Hashimoto's thyroiditis

Hashimoto's thyroiditis
Other namesChronic lymphocytic thyroiditis, autoimmune thyroiditis, struma lymphomatosa, Hashimoto's disease
A micrograph of the thyroid of someone with Hashimoto's thyroiditis
SpecialtyEndocrinology
SymptomsWeight gain, feeling tired, constipation, joint and muscle pain, cold intolerance, dry skin, hair loss, slowed heart rate[1]
ComplicationsThyroid lymphoma.[2]
Usual onset30–50 years old[3][4]
CausesGenetic and environmental factors.[5]
Risk factorsFamily history, another autoimmune disease[3]
Diagnostic methodTSH, T4, anti-thyroid autoantibodies, ultrasound[3]
Differential diagnosisGraves' disease, nontoxic nodular goiter[6]
TreatmentLevothyroxine, surgery[3][6]
Frequency2% at some point[5]

Hashimoto's thyroiditis, also known as chronic lymphocytic thyroiditis, Hashimoto's disease and autoimmune thyroiditis, is an autoimmune disease in which the thyroid gland is gradually destroyed.[7][1]

Early on, symptoms may not be noticed.[3] Over time, the thyroid may enlarge, forming a painless goiter.[3] Most people eventually develop hypothyroidism with accompanying weight gain, fatigue, constipation, hair loss, and general pains.[1] After many years, the thyroid typically shrinks in size.[1] Potential complications include thyroid lymphoma.[2] Further complications of hypothyroidism can include high cholesterol, heart disease, heart failure, high blood pressure, myxedema, and potential problems in pregnancy.[1]

Hashimoto's thyroiditis is thought to be due to a combination of genetic and environmental factors.[5][8] Risk factors include a family history of the condition and having another autoimmune disease.[3] Diagnosis is confirmed with blood tests for TSH, thyroxine (T4), antithyroid autoantibodies, and ultrasound.[3] Other conditions that can produce similar symptoms include Graves' disease and nontoxic nodular goiter.[6]

Hashimoto's is typically not treated unless there is hypothyroidism or the presence of a goiter, when it may be treated with levothyroxine.[6][3] Those affected should avoid eating large amounts of iodine; however, sufficient iodine is required especially during pregnancy.[3] Surgery is rarely required to treat the goiter.[6]

Hashimoto's thyroiditis has a global prevalence of 7.5%, and varies greatly by region.[9] The highest rate is in Africa, and the lowest is in Asia.[9] In the US, white people are affected more often than black people. It is more common in low to middle-income groups. Females are more susceptible, with a 17.5% rate of prevalence compared to 6% in males.[9] It is the most common cause of hypothyroidism in developed countries.[10] It typically begins between the ages of 30 and 50.[3][4] Rates of the disease have increased.[9] It was first described by the Japanese physician Hakaru Hashimoto in 1912.[11] Studies in 1956 discovered that it was an autoimmune disorder.[12]

Signs and symptoms

Systemic manifestations of hypothyroidism

Signs

Depiction of a goiter

In the early stages of autoimmune thyroiditis, patients may have normal thyroid hormone levels and no goiter or a small one.[5] Enlargement of the thyroid is due to lymphocytic infiltration and fibrosis.[13] Early on, thyroid autoantibodies in the blood may be the only indication of Hashimoto’s disease.[5] They are thought to be the secondary products of the T cell-mediated destruction of the gland.[5]

As lymphocytic infiltration progresses, patients may exhibit signs of hypothyroidism in multiple bodily systems, including, but not limited to, a larger goiter, weight gain, cold intolerance, fatigue, myxedema, constipation, menstrual disturbances, pale or dry skin, and dry, brittle hair, depression, and ataxia.[14][10] Extended thyroid hormone deficiency may lead to muscle fibre changes, resulting in muscle weakness, muscle pain, stiffness, and rarely, pseudohypertrophy.[15] Patients with goiters who have had autoimmune thyroiditis for many years might see their goiter shrink in the later stages of the disease due to destruction of the thyroid.[1] Graves disease may occur before or after the development of autoimmune thyroiditis.[16]

While rare, more serious complications of the hypothyroidism resulting from autoimmune thyroiditis are pericardial effusion, pleural effusion, both of which require further medical attention, and myxedema coma, which is an endocrine emergency.[10]

Symptoms

Many symptoms are attributed to the development of Hashimoto's thyroiditis. Symptoms can include: fatigue, weight gain, pale or puffy face, feeling cold, joint and muscle pain, constipation, dry and thinning hair, heavy menstrual flow or irregular periods, depression, a slowed heart rate, problems getting pregnant, miscarriages,[17] and myopathy.[15] Some patients in the early stage of the disease may experience symptoms of hyperthyroidism due to the release of thyroid hormones from intermittent thyroid destruction[10][18] (also called "destructive thyrotoxicosis").[5] In non-medical settings, the term "flare" is used to refer to a sudden exacerbation of symptoms, whether hyper or hypo.[19]

While most symptoms are attributed to hypothyroidism, similar symptoms are observed in Hashimoto's patients with normal thyroid hormone levels.[20][21][13] According to one study, these symptoms may include lower quality of life, and issues of the "digestive system (abdominal distension, constipation and diarrhea), endocrine system (chilliness, gain weight and facial edema), neuropsychiatric system (forgetfulness, anxiety, depressed, fatigue, insomnia, irritability, and indifferent [sic]) and mucocutaneous system (dry skin, pruritus, and hair loss)."[22]

Causes

The causes of Hashimoto's thyroiditis are complex. Around 80% of the risk of developing an autoimmune thyroid disorder is due to genetic factors, while the remaining 20% is related to environmental factors (such as iodine, drugs, infection, stress, radiation).[23]

Genetics

Thyroid autoimmunity can be familial.[24] Many patients report a family history of autoimmune thyroiditis or Graves' disease.[14] The strong genetic component is borne out in studies on monozygotic twins,[10] with a concordance of 38–55%, with an even higher concordance of circulating thyroid antibodies not in relation to clinical presentation (up to 80% in monozygotic twins). Neither result was seen to a similar degree in dizygotic twins, offering strong favour for high genetic etiology.[25]

The genes implicated vary in different ethnic groups,[26] and the impact of these genes on the disease differs significantly among people from different ethnic groups. A gene that has a large effect in one ethnic group's risk of developing Hashimoto's thyroiditis might have a much smaller effect in another ethnic group.[25]

The incidence of autoimmune thyroid disorders is increased in people with chromosomal disorders, including Turner, Down, and Klinefelter syndromes.[23]

HLA genes

The first gene locus associated with autoimmune thyroid disease was the major histocompatibility complex (MHC) region on chromosome 6p21. It encodes human leukocyte antigens (HLAs). Specific HLA alleles have a higher affinity to auto-antigenic thyroidal peptides and can contribute to autoimmune thyroid disease development. Specifically, in Hashimoto's disease, aberrant expression of HLA II on thyrocytes has been demonstrated. They can present thyroid autoantigens and initiate autoimmune thyroid disease.[26] Susceptibility alleles are not consistent in Hashimoto's disease. In Caucasians, various alleles are reported to be associated with the disease, including DR3, DR5, and DQ7.[27][28]

CTLA-4 genes

CTLA-4 is the second major immune-regulatory gene related to autoimmune thyroid disease. CTLA-4 gene polymorphisms may contribute to the reduced inhibition of T-cell proliferation and increase susceptibility to autoimmune response.[29] CTLA-4 is a major thyroid autoantibody susceptibility gene. A linkage of the CTLA-4 region to the presence of thyroid autoantibodies was demonstrated by a whole-genome linkage analysis.[30] CTLA-4 was confirmed as the main locus for thyroid autoantibodies.[31]

PTPN22 gene

PTPN22 is the most recently identified immune-regulatory gene associated with autoimmune thyroid disease. It is located on chromosome 1p13 and expressed in lymphocytes. It acts as a negative regulator of T-cell activation. Mutation in this gene is a risk factor for many autoimmune diseases. Weaker T-cell signaling may lead to impaired thymic deletion of autoreactive T cells, and increased PTPN22 function may result in inhibition of regulatory T cells, which protect against autoimmunity.[32]

IFN-γ promotes cell-mediated cytotoxicity against thyroid mutations causing increased production of IFN-γ were associated with the severity of hypothyroidism.[33] Severe hypothyroidism is associated with mutations leading to lower production of IL-4 (Th2 cytokine suppressing cell-mediated autoimmunity),[34] lower secretion of TGF-β (inhibitor of cytokine production),[35] and mutations of FOXP3, an essential regulatory factor for the regulatory T cells (Tregs) development.[36] Development of Hashimoto's disease was associated with mutation of the gene for TNF-α (stimulator of the IFN-γ production), causing its higher concentration.[37]

Existential (endogenous environmental)

Sex

A study of healthy Danish twins divided into three groups (monozygotic and dizygotic same sex, and opposite sex twin pairs) estimated that genetic contribution to thyroid peroxidase antibodies susceptibility was 61% in males and 72% in females, and contribution to thyroglobulin antibodies susceptibility was 39% in males and 75% in females.[38]

The high female predominance in thyroid autoimmunity may be associated with the X chromosome. It contains sex and immune-related genes responsible for immune tolerance.[39] A higher incidence of thyroid autoimmunity was reported in patients with a higher rate of X-chromosome monosomy in peripheral white blood cells.[40] Another potential mechanism might be skewed X-chromosome inactivation.[5]

Pregnancy

In one population study, two or more births were a risk factor for developing autoimmune hypothyroidism in pre-menopausal women.[41]

Environmental

Medications

Certain medications or drugs have been associated with altering and interfering with thyroid function. There are two main mechanisms of interference:[42]

Iodine

Both excessive and insufficient iodine intake has been implicated in developing antithyroid antibodies.[43][44] Thyroid autoantibodies are found to be more prevalent in geographical areas after increasing iodine levels.[44] Several mechanisms by which excessive iodine may promote thyroid autoimmunity have been proposed:[43]

Comorbidities

Comorbid autoimmune diseases are a risk factor for developing Hashimoto's thyroiditis, and the opposite is also true.[3] Another thyroid disease closely associated with Hashimoto's thyroiditis is Graves' disease.[16] Autoimmune diseases affecting other organs most commonly associated with Hashimoto's thyroiditis include celiac disease, type 1 diabetes, vitiligo, alopecia,[46] Addison disease, Sjogren's syndrome, and rheumatoid arthritis[14][47] Autoimmune thyroiditis has also been seen in patients with autoimmune polyendocrine syndromes type 1 and 2.[16]

Other

Other environmental factors include selenium deficiency,[8] infectious diseases such as hepatitis C, rubella, and possibly COVID-19,[48][49][50] toxins,[5] dietary factors,[16] radiation exposure,[5] and gut dysbiosis.[51]

Mechanism

The pathophysiology of autoimmune thyroiditis is not well understood.[5] However, once the disease is established, its core processes have been observed:

Hashimoto's thyroiditis is a T-lymphocyte-mediated attack on the thyroid gland.[13] T helper 1 cells trigger macrophages and cytotoxic lymphocytes to destroy thyroid follicular cells, while T helper 2 cells stimulate the excessive production of B cells and plasma cells which generate antibodies against the thyroid antigens, leading to thyroiditis.[52] The three major antibodies are: Thyroid peroxidase Antibodies (TPOAb), Thyroglobulin Antibodies (TgAb), and Thyroid stimulating hormone receptor Antibodies (TRAb),[24] with TPOAb and TgAb being most commonly implicated in Hashimotos.[5] Antibodies are hypothesized to develop as a result of thyroid damage, where T-lymphocytes become sensitized to residual thyroid peroxidase and thyroglobulin, rather than as the initial cause of thyroid damage.[5] However, antibodies may exacerbate further thyroid destruction by binding the complement system and triggering apoptosis of thyroid cells.[5] TPO antibody levels may correlate with the degree of lymphocyte infiltration of the thyroid.[53][54]

Gross morphological changes within the thyroid are seen in the general enlargement, which is far more locally nodular and irregular than more diffuse patterns (such as that of hyperthyroidism). While the capsule is intact and the gland itself is still distinct from surrounding tissue, microscopic examination can provide a more revealing indication of the level of damage.[55] Hypothyroidism is caused by replacement of follicular cells with parenchymatous tissue.[52]

Partial regeneration of the thyroid tissue can occur, but this has not been observed to normalise hormonal levels.[56][57]

Pathology

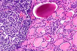
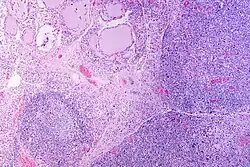
Marked lymphocytic infiltration (purple areas) of the thyroid gland in a patient with chronic autoimmune thyroiditis
High powered magnification showing lymphocytic infiltration of the thyroid gland in autoimmune thyroiditis

Gross pathology of a thyroid with autoimmune thyroiditis may show a symmetrically enlarged thyroid.[5] It is often paler in color, in comparison to normal thyroid tissue, which is reddish-brown.[5]

Microscopic examination (histology) will show lymphocytes (including plasma B-cells) diffusely infiltrating the parenchyma.[55] The lymphocytes are predominately T-lymphocytes with a representation of both CD4+ and CD8+ cells.[5] The plasma cells are polyclonal, with present germinal centers resembling the structure of a lymph node[5] (also called secondary lymphoid follicles, not to be confused with the normally present colloid-filled follicles that constitute the thyroid).[55]

In late stages of the disease, the thyroid may be atrophic.[10] Colloid-filled follicles shrink, and the cuboidal cells that usually line the follicles become Hürthle cells.[5] Fibrous tissue may be found throughout the affected thyroid as well.[5] Severe thyroid atrophy presents often with denser fibrotic bands of collagen that remain within the confines of the thyroid capsule.[55]

Generally, pathological findings of the thyroid are related to the amount of remaining thyroid function — the more infiltration and fibrosis, the less likely a patient will have normal thyroid function.[5] A rare but serious complication is thyroid lymphoma, generally the B-cell type, non-Hodgkin lymphoma.[24]

Diagnosis

Ultrasound imaging of the thyroid gland (right lobe longitudinal) in a person with Hashimoto thyroiditis

Tests

Physical exam

Physicians will often start by assessing reported symptoms and performing a thorough physical exam, including a neck exam.[10] Patients may have a "firm, bumpy, symmetric, painless goiter", however, up to 10% of patients may have an atrophied thyroid.[5]

Antithyroid antibodies tests

Tests for antibodies against thyroid peroxidase, thyroglobulin, and thyrotropin receptors can detect autoimmune processes against the thyroid. 90% of Hashimoto's patients have elevated levels of thyroid peroxidase antibodies.[5] However, seronegative (without circulating autoantibodies) thyroiditis is also possible.[58] There may be circulating antibodies before the onset of any symptoms.[10]

Ultrasound

Ultrasound imaging of the thyroid showing Hashimoto's thyroiditis

An ultrasound may be useful in detecting Hashimoto thyroiditis, especially in those with seronegative thyroiditis,[13] or when patients have normal laboratory values but symptoms of autoimmune thyroiditis.[47] Key features detected in the ultrasound of a person with Hashimoto's thyroiditis include "echogenicity, heterogeneity, hypervascularity, and presence of small cysts."[13] Images obtained with ultrasound can evaluate the size of the thyroid, reveal the presence of nodules, or provide clues to the diagnosis of other thyroid conditions.[47]

Nuclear medicine

Nuclear imaging showing thyroid uptake can also be helpful in diagnosing thyroid function, particularly differential diagnosis.[5]

TSH levels test

Elevated Thyroid-stimulating hormone (TSH) levels may indicate hypothyroidism (underperforming thyroid).[47] Hypothyroidism is a common symptom and potential indication of Hashimoto's disease.[5] As blood levels of thyroid hormones fall due to hypothyroidism, the anterior pituitary gland increases production of TSH, which stimulates increased production of thyroid hormones in the thyroid.[20] The elevation is usually a marked increase over the normal range.[14] TSH is the preferred initial test of thyroid function as it has a higher sensitivity to changes in thyroid status than free T4.[59]

Biotin can cause this test to read "falsely low".[20] Time of day can affect the results of this test; TSH peaks early in the morning and slumps in the late afternoon to early evening,[60] with "a variation in TSH by a mean of between 0.95 mIU/mL to 2.0 mIU/mL".[61] Hypothyroidism is diagnosed more often in samples taken soon after waking.[62]

T3 or T4 levels test

These tests detect levels of two thyroid hormones: Thyroxine (T4) and Tri-iodothyronine (T3). Low levels of these hormones (hypothyroidism) may indicate autoimmune damage to the thyroid due to Hashimoto's, while elevated levels may indicate an attack of destructive thyrotoxicosis.[5] Hashimoto's with normal levels is possible, however.

Free or total levels can be measured. Typically, Free T4 is the preferred test for hypothyroidism,[63] as Free T3 immunoassay tests are less reliable at detecting low levels of thyroid hormone,[64] and they are more susceptible to interference.[63] Both immunoassay tests of Free T4 and Free T3 may overestimate concentrations, particularly at low thyroid hormone levels, which is why results are typically read in conjunction with TSH, a more sensitive measure.[65] LC-MSMS assays are rarer, but they are "highly specific, sensitive, precise, and can detect hormones found in low concentrations."[65]

Muscle Biopsy

Muscle biopsy is not necessary for diagnosis of myopathy due to hypothyroid muscle fibre changes, however it may reveal confirmatory features.[15]

Treatment

There is no cure for Hashimoto's Thyroiditis.[51][66] There is currently no known way to stop auto-immune lymphocytes infiltrating the thyroid or to stimulate regeneration of thyroid tissue.[5] However, the condition can be managed.[51][66]

Molecular structure of Thyroxine, Levothyroxine, Levothyroxine Sodium, Tri-iodothyronine, Liothyronine, and Liothyronine Sodium.
Molecular structure of Thyroxine, Levothyroxine, Levothyroxine Sodium, Tri-iodothyronine, Liothyronine, and Liothyronine Sodium.

Managing hormone levels

Hormone Terminology
Endogenous Synthetic
T3 Tri-iodothyronine Liothyronine
T4 Thyroxine Levothyroxine

Hypothyroidism caused by Hashimoto's thyroiditis is treated with thyroid hormone replacement agents such as levothyroxine (LT4),[20] liothyronine (LT3),[5] or desiccated thyroid extract (T4+T3).[67] In most cases, the treatment needs to be taken for the rest of the person's life.[20]

The standard of care is levothyroxine (LT4) therapy, which is an oral medication identical in molecular structure to endogenous thyroxine (T4).[20] Levothyroxine sodium has a sodium salt added to increase its gastrointestinal absorption.[68] Levothyroxine has the benefits of a long half-life[69] leading to stable thyroid hormone levels,[70] ease of monitoring,[70] excellent safety[70][71] and efficacy record,[65] and usefulness in pregnancy as it can cross the fetal blood-brain barrier.[13]

Levothyroxine dosing to normalise TSH is based on the amount of residual endogenous thyroid function and the patient’s weight, particularly lean body mass.[13] The dose can be adjusted based upon each patient, for example, the dose may be lowered for elderly patients or patients with certain cardiac conditions, but is increased in pregnant patients.[10] It is administered on a consistent schedule.[20] Levothyroxine may be dosed daily or weekly, however weekly dosing may be associated with higher TSH levels, elevated thyroid hormone levels, and transient "echocardiographic changes in some patients following 2-4 h of thyroxine intake".[72][73]

Some patients elect combination therapy with both levothyroxine and liothyronine (which is identical in molecular structure to tri-iodothyronine) however studies of combination therapy are limited,[5] and five meta-analyses/reviews "suggested no clear advantage of the combination therapy."[13] However, subgroup analysis found that patients who remain the most symptomatic while taking levothyroxine may benefit from therapy containing liothyronine.[13]

There is a lack of evidence around the benefits, side effects, and long-term risks of desiccated thyroid extract. It is no longer recommended for the treatment of hypothyroidism.[67]

Side Effects

Side effects of thyroid replacement therapy are associated with "inadequate or excessive doses."[20] Symptoms to watch for include, but are not limited to, anxiety, tremor, weight loss, heat sensitivity, diarrhea, and shortness of breath. More worrisome symptoms include atrial fibrillation and bone density loss.[20] Long term over-treatment is associated with increased mortality and dementia.[21]

Monitoring

Thyroid Stimulating Hormone (TSH) is the main laboratory value for monitoring response to treatment with levothyroxine.[74] When treatment is first initiated, TSH levels may be monitored as often as every 6–8 weeks.[74] Each time the dose is adjusted, TSH levels may be measured at that frequency until the correct dose is determined.[74] Once titrated to a proper dose, TSH levels will be monitored yearly.[74] The target level for TSH is the subject of debate, with factors like age, sex, individual needs and special circumstances such as pregnancy being considered.[75] Recent studies suggest that adjusting therapy based on thyroid hormone levels (T4 and/or T3) may be important.[20]

Monitoring liothyronine treatment or combination treatment can be challenging.[75][70][76] Liothyronine can suppress TSH to a greater extent than levothyroxine.[77] Short-acting Liothyronine's short half-life can result in large fluctuations of free T3[76] over the course of 24 hours.[78]

Patients may have to adjust their dosage several times over the course of the disease. Endogenous thyroid hormone levels may fluctuate, particularly early in the disease.[79] Patients may sometimes develop hyperthyroidism, even after long-term treatment.[5] This can be due to several factors, including acute attacks of destructive thyrotoxicosis (autoimmune attacks on the thyroid resulting in rises in thyroid hormone levels as thyroid hormones leak out of the damaged tissues).[18][5] This is usually followed by hypothyroidism.[5]

Reverse T3

Measuring reverse tri-iodothyronine (rT3) is often mentioned in the lay (non-medical) press as a possible marker to inform T4 or T3 therapy, "however, there is currently no evidence to support this application" as of 2023.[63] Although cited in the lay press as a possible competitor to T3, it is unlikely that rT3 causes hypothyroid symptoms by out-competing T3 for thyroid hormone receptors, as it has a binding affinity 200 times weaker.[80] It is also unlikely that rT3 causes poor T4 to T3 conversion; despite being demonstrated in vivo to have the potential to inhibit DIO-mediated T4 to T3 conversion, this is considered improbable at normal body hormone concentrations.[80]

Persistent Symptoms

Multiple studies have demonstrated persistent symptoms in Hashimoto's patients with normal thyroid hormone levels (euthyroid)[20][75][13][69] and an estimated 10%-15% of patients treated with levothyroxine monotherapy are dissatisfied due to persistent symptoms of hypothyroidism.[81][21] Several different hypothesised causes are discussed in the medical literature:[82][69][13]

Low tissue tri-iodothyronine (T3) hypothesis

Peripheral tissue T4 to T3 conversion may be inadequate: Some patients on LT4 monotherapy may have blood T3 levels low or below the normal range,[20][75] and/or may have local T3 deficiency in some tissues.[83] Although both molecules can have biological effects, thyroxine (T4) is considered the "storage form" of thyroid hormone with much less effect, while tri-iodothyronine (T3) is considered the active form used by body tissues.[84][85] Thus, the body must convert thyroxine into triiodothyronine.[85] Tri-iodothyronine is produced primarily by conversion in the liver, kidney, skeletal muscle and pituitary gland.[86]

Adequate conversion requires sufficient levels of the micronutrients zinc,[87] selenium,[8] iron,[88] and possibly vitamin A.[89] Conversion rates may decline with age.[90] Since deiodinase type 2 is necessary for T4 to T3 conversion in some peripheral tissues, "patients with DIO2 gene polymorphisms may have variable peripheral T3 availability", leading to localised hypothyroidism in some tissues.[69][13][8] The Thr92Ala DIO2 polymorphism is present in 12–36% of the population.[69]

For the latter patients, levothyroxine monotherapy may not be sufficient[69] and patients may have improvement on combination therapy of T4 and T3.[20][8][91] As standard immunoassay tests can overestimate blood T4 and T3 levels, Ultrafiltration LC-MSMS T4 and T3 tests may help to identify patients who would benefit from additional T3.[65]

Inadequate markers hypothesis

There is ongoing debate about how to define euthyroidism and whether TSH is its best indicator.[81] TSH may be useful to detect poor thyroid output and may reflect the state of thyroid hormones in the hypothalamic-pituitary-thyroid axis, but not the presence of hormones in other body tissues.[21][75][83] As a result, LT4 monotherapy may not result in a "truly biochemically euthyroid state."[69] Patients may express a preference for "low normal or below normal TSH values"[83] and/or T4 and T3 monitoring. The monitoring of other biomarkers that reflect the action of thyroid hormone on tissues has also been proposed.[13][92][21]

As immunoassay Free T3 and Free T4 tests can overestimate levels, particularly at low thyroid hormone levels, hypothyroidism may be undertreated.[65] LC-MSMS tests may provide more reliable measures.[65]

Extra-thyroidal effects of autoimmunity hypothesis

It is hypothesised that autoimmunity may play some role in euthyroid symptoms.[75][93][69] Hypothesised mechanisms include the proposal that TPO-antibody-producing lymphocytes may travel out of the thyroid to other tissue, creating symptoms and inflammation due to cross-reaction,[69][94] or "the inflammatory nature of [...] persistently increased circulating cytokine levels."[75] Multiple studies find that antibodies coincide with symptoms even in euthyroid patients,[5][69] and higher levels are associated with increased symptoms,[20] however "the found association does not prove a causality".[69] No treatment currently exists for Hashimoto's autoimmunity, although observed well-being improvements after surgical thyroid removal are hypothesised to be due to removing the autoimmune stimulus.[13][94]

Physical and psychosocial co-morbidities hypothesis

It is hypothesised that euthyroid symptoms may not be due to Hashimoto's or hypothyroidism, but some other "physical and psychosocial co-morbidities".[82][21]

Improving well-being

Some patients may perceive improved well-being while in thyrotoxicosis, however overtreatment has risks (known risks for levothyroxine and unknown risks for liothyronine).[21] One study demonstrated surgical thyroid removal may substantially improve fatigue and well-being,[75][5] see Surgery considerations, below.

Reducing antibodies

It is not established that reducing antithyroid antibodies in Hashimoto's has benefits.[93][13][95] A systematic review and meta-analysis of selenium trials found that while selenium reduces TPO antibodies, there was a lack of evidence of effects on "disease remission, progression, lowered levothyroxine dose or improved quality of life".[8]

Selenium,[96][8] vitamin D,[97] and metformin[98] can reduce thyroid peroxidase antibodies. There is preliminary evidence that levothyroxine,[99][100] aloe vera juice[101] and black cumin seed[102] may reduce thyroid peroxidase antibodies. Metformin can reduce thyroglobulin antibodies.[98] It is not established that a gluten-free diet can reduce antibodies when there is no comorbid coeliac disease.[103][104] Gluten-free diets have been shown in several studies to reduce antibodies, and in other studies to have no effect, however there were significant confounding issues in these studies, including not ruling out comorbid coeliac disease.[103] One study found surgical thyroid removal can substantially reduce anti-thyroid antibody levels,[75][5] see Surgery considerations, below.

Surgery considerations

Surgery is not the initial treatment of choice for autoimmune disease, and uncomplicated Hashimoto's thyroiditis is not an indication for thyroidectomy.[5] Patients generally may discuss surgery with their doctor if they are experiencing significant pressure symptoms, or cosmetic concerns, or have nodules present on ultrasound.[5] One well-conducted study of patients with troublesome general symptoms and with anti-thyroperoxidase (anti-TPO) levels greater than 1000 IU/ml (normal <100 IU/ml) showed that total thyroidectomy caused the symptoms to resolve and median anti-thyroid peroxidase levels to reduce from 2232 to 152 IU/mL,[5][105] but post-operative complications were higher than expected:[75] infection (4.1%), permanent hypoparathyroidism (4.1%) and recurrent laryngeal nerve injury (5.5%).[82]

Other

Zinc may increase free T3 levels.[104] A small pilot study found Ashwagandha Root may increase T3 and T4 levels, however, there's a lack of strong evidence of this benefit and Ashwagandha has a potential to cause adrenal insufficiency.[104]

As of 2022, there has been only one study of low-dose naltrexone in Hashimoto's, which did not demonstrate efficacy; therefore, nothing supports its use. Removing dairy products in those without lactose intolerance is not supported.[104] While soy isoflavones have the potential to theoretically affect T3 and T4 production, studies in those with sufficient iodine find no effect.[104]

Prognosis

Overt, symptomatic thyroid dysfunction is the most common complication, with about 5% of people with subclinical hypothyroidism and chronic autoimmune thyroiditis progressing to thyroid failure every year. Transient periods of thyrotoxicosis (over-activity of the thyroid) sometimes occur, and rarely the illness may progress to full hyperthyroid Graves' disease with active orbitopathy (bulging, inflamed eyes).[106]

Rare cases of fibrous autoimmune thyroiditis present with severe shortness of breath and difficulty swallowing, resembling aggressive thyroid tumors, but such symptoms always improve with surgery or corticosteroid therapy. Although primary thyroid B-cell lymphoma affects fewer than one in 1000 persons, it is more likely to affect those with long-standing autoimmune thyroiditis,[106] as there is a 67- to 80-fold increased risk of developing primary thyroid lymphoma in patients with Hashimoto's thyroiditis.[107]

Myopathy as a result of muscle fibre changes due to thyroid hormone deficiency may take months or years of thyroid hormone treatment to resolve.[15][108]

Anti-thyroid antibodies

Thyroid peroxidase antibodies typically (but not always) decline in patients treated with levothyroxine,[95] with decreases varying between 10% and 90% after a follow-up of 6 to 24 months.[109] One study of patients treated with levothyroxine observed that 35 out of 38 patients (92%) had declines in thyroid peroxidase antibody levels over five years, lowering by 70% on average. 6 of the 38 patients (16%) had thyroid peroxidase antibody levels return to normal.[109]

Children

Many children diagnosed with Hashimoto's disease will experience the same progressive course of the disease that adults do.[110] However, of children who develop anti-thyroid antibodies and hypothyroidism, up to 50% are later observed to have normal antibodies and thyroid hormone levels.[5] One case of true remission has been observed in a 12-year-old girl. Her thyroid was observed via ultrasound to progress from early inflammation to severe end-stage Hashimoto's thyroiditis with hypothyroidism, and then return to "almost normal with only minimal features of inflammation" and euthyroidism.[111]

Epidemiology

Hashimoto's Disease is estimated to affect 2% of the world's population.[5][25] About 1.0 to 1.5 in 1000 people have this disease at any time.[55]

Sex

Anyone may develop this disease, but it occurs between 8[20] and 15 times more often in women than in men. Some research suggests a connection to the role of the placenta as an explanation for the sex difference.[112] Other research suggests the difference in prevalence amongst genders is due to the effects of sex hormones.[16]

High iodine consumption

Autoimmune thyroiditis has a higher prevalence in societies that have a higher intake of iodine in their diet, such as the United States and Japan, and among people who are genetically susceptible.[113] It is the most common cause of hypothyroidism in areas of sufficient iodine.[10] Also, the rate of lymphocytic infiltration increased in areas where the iodine intake was once low, but increased due to iodine supplementation.[24][114]

Iodine deficiency disorder is combated using an increase in iodine in a person's diet. When a dramatic change occurs in a person's diet, they become more at risk of developing hypothyroidism and other thyroid disorders. Treating iodine deficiency disorder with high salt intakes should be done carefully and cautiously, as the risk for Hashimoto's may increase.[114]

Geography plays a large role in which regions have access to diets with low or high iodine. Iodine levels in both water and salt should be heavily monitored to protect at-risk populations from developing hypothyroidism.[115] Geographic trends of hypothyroidism vary across the world as different places have different ways of defining the disease and reporting cases. Populations that are spread out or defined poorly may skew data in unexpected ways.[25]

North America

Hashimoto's thyroiditis may affect up to 5% of the United States' population.[116] Hashimoto's thyroiditis disorder is thought to be the most common cause of primary hypothyroidism in North America.[55]

Age

Hashimoto's thyroiditis can occur at any age, including children,[113] but more commonly appears in middle age, particularly for men.[117] Incidence peaks in the fifth decade of life, but patients are usually diagnosed between age 30–50.[47][116] The highest prevalence from one study was found in the elderly members of the community.[118] It has been shown that the prevalence of positive tests for thyroid antibodies increases with age, "with a frequency as high as 33 percent in women 70 years old or older."[24]

Race

The prevalence of Hashimoto's varies geographically. The highest rate is in Africa, and the lowest in Asia.[9] In the US, the African-American population experiences it less commonly but has greater associated mortality.[119]

Autoimmune diseases

Those who already have an autoimmune disease are at greater risk of developing Hashimoto's, as the diseases generally coexist with each other.[25] See Causes > Comorbidities, above.

The secular trends of hypothyroidism reveal how the disease has changed over time, given changes in technology and treatment options. Even though ultrasound technology and treatment options have improved, the incidence of hypothyroidism has increased according to data focused on the US and Europe. Between 1993 and 2001, the disease was found to vary between 3.9 and 4.89 per 1000 women. Between 1994 and 2001, the disease increased from 0.65 to 1.01 per 1000 men.[118]

History

Also known as Hashimoto's disease, Hashimoto's thyroiditis is named after Japanese physician Hakaru Hashimoto (1881−1934) of the medical school at Kyushu University,[120] who first described the symptoms of persons with struma lymphomatosa, an intense infiltration of lymphocytes within the thyroid, in 1912 in the German journal called Archiv für Klinische Chirurgie.[4][121] This paper was made up of 30 pages and 5 illustrations all describing the histological changes in the thyroid tissue. Furthermore, all results in his first study were collected from four women. These results explained the pathological characteristics observed in these women especially the infiltration of lymphocyte and plasma cells as well as the formation of lymphoid follicles with germinal centers, fibrosis, degenerated thyroid epithelial cells and leukocytes in the lumen.[4] He described these traits to be histologically similar to those of Mikulic's disease. As mentioned above, once he discovered these traits in this new disease, he named the disease struma lymphomatosa. This disease emphasized the lymphocyte infiltration and formation of the lymphoid follicles with germinal centers, neither of which had ever been previously reported.[4]

Despite Hashimoto's discovery and publication, the disease was not recognized as distinct from Riedel's thyroiditis, which was a common disease at that time in Europe. Although many other articles were reported and published by other researchers, Hashimoto's struma lymphomatosa was only recognized as an early phase of Riedel's thyroiditis in the early 1900s. It was not until 1931 that the disease was recognized as a disease in its own right, when researchers Allen Graham et al. from Cleveland reported its symptoms and presentation in the same detailed manner as Hashimoto.[4]

In 1956, Drs. Rose and Witebsky were able to demonstrate how immunization of certain rodents with extracts of other rodents' thyroid resembled the disease that Hakaru and other researchers were trying to describe.[4] These doctors were also able to describe anti-thyroglobulin antibodies in blood serum samples from these same animals.[4]

Later in the same year, researchers from the Middlesex Hospital in London conducted human experiments on patients who presented with similar symptoms. They purified anti-thyroglobulin antibody from their serum and were able to conclude that these sick patients had an immunological reaction to human thyroglobulin.[4] From this data, it was proposed that Hashimoto's struma could be an autoimmune disease of the thyroid gland: "Following these discoveries, the concept of organ-specific autoimmune disease was established and HT recognized as one such disease."[4]

Following this recognition, the same researchers from Middlesex Hospital published an article in 1962 in The Lancet that included a portrait of Hakaru Hashimoto.[4] The disease became more well-known from that moment, and Hashimoto's disease started to appear more frequently in textbooks.[122]

Pregnancy

Conception

It is recommended that hypothyroidism be treated with levothyroxine before conception, to prevent adverse effects on the course of the pregnancy and the development of the child.[13] In IVF, embryo transfer is improved when hypothyroidism is treated.[123]

Pregnancy

The Endocrine Society recommends screening in pregnant women who are considered high-risk for thyroid autoimmune disease.[124] Universal screening for thyroid diseases during pregnancy is controversial, however, one study "supports the potential benefit of universal screening".[125] Pregnant women may have antithyroid antibodies (5%–14% of pregnancies[13]), poor thyroid function resulting in hypothyroidism, or both. Each is associated with risks:[13]

Anti-thyroid antibodies in pregnancy

The presence of Thyroid peroxidase antibodies at the outset of pregnancy are associated with a greater risk to the mother of hypothyroidism and thyroid impairment in the first year after delivery.[126] The presence of antibodies is also associated with "a 2 to 4-fold increase in the risk of recurrent miscarriages, and 2 to 3-fold increased risk of preterm birth", however the reason why is unclear. Thyroid peroxidase antibodies are speculated to indicate other autoimmune processes against the placental-fetal unit.[13] Levothyroxine treatment in euthyroid women with thyroid autoimmunity does not significantly impact the relative risk of miscarriage and preterm delivery, or outcomes with live birth. "Therefore, no strong recommendations regarding the therapy in such scenarios could be made, but consideration on a case-by-case basis might be implemented."[13]

Hypothyroidism in pregnancy

Women who have low thyroid function that has not been stabilized are at greater risk of complications for both parent and child. Risks to the mother include gestational hypertension including preeclampsia and eclampsia, gestational diabetes, placental abruption, and postpartum hemorrhage.[13] Risks to the infant include miscarriage, preterm delivery, low birth weight, neonatal respiratory distress, hydrocephalus, hypospadias, fetal death, infant intensive care unit admission, and neurodevelopmental delays (lower child IQ, language delay or global developmental delay).[125][123][13]

Successful pregnancy outcomes are improved when hypothyroidism is treated.[123] Levothyroxine treatment may be considered at lower TSH levels in pregnancy than in standard treatment.[13] Liothyronine does not cross the fetal blood-brain barrier, so liothyronine (T3) only or liothyronine + levothyroxine (T3 + T4) therapy is not indicated in pregnancy.[13]

Close cooperation between the endocrinologist and obstetrician benefits the woman and the infant.[125][127][128]

Immune changes during pregnancy

Hormonal changes and trophoblast expression of key immunomodulatory molecules lead to immunosuppression and fetal tolerance. The main players in the regulation of the immune response are Tregs. Both cell-mediated and humoral immune responses are attenuated, resulting in immune tolerance and suppression of autoimmunity. It has been reported that during pregnancy, levels of thyroid peroxidase and thyroglobulin antibodies decrease.[129]

Postpartum

Thyroid peroxidase antibody testing is recommended for women who have ever been pregnant, regardless of pregnancy outcome. "[P]revious pregnancy plays a major role in the development of autoimmune overt hypothyroidism in premenopausal women, and the number of previous pregnancies should be taken into account when evaluating the risk of hypothyroidism in a young women [sic]."[41]

Postpartum thyroiditis can occur in women with Hashimoto's.[5] In healthy women, Postpartum thyroiditis can occur up to 1 year after delivery. It should be differentiated from Hashimoto's thyroiditis as it is treated differently.[130]

After giving birth, Tregs rapidly decrease, and immune responses are re-established. It may lead to the occurrence or aggravation of autoimmune thyroid disease.[129] In up to 50% of females with thyroid peroxidase antibodies in the early pregnancy, thyroid autoimmunity in the postpartum period exacerbates in the form of postpartum thyroiditis.[131] Higher secretion of IFN-γ and IL-4, and lower plasma cortisol concentration during pregnancy has been reported in females with postpartum thyroiditis than in healthy females. It indicates that weaker immunosuppression during pregnancy could contribute to postpartum thyroid dysfunction.[132]

Fetal microchimerism

Several years after the delivery, the chimeric male cells can be detected in the maternal peripheral blood, thyroid, lung, skin, or lymph nodes. The fetal immune cells in the maternal thyroid gland may become activated and act as a trigger that initiates or exacerbates the autoimmune thyroid disease. In Hashimoto's disease patients, fetal microchimeric cells were detected in the thyroid in significantly higher numbers than in healthy females.[133]

Other animals

Hashimoto's disease is known to occur in chickens, rats, mice, dogs, and marmosets, but Graves' disease does not.[134]

See also

References

  1. ^ a b c d e f "Hashimoto's Disease". National Institute of Diabetes and Digestive and Kidney Diseases. Retrieved 4 December 2024.
  2. ^ a b Noureldine SI, Tufano RP (January 2015). "Association of Hashimoto's thyroiditis and thyroid cancer". Current Opinion in Oncology. 27 (1): 21–25. doi:10.1097/cco.0000000000000150. PMID 25390557. S2CID 32109200.
  3. ^ a b c d e f g h i j k l "Hashimoto's Disease". National Institute of Diabetes and Digestive and Kidney Diseases. May 2014. Archived from the original on 22 August 2016. Retrieved 9 August 2016.
  4. ^ a b c d e f g h i j k Hiromatsu Y, Satoh H, Amino N (January 2013). "Hashimoto's thyroiditis: history and future outlook". Hormones. 12 (1): 12–18. doi:10.1007/BF03401282. PMID 23624127. S2CID 38996783.
  5. ^ a b c d e f g h i j k l m n o p q r s t u v w x y z aa ab ac ad ae af ag ah ai aj ak al am an ao Ramos-Levi AM, Marazuela M (2023). "Thyroiditis". DeGroot's Endocrinology, Basic Science and Clinical Practice (8th ed.). Philadelphia, PA: Elsevier. pp. 1214–1233. ISBN 978-0-323694124.
  6. ^ a b c d e Akamizu T, Amino N, Feingold KR, Anawalt B, Boyce A, Chrousos G, et al. (2000). "Hashimoto's Thyroiditis". In Akamizu T, Amino N (eds.). Endotext. MDText. PMID 25905412. Archived from the original on 24 September 2020. Retrieved 31 January 2021.
  7. ^ "Autoimmune thyroiditis". Autoimmune Registry Inc. Archived from the original on 25 February 2020. Retrieved 15 June 2022.
  8. ^ a b c d e f g Winther KH, Rayman MP, Bonnema SJ, Hegedüs L (March 2020). "Selenium in thyroid disorders - essential knowledge for clinicians". Nature Reviews. Endocrinology. 16 (3): 165–176. doi:10.1038/s41574-019-0311-6. PMID 32001830.
  9. ^ a b c d e Hu X, Chen Y, Shen Y, Tian R, Sheng Y, Que H (2022). "Global prevalence and epidemiological trends of Hashimoto's thyroiditis in adults: A systematic review and meta-analysis". Frontiers in Public Health. 10: 1020709. doi:10.3389/fpubh.2022.1020709. PMC 9608544. PMID 36311599.
  10. ^ a b c d e f g h i j Mincer DL, Jialal I (2022). "Hashimoto Thyroiditis". StatPearls. Treasure Island (FL): StatPearls Publishing. PMID 29083758. Archived from the original on 4 October 2023. Retrieved 23 January 2023.
  11. ^ Shoenfeld Y, Cervera R, Gershwin ME, eds. (2010). Diagnostic Criteria in Autoimmune Diseases. Springer Science & Business Media. p. 216. ISBN 978-1-60327-285-8.
  12. ^ Ralli M, Angeletti D, Fiore M, D'Aguanno V, Lambiase A, Artico M, et al. (October 2020). "Hashimoto's thyroiditis: An update on pathogenic mechanisms, diagnostic protocols, therapeutic strategies, and potential malignant transformation". Autoimmunity Reviews. 19 (10): 102649. doi:10.1016/j.autrev.2020.102649. PMID 32805423.
  13. ^ a b c d e f g h i j k l m n o p q r s t u v w x Klubo-Gwiezdzinska J, Wartofsky L (March 2022). "Hashimoto thyroiditis: an evidence-based guide to etiology, diagnosis and treatment". Polish Archives of Internal Medicine. 132 (3): 16222. doi:10.20452/pamw.16222. PMC 9478900. PMID 35243857.
  14. ^ a b c d Singh S, Clutter WE (2020). The Washington Manual, The Endocrinology - Subspecialty Consult (4th ed.). Philadelphia, PA: Lippincott Williams & Wilkins. pp. 70–76. ISBN 978-1-9751-1333-9.
  15. ^ a b c d Fariduddin MM, Haq N, Bansal N (2024). "Hypothyroid Myopathy". StatPearls. Treasure Island (FL): StatPearls Publishing. PMID 30137798. Retrieved 30 November 2024.
  16. ^ a b c d e Weetman AP (2021). Werner & Ingbar's The Thyroid: A Fundamental and Clinical Text (11th ed.). Philadelphia, PA: Lippincott Williams & Wilkins. pp. 531–541. ISBN 978-1-975112-96-7.
  17. ^ "Hashimoto's disease – Symptoms and causes". Mayo Clinic. Archived from the original on 29 October 2018. Retrieved 5 October 2018.
  18. ^ a b Dyrka K, Obara-Moszyńska M, Niedziela M (2024). "Autoimmune thyroiditis: an update on treatment possibilities". Endokrynologia Polska. 75 (5): 461–472. doi:10.5603/ep.100701. PMID 39475129.
  19. ^ Dunkin MA. "Hashimoto's Thyroiditis: Symptoms, Causes, and Treatments". WebMD. Retrieved 8 January 2025.
  20. ^ a b c d e f g h i j k l m n o Jonklaas J (2023). "Hypothyroidism". DeGroot's Endocrinology: Basic Science and Clinical Practice (8th ed.). Elsevier Health Sciences. pp. 1234–1248. ISBN 978-0-323-69412-4.
  21. ^ a b c d e f g Hegedüs L, Bianco AC, Jonklaas J, Pearce SH, Weetman AP, Perros P (April 2022). "Primary hypothyroidism and quality of life". Nature Reviews. Endocrinology. 18 (4): 230–242. doi:10.1038/s41574-021-00625-8. PMC 8930682. PMID 35042968.
  22. ^ Li J, Huang Q, Sun S, Zhou K, Wang X, Pan K, et al. (November 2024). "Thyroid antibodies in Hashimoto's thyroiditis patients are positively associated with inflammation and multiple symptoms". Scientific Reports. 14 (1): 27902. Bibcode:2024NatSR..1427902L. doi:10.1038/s41598-024-78938-7. PMC 11561229. PMID 39537841.
  23. ^ a b Casto C, Pepe G, Li Pomi A, Corica D, Aversa T, Wasniewska M (February 2021). "Hashimoto's Thyroiditis and Graves' Disease in Genetic Syndromes in Pediatric Age". Genes. 12 (2): 222. doi:10.3390/genes12020222. PMC 7913917. PMID 33557156.
  24. ^ a b c d e Dayan CM, Daniels GH (July 1996). "Chronic autoimmune thyroiditis". The New England Journal of Medicine. 335 (2): 99–107. doi:10.1056/nejm199607113350206. PMID 8649497.
  25. ^ a b c d e Chistiakov DA (March 2005). "Immunogenetics of Hashimoto's thyroiditis". Journal of Autoimmune Diseases. 2 (1): 1. doi:10.1186/1740-2557-2-1. PMC 555850. PMID 15762980.
  26. ^ a b Jacobson EM, Huber A, Tomer Y (2008). "The HLA gene complex in thyroid autoimmunity: from epidemiology to etiology". Journal of Autoimmunity. 30 (1–2): 58–62. doi:10.1016/j.jaut.2007.11.010. PMC 2244911. PMID 18178059.
  27. ^ Tandon N, Zhang L, Weetman AP (May 1991). "HLA associations with Hashimoto's thyroiditis". Clinical Endocrinology. 34 (5): 383–386. doi:10.1111/j.1365-2265.1991.tb00309.x. PMID 1676351. S2CID 28987581.
  28. ^ Bogner U, Badenhoop K, Peters H, Schmieg D, Mayr WR, Usadel KH, et al. (January 1992). "HLA-DR/DQ gene variation in nongoitrous autoimmune thyroiditis at the serological and molecular level". Autoimmunity. 14 (2): 155–158. doi:10.3109/08916939209083135. PMID 1363895.
  29. ^ Zaletel K, Gaberšček S (December 2011). "Hashimoto's Thyroiditis: From Genes to the Disease". Current Genomics. 12 (8): 576–588. doi:10.2174/138920211798120763. PMC 3271310. PMID 22654557.
  30. ^ Tomer Y, Greenberg DA, Barbesino G, Concepcion E, Davies TF (April 2001). "CTLA-4 and not CD28 is a susceptibility gene for thyroid autoantibody production". The Journal of Clinical Endocrinology and Metabolism. 86 (4): 1687–1693. doi:10.1210/jcem.86.4.7372. PMID 11297604.
  31. ^ Ban Y, Davies TF, Greenberg DA, Kissin A, Marder B, Murphy B, et al. (December 2003). "Analysis of the CTLA-4, CD28, and inducible costimulator (ICOS) genes in autoimmune thyroid disease". Genes and Immunity. 4 (8): 586–593. doi:10.1038/sj.gene.6364018. PMID 14647199. S2CID 6920190.
  32. ^ Burn GL, Svensson L, Sanchez-Blanco C, Saini M, Cope AP (December 2011). "Why is PTPN22 a good candidate susceptibility gene for autoimmune disease?". FEBS Letters. 585 (23): 3689–3698. Bibcode:2011FEBSL.585.3689B. doi:10.1016/j.febslet.2011.04.032. PMID 21515266. S2CID 21572847.
  33. ^ Ito C, Watanabe M, Okuda N, Watanabe C, Iwatani Y (August 2006). "Association between the severity of Hashimoto's disease and the functional +874A/T polymorphism in the interferon-gamma gene". Endocrine Journal. 53 (4): 473–478. doi:10.1507/endocrj.k06-015. PMID 16820703.
  34. ^ Nanba T, Watanabe M, Akamizu T, Iwatani Y (March 2008). "The -590CC genotype in the IL4 gene as a strong predictive factor for the development of hypothyroidism in Hashimoto disease". Clinical Chemistry. 54 (3): 621–623. doi:10.1373/clinchem.2007.099739. PMID 18310157.
  35. ^ Yamada H, Watanabe M, Nanba T, Akamizu T, Iwatani Y (March 2008). "The +869T/C polymorphism in the transforming growth factor-beta1 gene is associated with the severity and intractability of autoimmune thyroid disease". Clinical and Experimental Immunology. 151 (3): 379–382. doi:10.1111/j.1365-2249.2007.03575.x. PMC 2276968. PMID 18190611.
  36. ^ Inoue N, Watanabe M, Morita M, Tomizawa R, Akamizu T, Tatsumi K, et al. (December 2010). "Association of functional polymorphisms related to the transcriptional level of FOXP3 with prognosis of autoimmune thyroid diseases". Clinical and Experimental Immunology. 162 (3): 402–406. doi:10.1111/j.1365-2249.2010.04229.x. PMC 3026543. PMID 20942809.
  37. ^ Inoue N, Watanabe M, Nanba T, Wada M, Akamizu T, Iwatani Y (May 2009). "Involvement of functional polymorphisms in the TNFA gene in the pathogenesis of autoimmune thyroid diseases and production of anti-thyrotropin receptor antibody". Clinical and Experimental Immunology. 156 (2): 199–204. doi:10.1111/j.1365-2249.2009.03884.x. PMC 2759465. PMID 19250279.
  38. ^ Hansen PS, Brix TH, Iachine I, Kyvik KO, Hegedüs L (January 2006). "The relative importance of genetic and environmental effects for the early stages of thyroid autoimmunity: a study of healthy Danish twins". European Journal of Endocrinology. 154 (1): 29–38. doi:10.1530/eje.1.02060. PMID 16381988. S2CID 25372591.
  39. ^ McCombe PA, Greer JM, Mackay IR (December 2009). "Sexual dimorphism in autoimmune disease". Current Molecular Medicine. 9 (9): 1058–1079. doi:10.2174/156652409789839116. PMID 19747114.
  40. ^ Invernizzi P, Miozzo M, Selmi C, Persani L, Battezzati PM, Zuin M, et al. (July 2005). "X chromosome monosomy: a common mechanism for autoimmune diseases". Journal of Immunology. 175 (1): 575–578. doi:10.4049/jimmunol.175.1.575. PMID 15972694. S2CID 40557667.
  41. ^ a b Carlé A, Pedersen IB, Knudsen N, Perrild H, Ovesen L, Rasmussen LB, et al. (June 2014). "Development of autoimmune overt hypothyroidism is highly associated with live births and induced abortions but only in premenopausal women". The Journal of Clinical Endocrinology and Metabolism. 99 (6): 2241–2249. doi:10.1210/jc.2013-4474. PMID 24694338.
  42. ^ a b c d e f g Surks MI, Sievert R (December 1995). Wood AJ (ed.). "Drugs and thyroid function". The New England Journal of Medicine. 333 (25): 1688–1694. doi:10.1056/NEJM199512213332507. PMID 7477223.
  43. ^ a b c d e f Rayman MP (February 2019). "Multiple nutritional factors and thyroid disease, with particular reference to autoimmune thyroid disease". The Proceedings of the Nutrition Society. 78 (1): 34–44. doi:10.1017/S0029665118001192. PMID 30208979.
  44. ^ a b Weetman AP, Kahaly GJ (2023). "Graves Disease". DeGroot's Endocrinology (8th ed.). pp. 1178–1193.
  45. ^ Teti C, Panciroli M, Nazzari E, Pesce G, Mariotti S, Olivieri A, et al. (April 2021). "Iodoprophylaxis and thyroid autoimmunity: an update". Immunologic Research. 69 (2): 129–138. doi:10.1007/s12026-021-09192-6. PMC 8106604. PMID 33914231.
  46. ^ Radetti G (2014). "Clinical Aspects of Hashimoto's Thyroiditis". Paediatric Thyroidology. Endocrine Development. Vol. 26. pp. 158–170. doi:10.1159/000363162. ISBN 978-3-318-02720-4. PMID 25231451.
  47. ^ a b c d e "Hashimoto's Disease". National Institute of Diabetes and Digestive and Kidney Diseases. Archived from the original on 8 December 2021. Retrieved 23 January 2023.
  48. ^ Saranac L, Zivanovic S, Bjelakovic B, Stamenkovic H, Novak M, Kamenov B (2011). "Why is the thyroid so prone to autoimmune disease?". Hormone Research in Paediatrics. 75 (3): 157–165. doi:10.1159/000324442. PMID 21346360.
  49. ^ Lambert N, Strebel P, Orenstein W, Icenogle J, Poland GA (June 2015). "Rubella". Lancet. 385 (9984): 2297–2307. doi:10.1016/S0140-6736(14)60539-0. PMC 4514442. PMID 25576992.
  50. ^ Lui DT, Lee CH, Woo YC, Hung IF, Lam KS (June 2024). "Thyroid dysfunction in COVID-19". Nature Reviews. Endocrinology. 20 (6): 336–348. doi:10.1038/s41574-023-00946-w. PMID 38347167.
  51. ^ a b c Ludgate ME, Masetti G, Soares P (September 2024). "The relationship between the gut microbiota and thyroid disorders". Nature Reviews. Endocrinology. 20 (9): 511–525. doi:10.1038/s41574-024-01003-w. PMID 38906998.
  52. ^ a b Berghi NO (August 2017). "Immunological Mechanisms Implicated in the Pathogenesis of Chronic Urticaria and Hashimoto Thyroiditis". Iranian Journal of Allergy, Asthma, and Immunology. 16 (4): 358–366. PMID 28865416. Archived from the original on 19 April 2021. Retrieved 3 December 2020.
  53. ^ Yan YR, Gao XL, Zeng J, Liu Y, Lv QG, Jiang J, et al. (June 2015). "The association between thyroid autoantibodies in serum and abnormal function and structure of the thyroid". The Journal of International Medical Research. 43 (3): 412–423. doi:10.1177/0300060514562487. PMID 25855591.
  54. ^ Teti C, Panciroli M, Nazzari E, Pesce G, Mariotti S, Olivieri A, et al. (April 2021). "Iodoprophylaxis and thyroid autoimmunity: an update". Immunologic Research. 69 (2): 129–138. doi:10.1007/s12026-021-09192-6. PMC 8106604. PMID 33914231.
  55. ^ a b c d e f Maitra A (2014). "The Endocrine System". In Kumar V, Abbas AK, Aster JC (eds.). Robbins and Cotran Pathologic Basis of Disease. Elsevier Health Sciences. pp. 1073–1140. ISBN 978-0-323-29635-9.
  56. ^ Romitti M, Costagliola S (August 2023). "Progress Toward and Challenges Remaining for Thyroid Tissue Regeneration". Endocrinology. 164 (10): bqad136. doi:10.1210/endocr/bqad136. PMC 10516459. PMID 37690118.
  57. ^ Ushakov AV (September 2024). "Ultrasound signs of large segmental thyroid regeneration in Hashimoto's thyroiditis: a case report of two cases". Annals of Thyroid. 9: 5. doi:10.21037/aot-24-17.
  58. ^ Grani G, Carbotta G, Nesca A, D'Alessandri M, Vitale M, Del Sordo M, et al. (June 2015). "A comprehensive score to diagnose Hashimoto's thyroiditis: a proposal". Endocrine. 49 (2): 361–365. doi:10.1007/s12020-014-0441-5. PMID 25280964. S2CID 23026213.
  59. ^ Royal College of Pathologists of Australasia. "Thyroid stimulating hormone". Royal College of Pathologists of Australasia Manual.
  60. ^ Ikegami K, Refetoff S, Van Cauter E, Yoshimura T (October 2019). "Interconnection between circadian clocks and thyroid function". Nature Reviews. Endocrinology. 15 (10): 590–600. doi:10.1038/s41574-019-0237-z. PMC 7288350. PMID 31406343.
  61. ^ Sheehan MT (June 2016). "Biochemical Testing of the Thyroid: TSH is the Best and, Oftentimes, Only Test Needed - A Review for Primary Care". Clinical Medicine & Research. 14 (2): 83–92. doi:10.3121/cmr.2016.1309. PMC 5321289. PMID 27231117.
  62. ^ Sviridonova MA, Fadeyev VV, Sych YP, Melnichenko GA (1 May 2013). "Clinical significance of TSH circadian variability in patients with hypothyroidism". Endocrine Research. 38 (1): 24–31. doi:10.3109/07435800.2012.710696. PMID 22857384.
  63. ^ a b c Van Uytfanghe K, Ehrenkranz J, Halsall D, Hoff K, Loh TP, Spencer CA, et al. (September 2023). "Thyroid Stimulating Hormone and Thyroid Hormones (Triiodothyronine and Thyroxine): An American Thyroid Association-Commissioned Review of Current Clinical and Laboratory Status". Thyroid. 33 (9): 1013–1028. doi:10.1089/thy.2023.0169. PMC 10517335. PMID 37655789.
  64. ^ Royal College of Pathologists of Australasia. "Free T3". Royal College of Pathologists of Australasia Manual.
  65. ^ a b c d e f Welsh KJ, Soldin SJ (December 2016). "DIAGNOSIS OF ENDOCRINE DISEASE: How reliable are free thyroid and total T3 hormone assays?". European Journal of Endocrinology. 175 (6): R255 – R263. doi:10.1530/EJE-16-0193. PMC 5113291. PMID 27737898.
  66. ^ a b Healthdirect Australia (3 February 2023). "Hashimoto's disease". www.healthdirect.gov.au. Retrieved 5 December 2024.
  67. ^ a b Riis KR, Larsen CB, Bonnema SJ (June 2024). "Potential Risks and Benefits of Desiccated Thyroid Extract for the Treatment of Hypothyroidism: A Systematic Review" (PDF). Thyroid. 34 (6): 687–701. doi:10.1089/thy.2023.0649. PMID 38526391.
  68. ^ Wiersinga WM (2016). Endocrinology: Adult and Pediatric. Vol. 2 (7th ed.). pp. 1540–1556.
  69. ^ a b c d e f g h i j k Groenewegen KL, Mooij CF, van Trotsenburg AS (2021). "Persisting symptoms in patients with Hashimoto's disease despite normal thyroid hormone levels: Does thyroid autoimmunity play a role? A systematic review". Journal of Translational Autoimmunity. 4: 100101. doi:10.1016/j.jtauto.2021.100101. PMC 8122172. PMID 34027377.
  70. ^ a b c d McAninch EA, Bianco AC (9 July 2019). "The Swinging Pendulum in Treatment for Hypothyroidism: From (and Toward?) Combination Therapy". Frontiers in Endocrinology. 10: 446. doi:10.3389/fendo.2019.00446. PMC 6629976. PMID 31354624.
  71. ^ Brown DC (1 January 2012). "Chapter 37 - Thyroid hormones, antithyroid drugs". In Bennett PN, Brown MJ, Sharma P (eds.). Clinical Pharmacology (Eleventh ed.). Oxford: Churchill Livingstone. pp. 587–595. doi:10.1016/B978-0-7020-4084-9.00076-8. ISBN 978-0-7020-4084-9. Retrieved 5 December 2024.
  72. ^ Chiu HH, Larrazabal R, Uy AB, Jimeno C (2021). "Weekly Versus Daily Levothyroxine Tablet Replacement in Adults with Hypothyroidism: A Meta-Analysis". Journal of the ASEAN Federation of Endocrine Societies. 36 (2): 156–160. doi:10.15605/jafes.036.02.07. PMC 8666497. PMID 34966199.
  73. ^ Dutta D, Jindal R, Kumar M, Mehta D, Dhall A, Sharma M (March–April 2021). "Efficacy and Safety of Once Weekly Thyroxine as Compared to Daily Thyroxine in Managing Primary Hypothyroidism: A Systematic Review and Meta-Analysis". Indian Journal of Endocrinology and Metabolism. 25 (2): 76–85. doi:10.4103/ijem.IJEM_789_20. PMC 8477739. PMID 34660234.
  74. ^ a b c d "Hashimoto's Thyroiditis". American Thyroid Association. Archived from the original on 23 September 2023. Retrieved 23 January 2023.
  75. ^ a b c d e f g h i j Taylor PN, Medici MM, Hubalewska-Dydejczyk A, Boelaert K (October 2024). "Hypothyroidism". Lancet. 404 (10460): 1347–1364. doi:10.1016/S0140-6736(24)01614-3. PMID 39368843.
  76. ^ a b Aronson JK, ed. (1 January 2006), "Thyroid hormones", Meyler's Side Effects of Drugs: The International Encyclopedia of Adverse Drug Reactions and Interactions (Fifteenth Edition), Amsterdam: Elsevier, pp. 3409–3416, doi:10.1016/B0-44-451005-2/00977-3, ISBN 978-0-444-51005-1, retrieved 5 December 2024
  77. ^ Taylor P, Arooj A, Hanna S, Eligar V, Muhammad Z, Stedman M, et al. (31 October 2023). "Thyroid hormone profiles on non-standard thyroid hormone replacement". Endocrine Abstracts. 94. Bioscientifica. doi:10.1530/endoabs.94.P128.
  78. ^ Saravanan P, Siddique H, Simmons DJ, Greenwood R, Dayan CM (April 2007). "Twenty-four hour hormone profiles of TSH, Free T3 and free T4 in hypothyroid patients on combined T3/T4 therapy". Experimental and Clinical Endocrinology & Diabetes. 115 (4): 261–267. doi:10.1055/s-2007-973071. PMID 17479444.
  79. ^ Dunne C, De Luca F (2014). "Long-Term Follow-Up of a Child with Autoimmune Thyroiditis and Recurrent Hyperthyroidism in the Absence of TSH Receptor Antibodies". Case Reports in Endocrinology. 2014 (1): 749576. doi:10.1155/2014/749576. PMC 4119923. PMID 25114812.
  80. ^ a b Halsall DJ, Oddy S (January 2021). "Clinical and laboratory aspects of 3,3',5'-triiodothyronine (reverse T3)". Annals of Clinical Biochemistry. 58 (1): 29–37. doi:10.1177/0004563220969150. PMID 33040575.
  81. ^ a b Jonklaas J, Razvi S (June 2019). "Reference intervals in the diagnosis of thyroid dysfunction: treating patients not numbers". The Lancet. Diabetes & Endocrinology. 7 (6): 473–483. doi:10.1016/S2213-8587(18)30371-1. PMID 30797750.
  82. ^ a b c Perros P, Van Der Feltz-Cornelis C, Papini E, Nagy EV, Weetman AP, Hegedüs L (April 2023). "The enigma of persistent symptoms in hypothyroid patients treated with levothyroxine: A narrative review". Clinical Endocrinology. 98 (4): 461–468. doi:10.1111/cen.14473. PMID 33783849.
  83. ^ a b c Wiersinga WM (March 2014). "Paradigm shifts in thyroid hormone replacement therapies for hypothyroidism". Nature Reviews. Endocrinology. 10 (3): 164–174. doi:10.1038/nrendo.2013.258. PMID 24419358.
  84. ^ Morris JC, Galton VA (October 2019). "The isolation of thyroxine (T4), the discovery of 3,5,3'-triiodothyronine (T3), and the identification of the deiodinases that generate T3 from T4: An historical review". Endocrine. 66 (1): 3–9. doi:10.1007/s12020-019-01990-1. PMID 31256344.
  85. ^ a b Abdalla SM, Bianco AC (November 2014). "Defending plasma T3 is a biological priority". Clinical Endocrinology. 81 (5): 633–641. doi:10.1111/cen.12538. PMC 4699302. PMID 25040645.
  86. ^ Danzi S, Klein I (March 2012). "Thyroid hormone and the cardiovascular system". The Medical Clinics of North America. Thyroid Disorders and Diseases. 96 (2): 257–268. doi:10.1016/j.mcna.2012.01.006. PMID 22443974.
  87. ^ Knezevic J, Starchl C, Tmava Berisha A, Amrein K (June 2020). "Thyroid-Gut-Axis: How Does the Microbiota Influence Thyroid Function?". Nutrients. 12 (6): 1769. doi:10.3390/nu12061769. PMC 7353203. PMID 32545596.
  88. ^ Ghiya R, Ahmad S (30 April 2019). "SUN-591 Severe Iron-Deficiency Anemia Leading to Hypothyroidism". Journal of the Endocrine Society. 3 (Suppl 1): SUN-591. doi:10.1210/js.2019-SUN-591. PMC 6552785.
  89. ^ Capriello S, Stramazzo I, Bagaglini MF, Brusca N, Virili C, Centanni M (11 October 2022). "The relationship between thyroid disorders and vitamin A.: A narrative minireview". Frontiers in Endocrinology. 13: 968215. doi:10.3389/fendo.2022.968215. PMC 9592814. PMID 36303869.
  90. ^ Strich D, Karavani G, Edri S, Gillis D (July 2016). "TSH enhancement of FT4 to FT3 conversion is age dependent". European Journal of Endocrinology. 175 (1): 49–54. doi:10.1530/EJE-16-0007. PMID 27150496.
  91. ^ Veríssimo D, Reis A, Monteiro M, Dias L (21 August 2020). "When levothyroxine is not enough- combination therapy with liothyronine". Endocrine Abstracts. 70. Bioscientifica. doi:10.1530/endoabs.70.EP451.
  92. ^ McAninch EA, Rajan KB, Miller CH, Bianco AC (August 2018). "Systemic Thyroid Hormone Status During Levothyroxine Therapy In Hypothyroidism: A Systematic Review and Meta-Analysis". The Journal of Clinical Endocrinology and Metabolism. 103 (12): 4533–4542. doi:10.1210/jc.2018-01361. PMC 6226605. PMID 30124904.
  93. ^ a b Chaker L, Razvi S, Bensenor IM, Azizi F, Pearce EN, Peeters RP (May 2022). "Hypothyroidism". Nature Reviews. Disease Primers. 8 (1): 30. doi:10.1038/s41572-022-00357-7. PMC 6619426. PMID 35589725.
  94. ^ a b Guldvog I, Reitsma LC, Johnsen L, Lauzike A, Gibbs C, Carlsen E, et al. (April 2019). "Thyroidectomy Versus Medical Management for Euthyroid Patients With Hashimoto Disease and Persisting Symptoms: A Randomized Trial". Annals of Internal Medicine. 170 (7): 453–464. doi:10.7326/M18-0284. PMID 30856652.
  95. ^ a b Wichman J, Winther KH, Bonnema SJ, Hegedüs L (December 2016). "Selenium Supplementation Significantly Reduces Thyroid Autoantibody Levels in Patients with Chronic Autoimmune Thyroiditis: A Systematic Review and Meta-Analysis". Thyroid. 26 (12): 1681–1692. doi:10.1089/thy.2016.0256. PMID 27702392.
  96. ^ Huwiler VV, Maissen-Abgottspon S, Stanga Z, Mühlebach S, Trepp R, Bally L, et al. (March 2024). "Selenium Supplementation in Patients with Hashimoto Thyroiditis: A Systematic Review and Meta-Analysis of Randomized Clinical Trials". Thyroid. 34 (3): 295–313. doi:10.1089/thy.2023.0556. PMC 10951571. PMID 38243784.
  97. ^ Jiang H, Chen X, Qian X, Shao S (June 2022). "Effects of vitamin D treatment on thyroid function and autoimmunity markers in patients with Hashimoto's thyroiditis-A meta-analysis of randomized controlled trials". Journal of Clinical Pharmacy and Therapeutics. 47 (6): 767–775. doi:10.1111/jcpt.13605. PMC 9302126. PMID 34981556.
  98. ^ a b Jia X, Zhai T, Zhang JA (September 2020). "Metformin reduces autoimmune antibody levels in patients with Hashimoto's thyroiditis: A systematic review and meta-analysis". Autoimmunity. 53 (6): 353–361. doi:10.1080/08916934.2020.1789969. PMID 32741222.
  99. ^ Aksoy DY, Kerimoglu U, Okur H, Canpinar H, Karaağaoğlu E, Yetgin S, et al. (June 2005). "Effects of prophylactic thyroid hormone replacement in euthyroid Hashimoto's thyroiditis". Endocrine Journal. 52 (3): 337–343. doi:10.1507/endocrj.52.337. PMID 16006728.
  100. ^ Padberg S, Heller K, Usadel KH, Schumm-Draeger PM (March 2001). "One-year prophylactic treatment of euthyroid Hashimoto's thyroiditis patients with levothyroxine: is there a benefit?". Thyroid. 11 (3): 249–255. doi:10.1089/105072501750159651. PMID 11327616.
  101. ^ Metro D, Cernaro V, Papa M, Benvenga S (March 2018). "Marked improvement of thyroid function and autoimmunity by Aloe barbadensis miller juice in patients with subclinical hypothyroidism". Journal of Clinical & Translational Endocrinology. 11: 18–25. doi:10.1016/j.jcte.2018.01.003. PMC 5842288. PMID 29527506.
  102. ^ Osowiecka K, Myszkowska-Ryciak J (February 2023). "The Influence of Nutritional Intervention in the Treatment of Hashimoto's Thyroiditis-A Systematic Review". Nutrients. 15 (4): 1041. doi:10.3390/nu15041041. PMC 9962371. PMID 36839399.
  103. ^ a b Szczuko M, Syrenicz A, Szymkowiak K, Przybylska A, Szczuko U, Pobłocki J, et al. (April 2022). "Doubtful Justification of the Gluten-Free Diet in the Course of Hashimoto's Disease". Nutrients. 14 (9): 1727. doi:10.3390/nu14091727. PMC 9101474. PMID 35565695.
  104. ^ a b c d e Larsen D, Singh S, Brito M (November 2022). "Thyroid, Diet, and Alternative Approaches". The Journal of Clinical Endocrinology and Metabolism. 107 (11): 2973–2981. doi:10.1210/clinem/dgac473. PMID 35952387.
  105. ^ Garber M (12 August 2019). "Is there a role for surgery in treating Hashimoto's thyroiditis?". Harvard Health. Retrieved 5 December 2024.
  106. ^ a b Monaco F (2012). Thyroid Diseases. Hoboken: CRC Press. pp. 77–97. ISBN 978-1-4398-6839-3.
  107. ^ Noureldine SI, Tufano RP (January 2015). "Association of Hashimoto's thyroiditis and thyroid cancer". Current Opinion in Oncology. 27 (1): 21–25. doi:10.1097/CCO.0000000000000150. PMID 25390557. S2CID 32109200.
  108. ^ Winter S, Heiling B, Eckardt N, Kloos C, Axer H (October 2023). "Hoffmann's syndrome in the differential work-up of myopathic complaints: a case report". Journal of Medical Case Reports. 17 (1): 473. doi:10.1186/s13256-023-04184-6. PMC 10617199. PMID 37907975.
  109. ^ a b Schmidt M, Voell M, Rahlff I, Dietlein M, Kobe C, Faust M, et al. (July 2008). "Long-term follow-up of antithyroid peroxidase antibodies in patients with chronic autoimmune thyroiditis (Hashimoto's thyroiditis) treated with levothyroxine". Thyroid. 18 (7): 755–760. doi:10.1089/thy.2008.0008. PMID 18631004.
  110. ^ De Luca F, Santucci S, Corica D, Pitrolo E, Romeo M, Aversa T (January 2013). "Hashimoto's thyroiditis in childhood: presentation modes and evolution over time". Italian Journal of Pediatrics. 39 (1): 8. doi:10.1186/1824-7288-39-8. PMC 3567976. PMID 23363471.
  111. ^ Wu G, Zou D, Cai H, Liu Y (June 2016). "Ultrasonography in the diagnosis of Hashimoto's thyroiditis". Frontiers in Bioscience. 21 (5): 1006–1012. doi:10.2741/4437. PMID 27100487.
  112. ^ Natri H, Garcia AR, Buetow KH, Trumble BC, Wilson MA (July 2019). "The Pregnancy Pickle: Evolved Immune Compensation Due to Pregnancy Underlies Sex Differences in Human Diseases". Trends in Genetics. 35 (7): 478–488. doi:10.1016/j.tig.2019.04.008. PMC 6611699. PMID 31200807.
  113. ^ a b Monaco F (2012). Thyroid Diseases. Taylor and Francis. p. 78. ISBN 978-1-4398-6839-3.
  114. ^ a b Khattak RM, Ittermann T, Nauck M, Below H, Völzke H (2016). "Monitoring the prevalence of thyroid disorders in the adult population of Northeast Germany". Population Health Metrics. 14: 39. doi:10.1186/s12963-016-0111-3. PMC 5101821. PMID 27833458.
  115. ^ Katagiri R, Yuan X, Kobayashi S, Sasaki S (10 March 2017). "Effect of excess iodine intake on thyroid diseases in different populations: A systematic review and meta-analyses including observational studies". PLOS ONE. 12 (3): e0173722. Bibcode:2017PLoSO..1273722K. doi:10.1371/journal.pone.0173722. PMC 5345857. PMID 28282437.
  116. ^ a b Biddinger PW (2020). Diagnostic Pathology and Molecular Genetics of the Thyroid: A Comprehensive Guide for Practicing Thyroid Pathology (3rd ed.). Philadelphia, PA: Lippincott Williams & Wilkins. pp. 59–72. ISBN 978-1-4963-9653-2.
  117. ^ "Hashimoto's disease fact sheet". Office on Women's Health, U.S. Department of Health and Human Services, womenshealth.gov (or girlshealth.gov). 16 July 2012. Archived from the original on 2 December 2014. Retrieved 23 November 2014.
  118. ^ a b Vanderpump MP (1 September 2011). "The epidemiology of thyroid disease". British Medical Bulletin. 99 (1): 39–51. doi:10.1093/bmb/ldr030. PMID 21893493.
  119. ^ Boyles S (23 May 2013). "Hypothyroidism Hikes Death Risk in Blacks". MedPage Today.
  120. ^ Hakaru Hashimoto at Whonamedit?
  121. ^ Hashimoto H (1912). "Zur Kenntnis der lymphomatösen Veränderung der Schilddrüse (Struma lymphomatosa)" [Knowledge of lymphomatous changes in the thyroid gland (goiter lymphomatosa)]. Archiv für Klinische Chirurgie (in German). 97: 219–248. NAID 10005555208.
  122. ^ "Google Books Ngram Viewer". books.google.com. Retrieved 1 December 2024.
  123. ^ a b c Gaberšček S, Zaletel K (September 2011). "Thyroid physiology and autoimmunity in pregnancy and after delivery". Expert Review of Clinical Immunology. 7 (5): 697–706, quiz 707. doi:10.1586/eci.11.42. PMID 21895480.
  124. ^ "Endocrine Experts Support Screening for Thyroid Dysfunction in Pregnant Women". Endocrine Society. 26 March 2015. Archived from the original on 8 October 2015. Retrieved 4 October 2015.
  125. ^ a b c Lepoutre T, Debiève F, Gruson D, Daumerie C (1 January 2012). "Reduction of miscarriages through universal screening and treatment of thyroid autoimmune diseases". Gynecologic and Obstetric Investigation. 74 (4): 265–273. doi:10.1159/000343759. PMID 23147711. S2CID 1646888.
  126. ^ Caturegli P, De Remigis A, Rose NR (1 April 2014). "Hashimoto thyroiditis: clinical and diagnostic criteria". Autoimmunity Reviews. Diagnostic criteria in Autoimmune diseases. 13 (4–5): 391–397. doi:10.1016/j.autrev.2014.01.007. PMID 24434360.
  127. ^ Budenhofer BK, Ditsch N, Jeschke U, Gärtner R, Toth B (January 2013). "Thyroid (dys-)function in normal and disturbed pregnancy". Archives of Gynecology and Obstetrics. 287 (1): 1–7. doi:10.1007/s00404-012-2592-z. PMID 23104052. S2CID 24969196. Archived from the original on 23 January 2022. Retrieved 16 January 2022.
  128. ^ Balucan FS, Morshed SA, Davies TF (2013). "Thyroid autoantibodies in pregnancy: their role, regulation and clinical relevance". Journal of Thyroid Research. 2013: 182472. doi:10.1155/2013/182472. PMC 3652173. PMID 23691429.
  129. ^ a b Weetman AP (June 2010). "Immunity, thyroid function and pregnancy: molecular mechanisms". Nature Reviews. Endocrinology. 6 (6): 311–318. doi:10.1038/nrendo.2010.46. PMID 20421883. S2CID 9900120.
  130. ^ Lee SY, Pearce EN (March 2022). "Assessment and treatment of thyroid disorders in pregnancy and the postpartum period". Nature Reviews. Endocrinology. 18 (3): 158–171. doi:10.1038/s41574-021-00604-z. PMC 9020832. PMID 34983968.
  131. ^ Lazarus JH (March 2011). "The continuing saga of postpartum thyroiditis". The Journal of Clinical Endocrinology and Metabolism. 96 (3): 614–616. doi:10.1210/jc.2011-0091. PMID 21378224.
  132. ^ Kokandi AA, Parkes AB, Premawardhana LD, John R, Lazarus JH (March 2003). "Association of postpartum thyroid dysfunction with antepartum hormonal and immunological changes". The Journal of Clinical Endocrinology and Metabolism. 88 (3): 1126–1132. doi:10.1210/jc.2002-021219. PMID 12629095.
  133. ^ Koopmans M, Kremer Hovinga IC, Baelde HJ, Harvey MS, de Heer E, Bruijn JA, et al. (June 2008). "Chimerism occurs in thyroid, lung, skin and lymph nodes of women with sons". Journal of Reproductive Immunology. 78 (1): 68–75. doi:10.1016/j.jri.2008.01.002. PMID 18329105.
  134. ^ McLachlan SM, Alpi K, Rapoport B (December 2011). "Review and hypothesis: does Graves' disease develop in non-human great apes?". Thyroid. 21 (12): 1359–1366. doi:10.1089/thy.2011.0209. PMC 3229821. PMID 22066476.