Keratin, type II cytoskeletal 7 also known as cytokeratin-7 (CK-7) or keratin-7 (K7) or sarcolectin (SCL) is a protein that in humans is encoded by the KRT7gene.[5][6][7] Keratin 7 is a type II keratin. It is specifically expressed in the simple epithelia lining the cavities of the internal organs and in the gland ducts and blood vessels.
Function
Keratin-7 is a member of the keratin gene family. The type II cytokeratins consist of basic or neutral proteins which are arranged in pairs of heterotypic keratin chains coexpressed during differentiation of simple and stratified epithelial tissues. This type II cytokeratin is specifically expressed in the simple epithelia lining the cavities of the internal organs and in the gland ducts and blood vessels. The genes encoding the type II cytokeratins are clustered in a region of chromosome 12q12-q13. Alternative splicing may result in several transcript variants; however, not all variants have been fully described.[7]
Keratin-7 is found in simple glandular epithelia, and in transitional epithelium. Epithelial cells of the lung and breast both contain keratin-7, but some other glandular epithelia, such as those of the colon and prostate, do not.
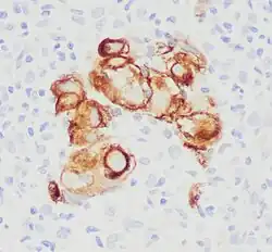
Immunohistochemistry
Immunohistochemistry for CK7 of a metastatic undifferentiated carcinoma to a lymph node.
Because the keratin-7 antigen is found in both healthy and neoplastic cells, antibodies to CK7 can be used in immunohistochemistry to distinguish ovarian and transitional cell carcinomas (staining positive) from colonic and prostate cancers (negative), respectively. It is commonly used together with CK20 when making such diagnoses.[8]
CK7 and CK20 expression by various body locations.[9]
^"Human PubMed Reference:". National Center for Biotechnology Information, U.S. National Library of Medicine.
^"Mouse PubMed Reference:". National Center for Biotechnology Information, U.S. National Library of Medicine.
^Rosenberg M, Fuchs E, Le Beau MM, Eddy RL, Shows TB (Aug 1991). "Three epidermal and one simple epithelial type II keratin genes map to human chromosome 12". Cytogenetics and Cell Genetics. 57 (1): 33–8. doi:10.1159/000133109. PMID1713141.
^Leong, Anthony S-Y; Cooper, Kumarason; Leong, F Joel W-M (2003). Manual of Diagnostic Cytology (2 ed.). Greenwich Medical Media, Ltd. p. 173. ISBN 978-1-84110-100-2.
Ramaekers F, Huysmans A, Schaart G, Moesker O, Vooijs P (May 1987). "Tissue distribution of keratin 7 as monitored by a monoclonal antibody". Experimental Cell Research. 170 (1): 235–49. doi:10.1016/0014-4827(87)90133-9. PMID2436934.
Maruyama K, Sugano S (Jan 1994). "Oligo-capping: a simple method to replace the cap structure of eukaryotic mRNAs with oligoribonucleotides". Gene. 138 (1–2): 171–4. doi:10.1016/0378-1119(94)90802-8. PMID8125298.
Gress TM, Müller-Pillasch F, Geng M, Zimmerhackl F, Zehetner G, Friess H, Büchler M, Adler G, Lehrach H (Oct 1996). "A pancreatic cancer-specific expression profile". Oncogene. 13 (8): 1819–30. PMID8895530.
Suzuki Y, Yoshitomo-Nakagawa K, Maruyama K, Suyama A, Sugano S (Oct 1997). "Construction and characterization of a full length-enriched and a 5'-end-enriched cDNA library". Gene. 200 (1–2): 149–56. doi:10.1016/S0378-1119(97)00411-3. PMID9373149.
Alvarez Alvarez C, Sánchez Merino JM, Busto Castañón L, Pombo Felipe F, Arnal Monreal F (Jun 1998). "[Mucinous adenocarcinoma of the urachus synchronic with colorectal adenocarcinoma. Value of immunohistochemistry in the differential diagnosis]". Actas Urologicas Españolas. 22 (6): 515–8. PMID9734130.
Kaba A, Jiang PH, Chany-Fournier F, Chany C (Jul 1999). "Sarcolectin (SCL): structure and expression of the recombinant molecule". Biochimie. 81 (7): 709–15. doi:10.1016/S0300-9084(99)80128-X. PMID10492017.
Harris RA, Yang A, Stein RC, Lucy K, Brusten L, Herath A, Parekh R, Waterfield MD, O'Hare MJ, Neville MA, Page MJ, Zvelebil MJ (Feb 2002). "Cluster analysis of an extensive human breast cancer cell line protein expression map database". Proteomics. 2 (2): 212–23. doi:10.1002/1615-9861(200202)2:2<212::AID-PROT212>3.0.CO;2-H. PMID11840567. S2CID44946014.
Bonvini P, Gastaldi T, Falini B, Rosolen A (Mar 2002). "Nucleophosmin-anaplastic lymphoma kinase (NPM-ALK), a novel Hsp90-client tyrosine kinase: down-regulation of NPM-ALK expression and tyrosine phosphorylation in ALK(+) CD30(+) lymphoma cells by the Hsp90 antagonist 17-allylamino,17-demethoxygeldanamycin". Cancer Research. 62 (5): 1559–66. PMID11888936.
Jovanovic I, Tzardi M, Mouzas IA, Micev M, Pesko P, Milosavljevic T, Zois M, Sganzos M, Delides G, Kanavaros P (Apr 2002). "Changing pattern of cytokeratin 7 and 20 expression from normal epithelium to intestinal metaplasia of the gastric mucosa and gastroesophageal junction". Histology and Histopathology. 17 (2): 445–54. PMID11962749.
Smith FJ, Porter RM, Corden LD, Lunny DP, Lane EB, McLean WH (Oct 2002). "Cloning of human, murine, and marsupial keratin 7 and a survey of K7 expression in the mouse". Biochemical and Biophysical Research Communications. 297 (4): 818–27. doi:10.1016/S0006-291X(02)02288-X. PMID12359226.
Blagoev B, Kratchmarova I, Ong SE, Nielsen M, Foster LJ, Mann M (Mar 2003). "A proteomics strategy to elucidate functional protein-protein interactions applied to EGF signaling". Nature Biotechnology. 21 (3): 315–8. doi:10.1038/nbt790. PMID12577067. S2CID26838266.