Squamous cell papilloma

Squamous cell papilloma
Other namesSquamous papilloma
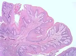
Micrograph showing a squamous papilloma of the tongue. H&E stain.
SpecialtyOncology Edit this on Wikidata

A squamous cell papilloma is a generally benign papilloma that arises from the stratified squamous epithelium of the skin, lip, oral cavity, tongue, pharynx, larynx, esophagus, cervix, vagina or anal canal.[1][2][3][4] Squamous cell papillomas are typically associated with human papillomavirus (HPV) while sometimes the cause is unknown.[1][2][5][6][7][8]

Types

Oral squamous cell papilloma

Squamous cell papilloma of the mouth or throat is generally diagnosed in people between the ages of 30 and 50,[1] and is normally found on the inside of the cheek, on the tongue, or inside of lips. Oral papillomas are usually painless and not treated unless they interfere with eating or cause pain.[1] They do not generally mutate to cancerous growths, nor do they normally grow or spread. Oral papillomas are usually a result of the infection with types HPV-6 and HPV-11.[1]

Conjunctival squamous cell papilloma

Normally found in children or young adults, a common cause of conjunctival squamous cell papilloma is during childbirth, when the mother passes the virus to her child.[1][3]

Diagnosis

It appears as an exophytic mass with a cauliflower-like appearance. The lesion may be white, red, or normal in color. It appears as a sessile or pedunculated mass. Histopathology typically shows papillomatosis protrusions and/or dysplasia.[9]

Treatment

While most cases require no treatment, therapy options include cryotherapy, application of a topical salicylic acid compound, surgical excision and laser ablation.[1][2]

References

  1. ^ a b c d e f g New Zealand Dermatological Society (2007). "Squamous cell papilloma". New Zealand Dermatological Society. Retrieved December 19, 2007.
  2. ^ a b c Nikon Microscopy (2007). "Squamous Cell Papilloma". Nikon Microscopy. Archived from the original on January 13, 2008. Retrieved December 19, 2007.
  3. ^ a b Papilloma, Conjunctival at eMedicine
  4. ^ National Library for Health (2007). "Squamous cell papilloma". National Library for Health. Archived from the original on April 29, 2009. Retrieved December 19, 2007.
  5. ^ Stojanov, Ivan J. (2013). "Squamous cell papilloma". PathologyOutlines.com. PathologyOutlines.com. Retrieved 13 November 2021.
  6. ^ Oral Surgery, Oral Medicine, Oral Pathology and Oral Radiology (2014). "Association of human papilloma virus with atypical and malignant oral papillary lesions". Oral Surgery, Oral Medicine, Oral Pathology and Oral Radiology. 117 (6): 722โ€“732. doi:10.1016/j.oooo.2014.02.003. PMID 24703405.{{cite journal}}: CS1 maint: multiple names: authors list (link)
  7. ^ American Cancer Society (2000). "Squamous papilloma of the urinary tract". Cancer. 88 (7): 1679โ€“1686. doi:10.1002/(SICI)1097-0142(20000401)88:7<1679::AID-CNCR23>3.0.CO;2-K. PMID 10738227.
  8. ^ Elsevier Inc. (1994). "Squamous cell papillomas of the esophagus". Human Pathology. 25 (5): 536โ€“540. doi:10.1016/0046-8177(94)90128-7. PMID 8200650.
  9. ^ Nat Pernick. "Oral cavity - Other benign tumors / conditions - Squamous papilloma". pathology Outlines. Topic Completed: 1 November 2013. Revised: 1 February 2019