:10.1016/s0303-8467(01)00186-x. PMID 11792469.
- ^ "Nobel Prize in Physiology or Medicine 1976". Nobel Prize.org. Retrieved 17 August 2025.
- ^ Griffith JS (September 1967). "Self-replication and scrapie". Nature. 215 (5105): 1043–4. Bibcode:1967Natur.215.1043G. doi:10.1038/2151043a0. PMID 4964084. S2CID 4171947.
- ^ Prusiner SB (April 1982). "Novel proteinaceous infectious particles cause scrapie". Science. 216 (4542): 136–144. doi:10.1126/science.6801762. PMID 6801762.
- ^ "The Nobel Prize in Physiology or Medicine, 1997". NobelPrize.org. Archived from the original on 2018-08-09. Retrieved 2010-02-28.
The Nobel Prize in Physiology or Medicine 1997 was awarded to Stanley B. Prusiner 'for his discovery of Prions - a new biological principle of infection'.
- ^ Walker LC, LeVine H, Mattson MP, Jucker M (2006). "Inducible proteopathies". Trends in Neurosciences. 29 (8): 438–443. doi:10.1016/j.tins.2006.06.010. PMC 10725716. PMID 16806508.
- ^ Jucker M, Walker LC (2013). "Self-propagation of pathogenic protein aggregates in neurodegenerative diseases". Nature. 501 (7465): 45–51. doi:10.1038/nature12481. PMC 3963807. PMID 24005412.
- ^ Goedert M (2015). "NEURODEGENERATION. Alzheimer's and Parkinson's diseases: The prion concept in relation to assembled Aβ, tau, and α-synuclein". Science. 349 (6248): 1255555. doi:10.1126/science.1255555. PMID 26250687.
- ^ Prusiner, Stanley B. (2017). Prion Diseases. Cold Spring Harbor: Cold Spring Harbor Laboratory Press. ISBN 9781621820109.
- This entry incorporates public domain text originally from the National Institute of Neurological Disorders and Stroke, National Institutes of Health [1] Archived 2008-09-08 at the Wayback Machine and the U.S. National Library of Medicine [2]
External links
- Hainfellner, Johannes A.; Wanschitz, J.; Jellinger, Kurt; Liberski, P. P.; Gullotta, Filippo; Budka, H. (3 August 1998). "Coexistence of Alzheimer-type neuropathology in Creutzfeldt-Jakob disease". Acta Neuropathologica. 96 (2): 116–122. doi:10.1007/s004010050870. PMID 9705125.
