Sebaceous lymphadenoma

Sebaceous lymphadenoma
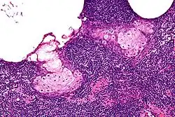
High magnification micrograph of a sebaceous lymphadenoma. H&E stain.
SpecialtyENT surgery

Sebaceous lymphadenoma is a benign tumour of the salivary gland.[1]

Diagnosis

Sebaceous lymphadenoma is a tissue diagnosis, e.g. salivary gland biopsy.

It may be confused with a number of benign and malignant neoplasms, including Warthin tumour, mucoepidermoid carcinoma and sebaceous lymphadenocarcinoma.[2]

Treatment

The treatment is simple excision and exclusion of a malignant neoplasm.

See also

References

  1. ^ Mishra, A.; Tripathi, K.; Mohanty, L.; Nayak, M. (2011). "Sebaceous lymphadenoma of the parotid gland". Indian J Pathol Microbiol. 54 (1): 131–2. doi:10.4103/0377-4929.77364. PMID 21393895.
  2. ^ While, B.; Whiteside, OJ.; Desai, V.; Gurr, P. (Aug 2010). "Sebaceous lymphadenoma: a case report and review of the literature". Ear Nose Throat J. 89 (8): E22-3. doi:10.1177/014556131008900806. PMID 20737364. S2CID 46391498.