Prednisone

Prednisone
Clinical data
Trade namesDeltasone, Liquid Pred, Orasone, others
AHFS/Drugs.comMonograph
MedlinePlusa601102
License data
Pregnancy
category
  • AU: A
Routes of
administration
By mouth
ATC code
Legal status
Legal status
Pharmacokinetic data
Bioavailability70%
Metabolismprednisolone (liver)
Elimination half-life3 to 4 hours in adults. 1 to 2 hours in children[2]
ExcretionKidney
Identifiers
  • 17,21-dihydroxypregna-1,4-diene-3,11,20-trione
CAS Number
PubChem CID
IUPHAR/BPS
DrugBank
ChemSpider
UNII
KEGG
ChEBI
ChEMBL
CompTox Dashboard (EPA)
ECHA InfoCard100.000.147
Chemical and physical data
FormulaC21H26O5
Molar mass358.434 g·mol−1
3D model (JSmol)
  • O=C(CO)[C@@]3(O)CC[C@H]2[C@@H]4CC\C1=C\C(=O)\C=C/[C@]1(C)[C@H]4C(=O)C[C@@]23C
  • InChI=1S/C21H26O5/c1-19-7-5-13(23)9-12(19)3-4-14-15-6-8-21(26,17(25)11-22)20(15,2)10-16(24)18(14)19/h5,7,9,14-15,18,22,26H,3-4,6,8,10-11H2,1-2H3/t14-,15-,18+,19-,20-,21-/m0/s1 checkY
  • Key:XOFYZVNMUHMLCC-ZPOLXVRWSA-N checkY
 ☒NcheckY (what is this?)  (verify)

Prednisone is a glucocorticoid medication mostly used to suppress the immune system and decrease inflammation in conditions such as asthma, COPD, and rheumatologic diseases.[3] It is also used to treat high blood calcium due to cancer and adrenal insufficiency along with other steroids.[3] It is taken by mouth.[3]

Common side effects may include cataracts, bone loss, easy bruising, muscle weakness, and thrush.[3] Other side effects include weight gain, swelling, high blood sugar, increased risk of infection, and psychosis.[3][4] It is generally considered safe in pregnancy and low doses appear to be safe while the user is breastfeeding.[5] After prolonged use, prednisone must be stopped gradually.[3]

Prednisone is a prodrug and must be converted to prednisolone by the liver before it becomes active.[6][7] Prednisolone then binds to glucocorticoid receptors, activating them and triggering changes in gene expression.[4]

Prednisone was patented in 1954 and approved for medical use in the United States in 1955.[3][8] It is on the World Health Organization's List of Essential Medicines.[9] It is available as a generic medication.[3] In 2023, it was the 38th most commonly prescribed medication in the United States, with more than 15 million prescriptions.[10][11]

Medical uses

Prednisone is used for many different autoimmune diseases and inflammatory conditions, including asthma, gout, COPD, CIDP, rheumatic disorders, allergic disorders, ulcerative colitis and Crohn's disease, granulomatosis with polyangiitis, adrenocortical insufficiency, hypercalcemia due to cancer, thyroiditis, laryngitis, severe tuberculosis, hives, eczema, lipid pneumonitis, pericarditis, multiple sclerosis, nephrotic syndrome, sarcoidosis, to relieve the effects of shingles, lupus, myasthenia gravis, poison oak exposure, Ménière's disease, autoimmune hepatitis, giant cell arteritis, the Herxheimer reaction that is common during the treatment of syphilis, Duchenne muscular dystrophy, uveitis, and as part of a drug regimen to prevent rejection after organ transplant.[12][13][3]

Prednisone has also been used in the treatment of migraine headaches and cluster headaches and for severe aphthous ulcer.[14] Prednisone is used as an antitumor drug.[15]

Prednisone is often also prescribed as a form of treatment for sudden sensorineural hearing loss (SSNHL).[16]

Prednisone can be used in the treatment of decompensated heart failure to increase renal responsiveness to diuretics, especially in heart failure patients with refractory diuretic resistance with large doses of loop diuretics.[17][18][19][20][21][22] In terms of the mechanism of action for this purpose: prednisone, a glucocorticoid, can improve renal responsiveness to atrial natriuretic peptide by increasing the density of natriuretic peptide receptor type A in the renal inner medullary collecting duct, thereby inducing a potent diuresis.[23]

At high doses, it may be used to prevent rejection following an organ transplant.[3]

Side effects

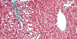
Micrograph of fatty liver, as may be seen due to long-term prednisone use. Trichrome stain.

Short-term side effects, as with all glucocorticoids, include high blood glucose levels (especially in patients with diabetes mellitus or on other medications that increase blood glucose, such as tacrolimus) and mineralocorticoid effects such as fluid retention.[24] The mineralocorticoid effects of prednisone are minor, which is why it is not used in the management of adrenal insufficiency unless a more potent mineralocorticoid is administered concomitantly.

It can also cause depression or depressive symptoms and anxiety in some individuals.[25][26]

Long-term side effects include Cushing's syndrome, steroid dementia syndrome,[27] truncal weight gain, glaucoma and cataracts, diabetes mellitus type 2, and depression upon dose reduction or cessation.[28] Long-term steroids can also increase the risk of osteoporosis, but research has found that few of these people were taking medications to protect bones.[29][30] Prednisone also results in leukocytosis.[31]

Major

Source:[24]

Minor

Source:[24]

Dependency

Adrenal suppression will begin to occur if prednisone is taken for longer than seven days. Eventually, this may cause the body to temporarily lose the ability to manufacture natural corticosteroids (especially cortisol), which results in dependence on prednisone. For this reason, prednisone should not be abruptly stopped if taken for more than seven days; instead, the dosage should be gradually reduced. This weaning process may be over a few days if the course of prednisone is short but may take weeks or months[33] if the patient had been on long-term treatment. Abrupt withdrawal may lead to an Addisonian crisis. For those on chronic therapy, alternate-day dosing may preserve adrenal function and thereby reduce side effects.[34]

Glucocorticoids act to inhibit feedback of both the hypothalamus, decreasing corticotropin-releasing hormone (CRH), and corticotrophs in the anterior pituitary gland, decreasing the amount of adrenocorticotropic hormone (ACTH). For this reason, glucocorticoid analogue drugs such as prednisone down-regulate the natural synthesis of glucocorticoids. This mechanism leads to dependence in a short time and can be dangerous if medications are withdrawn too quickly. The body must have time to begin synthesis of CRH and ACTH and for the adrenal glands to begin functioning normally again.

Prednisone may start to result in the suppression of the hypothalamic–pituitary–adrenal (HPA) axis if used at doses 7–10 mg or higher for several weeks. This is approximately equal to the amount of endogenous cortisol produced by the body every day. As such, the HPA axis starts to become suppressed and atrophy. If this occurs the patient should be tapered off prednisone slowly to give the adrenal gland enough time to regain its function and endogenous production of steroids.

Withdrawal

The magnitude and speed of dose reduction in corticosteroid withdrawal should be determined on a case-by-case basis, taking into consideration the underlying condition being treated, and individual patient factors such as the likelihood of relapse and the duration of corticosteroid treatment. Gradual withdrawal of systemic corticosteroids should be considered in those whose disease is unlikely to relapse and have:

  • received more than 40 mg prednisone (or equivalent) daily for more than one week
  • been given repeat doses in the evening
  • received more than three weeks of treatment
  • recently received repeated courses (particularly if taken for longer than three weeks)
  • taken a short course within one year of stopping long-term therapy
  • other possible causes of adrenal suppression

Systemic corticosteroids may be stopped abruptly in those whose disease is unlikely to relapse who have received treatment for three weeks or less and who are not included in the patient groups described above.

During corticosteroid withdrawal, the dose may be reduced rapidly down to physiological doses (equivalent to prednisolone 7.5 mg daily) and then reduced more slowly. Assessment of the disease may be needed during withdrawal to ensure that relapse does not occur.[35]

Pharmacology

Prednisone is a synthetic glucocorticoid used for its anti-inflammatory and immunosuppressive properties.[36][37] Prednisone is a prodrug; it is metabolised in the liver by 11-β-HSD to prednisolone, the active drug. Prednisone has no substantial biological effects until converted via hepatic metabolism to prednisolone.[38]

Pharmacokinetics

Prednisone is absorbed in the gastrointestinal tract and has a half-life of 2–3 hours.[37] It has a volume of distribution of 0.4–1 L/kg.[39] The drug is cleared by hepatic metabolism using cytochrome P450 enzymes. Metabolites are excreted in the bile and urine.[39]

Lodotra

"Lodotra" is the brand name of an oral formulation, which releases prednisone four hours after ingestion. It is indicated for rheumatoid arthritis with morning stiffness. Taken at 10 p.m., it releases the drug at around 2 a.m. The plasmic peak level is reached at 4 a.m., which is considered to be the optimal time for relieving morning stiffness. The drug was approved in the European Union, in January 2009.[40][41]

Industry

Prednisone 20 mg oral tablet

The pharmaceutical industry uses prednisone tablets for the calibration of dissolution testing equipment according to the United States Pharmacopeia (USP).

Chemistry

Prednisone is a synthetic pregnane corticosteroid and derivative of cortisone and is also known as δ1-cortisone or 1,2-dehydrocortisone or as 17α,21-dihydroxypregna-1,4-diene-3,11,20-trione.[42][43]

History

The first isolation and structure identifications of prednisone and prednisolone were done in 1950 by Arthur Nobile.[44][45][46] The first commercially feasible synthesis of prednisone was carried out in 1955 in the laboratories of Schering Corporation, which later became Schering-Plough Corporation, by Arthur Nobile and coworkers.[47] They discovered that cortisone could be microbiologically oxidized to prednisone by the bacterium Corynebacterium simplex. The same process was used to prepare prednisolone from hydrocortisone.[48]

The enhanced adrenocorticoid activity of these compounds over cortisone and hydrocortisone was demonstrated in mice.[48]

Prednisone and prednisolone were introduced in 1955 by Schering and Upjohn, under the brand names Meticorten[49] and Delta-Cortef,[50] respectively.

References

  1. ^ "Product monograph brand safety updates". Health Canada. 7 July 2016. Retrieved 3 April 2024.
  2. ^ Pickup ME (1979). "Clinical pharmacokinetics of prednisone and prednisolone". Clinical Pharmacokinetics. 4 (2): 111–128. doi:10.2165/00003088-197904020-00004. PMID 378499. S2CID 12218704.
  3. ^ a b c d e f g h i j "Prednisone Monograph for Professionals". Drugs.com. AHFS. Retrieved 24 December 2018.
  4. ^ a b Brunton L (2017). Goodman & Gilman's the pharmacological basis of therapeutics (13 ed.). McGraw-Hill Education. pp. 739, 746, 1237. ISBN 978-1-25-958473-2.
  5. ^ "Prednisone Use During Pregnancy". Drugs.com. Retrieved 24 December 2018.
  6. ^ "Product Information Panafcort (prednisone) Panafcortelone (prednisolone)" (PDF). TGA eBusiness Services. St Leonards, Australia: Aspen Pharmacare Australia Pty Ltd. 11 July 2017. pp. 1–2. Retrieved 30 June 2018.
  7. ^ Buttgereit F, Gibofsky A (June 2013). "Delayed-release prednisone - a new approach to an old therapy". Expert Opinion on Pharmacotherapy. 14 (8): 1097–1106. doi:10.1517/14656566.2013.782001. PMID 23594208. S2CID 22720230.
  8. ^ Fischer J, Ganellin CR (2006). Analogue-based Drug Discovery. John Wiley & Sons. p. 485. ISBN 9783527607495.
  9. ^ World Health Organization (2023). The selection and use of essential medicines 2023: web annex A: World Health Organization model list of essential medicines: 23rd list (2023). Geneva: World Health Organization. hdl:10665/371090. WHO/MHP/HPS/EML/2023.02.
  10. ^ "Top 300 of 2023". ClinCalc. Archived from the original on 12 August 2025. Retrieved 12 August 2025.
  11. ^ "Prednisone Drug Usage Statistics, United States, 2014 - 2023". ClinCalc. Retrieved 13 August 2025.
  12. ^ Autoimmune Hepatitis~treatment at eMedicine
  13. ^ "Corticosteroids". LiverTox: Clinical and Research Information on Drug-Induced Liver Injury. 30 May 2014. PMID 31643719. NBK548400. Retrieved 19 March 2020.
  14. ^ Wackym PA, Snow JB (2017). Ballenger's Otorhinolaryngology: Head and Neck Surgery. PMPH USA. p. 1185. ISBN 9781607951773.
  15. ^ "Antineoplastic Agents, Hormonal". Medical Subject Headings. U.S. National Library of Medicine. 2009. Retrieved 11 November 2010.
  16. ^ "Steroid Treatments Equally Effective Against Sudden Deafness". National Institutes of Health (NIH). 22 May 2015. Archived from the original on 1 November 2015. Retrieved 9 May 2022.
  17. ^ Riemer AD (April 1958). "Application of the newer corticosteroids to augment diuresis in congestive heart failure". The American Journal of Cardiology. 1 (4): 488–496. doi:10.1016/0002-9149(58)90120-6. PMID 13520608.
  18. ^ Newman DA (February 1959). "Reversal of intractable cardiac edema with prednisone". New York State Journal of Medicine. 59 (4): 625–633. PMID 13632954.
  19. ^ Zhang H, Liu C, Ji Z, Liu G, Zhao Q, Ao YG, et al. (September 2008). "Prednisone adding to usual care treatment for refractory decompensated congestive heart failure". International Heart Journal. 49 (5): 587–595. doi:10.1536/ihj.49.587. PMID 18971570.
  20. ^ Liu C, Liu G, Zhou C, Ji Z, Zhen Y, Liu K (September 2007). "Potent diuretic effects of prednisone in heart failure patients with refractory diuretic resistance". The Canadian Journal of Cardiology. 23 (11): 865–868. doi:10.1016/s0828-282x(07)70840-1. PMC 2651362. PMID 17876376.
  21. ^ Liu C, Chen H, Zhou C, Ji Z, Liu G, Gao Y, et al. (October 2006). "Potent potentiating diuretic effects of prednisone in congestive heart failure". Journal of Cardiovascular Pharmacology. 48 (4): 173–176. doi:10.1097/01.fjc.0000245242.57088.5b. PMID 17086096. S2CID 45800521.
  22. ^ Massari F, Mastropasqua F, Iacoviello M, Nuzzolese V, Torres D, Parrinello G (March 2012). "The glucocorticoid in acute decompensated heart failure: Dr Jekyll or Mr Hyde?". The American Journal of Emergency Medicine. 30 (3): 517.e5–517.10. doi:10.1016/j.ajem.2011.01.023. PMID 21406321.
  23. ^ Liu C, Chen Y, Kang Y, Ni Z, Xiu H, Guan J, et al. (October 2011). "Glucocorticoids improve renal responsiveness to atrial natriuretic peptide by up-regulating natriuretic peptide receptor-A expression in the renal inner medullary collecting duct in decompensated heart failure". The Journal of Pharmacology and Experimental Therapeutics. 339 (1): 203–209. doi:10.1124/jpet.111.184796. PMID 21737535. S2CID 1892149.
  24. ^ a b c "Prednisone and other corticosteroids: Balance the risks and benefits". Mayo Clinic. Retrieved 7 April 2017.
  25. ^ "Prednisone Information". Drugs.com.
  26. ^ "Prednisone". MedlinePlus Drug Information.
  27. ^ Wolkowitz OM, Lupien SJ, Bigler ED (June 2007). "The "steroid dementia syndrome": a possible model of human glucocorticoid neurotoxicity". Neurocase. 13 (3): 189–200. doi:10.1080/13554790701475468. PMID 17786779. S2CID 39340010.
  28. ^ "Steroids". Australian Department of Health & Human Services. April 2016. Retrieved 14 June 2018.
  29. ^ "Polymyalgia rheumatica: treatment reviews are needed". NIHR Evidence. 21 June 2022. doi:10.3310/nihrevidence_51304. S2CID 251774691. Retrieved 5 August 2022.
  30. ^ Sokhal BS, Hider SL, Paskins Z, Mallen CD, Muller S (2021). "Fragility fractures and prescriptions of medications for osteoporosis in patients with polymyalgia rheumatica: results from the PMR Cohort Study". Rheumatology Advances in Practice. 5 (3) rkab094. doi:10.1093/rap/rkab094. PMC 8712242. PMID 34988356.
  31. ^ Miller NR, Walsh FB, Hoyt WF (2005). Walsh and Hoyt's Clinical Neuro-ophthalmology. Lippincott Williams & Wilkins. p. 1062. ISBN 9780781748117.
  32. ^ Schakman O, Gilson H, Kalista S, Thissen JP (November 2009). "Mechanisms of muscle atrophy induced by glucocorticoids". Hormone Research. 72 (Suppl 1): 36–41. doi:10.1159/000229762. PMID 19940494. S2CID 21997662.
  33. ^ "Steroid Drug Withdrawal Symptoms, Treatment & Prognosis". MedicineNet. Retrieved 14 June 2018.
  34. ^ Bello CS, Garrett SD. "Therapeutic and Adverse Effects of Glucocorticoids". U.S. Pharmacist Continuing Education Program. Archived from the original on 11 July 2008.
  35. ^ Iliopoulou A, Abbas A, Murray R (19 May 2013). "How to manage withdrawal of glucocorticoid therapy". Prescriber. 24 (10): 23–29. doi:10.1002/psb.1060. S2CID 72082017.
  36. ^ Becker DE (Spring 2013). "Basic and clinical pharmacology of glucocorticosteroids". Anesthesia Progress. 60 (1): 25–31, quiz 32. doi:10.2344/0003-3006-60.1.25. PMC 3601727. PMID 23506281.
  37. ^ a b "Prednisone". DrugBank. Retrieved 29 January 2019.
  38. ^ "Prednisone". MedlinePlus. NIH U.S. National Library of Medicine.
  39. ^ a b Schijvens AM, Ter Heine R, de Wildt SN, Schreuder MF (March 2019). "Pharmacology and pharmacogenetics of prednisone and prednisolone in patients with nephrotic syndrome". Pediatric Nephrology. 34 (3): 389–403. doi:10.1007/s00467-018-3929-z. PMC 6349812. PMID 29549463.
  40. ^ Wan Y (8 January 2009). "Delayed-release prednisone (Lodotra™) approved in EU for treatment of rheumatoid arthritis". Archived from the original on 9 July 2009. Retrieved 22 November 2009.
  41. ^ Buttgereit F, Doering G, Schaeffler A, Witte S, Sierakowski S, Gromnica-Ihle E, et al. (January 2008). "Efficacy of modified-release versus standard prednisone to reduce duration of morning stiffness of the joints in rheumatoid arthritis (CAPRA-1): a double-blind, randomised controlled trial". Lancet. 371 (9608): 205–214. doi:10.1016/S0140-6736(08)60132-4. PMID 18207016. S2CID 6197980.
  42. ^ Elks J (14 November 2014). The Dictionary of Drugs: Chemical Data: Chemical Data, Structures and Bibliographies. Springer. pp. 1013–. ISBN 978-1-4757-2085-3.
  43. ^ Index Nominum 2000: International Drug Directory. Taylor & Francis. January 2000. pp. 871–. ISBN 978-3-88763-075-1.
  44. ^ Wainwright M (1998). "The secret of success: Arthur Nobile's discovery of the steroids prednisone and prednisolone in the 1950s revolutionised the treatment of arthritis". Chemistry in Britain. 34 (1): 46. OCLC 106716069.
  45. ^ "Inventor Profile: Arthur Nobile". National Inventors Hall of Fame. Archived from the original on 12 June 2012.
  46. ^ "Arthur Nobile". New Jersey Inventors Hall of Fame. Archived from the original on 1 September 2011.
  47. ^ Merck Index (14th ed.). Merck & Co. Inc. 2006. p. 1327. ISBN 978-0-911910-00-1.
  48. ^ a b Herzog HL, Nobile A, Tolksdorf S, Charney W, Hershberg EB, Perlman PL (February 1955). "New antiarthritic steroids". Science. 121 (3136): 176. Bibcode:1955Sci...121..176H. doi:10.1126/science.121.3136.176. PMID 13225767.
  49. ^ "Meticorten: FDA-Approved Drugs". U.S. Food and Drug Administration (FDA). Archived from the original on 30 April 2017.
  50. ^ "Delta-Cortef: FDA-Approved Drugs". U.S. Food and Drug Administration (FDA).