Erythema multiforme major
| Erythema multiforme major | |
|---|---|
| Other names | Erythema multiforme majus[1] |
![]() | |
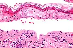
| Micrograph of confluent epidermal necrosis. H&E stain. | |
| Specialty | Dermatology |
In dermatology, erythema multiforme major is a form of rash with skin loss or epidermal detachment.
The term "erythema multiforme majus" is sometimes used to imply a bullous (blistering) presentation.[2]
According to some sources, there are two conditions included on a spectrum of this same disease process:
- Stevens–Johnson syndrome (SJS)
- Toxic epidermal necrolysis (TEN) which described by Alan Lyell and previously called Lyell syndrome[5].
In this view, EM major, SJS and TEN are considered a single condition, distinguished by degree of epidermal detachment.[3][4]
However, a consensus classification separates erythema multiforme minor, erythema multiforme major, and SJS/TEN as three separate entities.[3]
References
- ^ Rapini, Ronald P.; Bolognia, Jean L.; Jorizzo, Joseph L. (2007). Dermatology: 2-Volume Set. St. Louis: Mosby. ISBN 978-1-4160-2999-1.
- ^ Daniel J. Trozak; Dan J. Tennenhouse (1 October 2005). Dermatology skills for primary care: an illustrated guide. Humana Press. pp. 161–. ISBN 978-1-58829-489-0. Archived from the original on 21 June 2013. Retrieved 5 June 2010.
- ^ a b "Erythema Multiforme: eMedicine Emergency Medicine". 2019-02-02. Archived from the original on 2010-08-06.
- ^ Bastuji-Garin S, Rzany B, Stern RS, Shear NH, Naldi L, Roujeau JC (January 1993). "Clinical classification of cases of toxic epidermal necrolysis, Stevens-Johnson syndrome, and erythema multiforme". Arch Dermatol. 129 (1): 92–6. doi:10.1001/archderm.129.1.92. PMID 8420497.
5. Orphanet Journal of Rare Diseases 2010, 5:39 doi:10.1186/1750-1172-5-39
