Endometritis
| Endometritis | |
|---|---|
| Other names | Postpartum endometritis, endomyometritis |
![]() | |
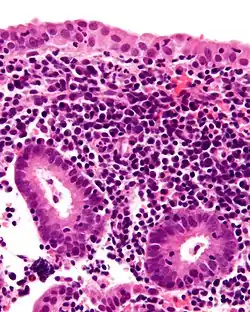
| Micrograph showing a chronic endometritis with the characteristic plasma cells. Scattered neutrophils are also present. H&E stain. | |
| Specialty | Gynaecology, obstetrics |
| Symptoms | Fever, lower abdominal pain, abnormal vaginal bleeding, discharge[1] |
| Types | Acute, chronic[2] |
| Causes | Infectious[2] |
| Risk factors | Abortion, menstruation, childbirth, placement of an IUD, douching[3][2] |
| Treatment | Antibiotics[1] |
| Prognosis | Good with treatment[4] |
| Frequency | 2% (following vaginal delivery), 10% (following scheduled C-section)[5] |
Endometritis is inflammation of the inner lining of the uterus (endometrium).[6] Signs and symptoms may include fever, lower abdominal pain, and abnormal vaginal bleeding or discharge.[1][4] It is the most common cause of infection after childbirth.[7][1] It is also part of spectrum of diseases that make up pelvic inflammatory disease.[8]
Endometritis is divided into acute and chronic forms.[2] The acute form is usually from an infection that passes through the cervix as a result of an abortion, during menstruation, following childbirth, or as a result of douching or placement of an IUD.[2][3] Risk factors for endometritis following delivery include Caesarean section and prolonged rupture of membranes.[1] Chronic endometritis is more common after menopause.[2] The diagnosis may be confirmed by endometrial biopsy.[3] Ultrasound may be useful to verify that there is no retained tissue within the uterus.[4]
Treatment is usually with antibiotics.[1] Recommendations for treatment of endometritis following delivery includes clindamycin with gentamicin.[9] Testing for and treating gonorrhea and chlamydia in those at risk is also recommended.[10] Chronic disease may be treated with doxycycline.[10] Outcomes with treatment are generally good.[4]
Rates of endometritis are about 2% following vaginal delivery, 10% following scheduled C-section, and 30% with rupture of membranes before C-section if preventive antibiotics are not used.[5] The term "endomyometritis" may be used when inflammation of the endometrium and the myometrium is present.[11] The condition is also relatively common in other animals such as cows.[12]
Signs and symptoms
The primary clinical manifestations of endometritis include fever and uterine pain with tenderness upon palpation. When the physician moves the uterus during examination, patients typically experience increased discomfort. Post-delivery vaginal discharge (lochia) sometimes presents with an unpleasant smell, though this is not always observed. Fevers in affected patients commonly fall between 38°C and 40°C (100.4°F to 104°F), with most cases trending toward the lower end of this range. Symptom onset typically occurs 2-3 days following childbirth, although when fever appears within hours after delivery alongside low blood pressure, it strongly suggests an infection with β-hemolytic streptococci.[13]
More complicated and uncommon presentations may involve significant fever, general unwellness, sensitivity in the abdominal region, slowed intestinal activity, reduced blood pressure, and sepsis. It should also be noted that as many as 10% of uncomplicated postpartum endometritis cases will feature clinically insignificant bacteremia. Thus, positive blood cultures do not necessarily indicate systemic infection.[13]
The abdominal discomfort is typically concentrated in the lower middle abdomen. Blood tests commonly reveal an elevated white blood cell count, though it's important to note that such elevations can occur normally during labor and the early postpartum period without indicating infection.[13]
Types
Acute endometritis
There is very uncertain evidence supporting the use of prophylactic antibiotics to prevent endometritis after manual removal of the placenta in vaginal birth.[14] Histologically, neutrophilic infiltration of the endometrial tissue is present during acute endometritis. The clinical presentation is typically high fever and purulent vaginal discharge. Menstruation after acute endometritis is excessive and, in uncomplicated cases, can resolve after 2 weeks of clindamycin and gentamicin IV antibiotic treatment.
In certain populations, it has been associated with Mycoplasma genitalium and pelvic inflammatory disease.[15][16]
Chronic endometritis
Chronic endometritis is characterized by the presence of plasma cells in the stroma. Lymphocytes, eosinophils, and even lymphoid follicles may be seen, but in the absence of plasma cells, are not enough to warrant a histologic diagnosis. It may be seen in up to 10% of all endometrial biopsies performed for irregular bleeding. The most common organisms are Chlamydia trachomatis (chlamydia), Neisseria gonorrhoeae (gonorrhea), Streptococcus agalactiae (Group B Streptococcus), Mycoplasma hominis, tuberculosis, and various viruses. Most of these agents are capable of causing chronic pelvic inflammatory disease (PID). Patients with chronic endometritis may have an underlying cancer of the cervix or endometrium (although an infectious cause is more common). Antibiotic therapy is curative in most cases (depending on the underlying cause), with fairly rapid alleviation of symptoms after only 2 to 3 days. Women with chronic endometritis are also at a higher risk of pregnancy loss, and treatment for this improves future pregnancy outcomes.[17][18]
Chronic granulomatous endometritis is usually caused by tuberculosis. The granulomas are small, sparse, and without caseation. The granulomas take up to 2 weeks to develop, and since the endometrium is shed every 4 weeks, the granulomas are poorly formed.
In human medicine, pyometra (also a veterinary condition of significance) is regarded as a form of chronic endometritis seen in elderly women, causing stenosis of the cervical os and accumulation of discharges and infection. Symptom in chronic endometritis is blood-stained discharge, but in pyometra, the patient complains of lower abdominal pain.
Pyometra
Pyometra describes an accumulation of pus in the uterine cavity.[19] For pyometra to develop, there must be both an infection and a blockage of the cervix. Signs and symptoms include lower abdominal pain (suprapubic), rigors, fever, and the discharge of pus on introduction of a sound into the uterus. Pyometra is treated with antibiotics, according to culture and sensitivity.[20]
See also
References
- ^ a b c d e f "Cover of Hacker & Moore's Essentials of Obstetrics and Gynecology". Hacker & Moore's essentials of obstetrics and gynecology (6 ed.). Elsevier Canada. 2015. pp. 276–290. ISBN 9781455775583.
- ^ a b c d e f Dallenbach-Hellweg, Gisela; Schmidt, Dietmar; Dallenbach, Friederike (2010). Atlas of Endometrial Histopathology. Springer Science & Business Media. p. 135. ISBN 9783642015410.
- ^ a b c Lobo, Rogerio A.; Gershenson, David M.; Lentz, Gretchen M.; Valea, Fidel A. (2016). Comprehensive Gynecology E-Book. Elsevier Health Sciences. p. 548. ISBN 9780323430036.
- ^ a b c d Ferri, Fred F. (2014). Ferri's Clinical Advisor 2015 E-Book: 5 Books in 1. Elsevier Health Sciences. p. 423. ISBN 9780323084307.
- ^ a b Gabbe, Steven G. (2012). Obstetrics: Normal and Problem Pregnancies. Elsevier Health Sciences. p. 1146. ISBN 978-1437719352.
- ^ Crum, Christopher P.; Lee, Kenneth R.; Nucci, Marisa R. (2011). Diagnostic Gynecologic and Obstetric Pathology E-Book. Elsevier Health Sciences. p. 430. ISBN 978-1455708956.
- ^ Arora, Mala; Walavalkar, Rajalaxmi (2013). World Clinics: Obstetrics & Gynecology: Postpartum Hemorrhage. JP Medical Ltd. p. 237. ISBN 9789350904244.
- ^ "Sexually Transmitted Diseases & Pelvic Infections". Current diagnosis & treatment : obstetrics & gynecology (11 ed.). McGraw-Hill Education. 2012. p. Chapter 43. ISBN 978-0071638562.
- ^ Mackeen, AD; Packard, RE; Ota, E; Speer, L (2 February 2015). "Antibiotic regimens for postpartum endometritis". The Cochrane Database of Systematic Reviews. 2015 (2): CD001067. doi:10.1002/14651858.CD001067.pub3. PMC 7050613. PMID 25922861.
- ^ a b "8". Williams Gynecology (3 ed.). McGraw Hill Professional. 2016. ISBN 9780071849081.
- ^ Hubert Guedj; Baggish, Michael S.; Valle, Rafael Heliodoro (2007). Hysteroscopy: visual perspectives of uterine anatomy, physiology, and pathology. Hagerstwon, MD: Lippincott Williams & Wilkins. p. 488. ISBN 978-0-7817-5532-0.
- ^ Noakes, David E. (2009). Arthur's Veterinary Reproduction and Obstetrics E-Book. Elsevier Health Sciences. p. 411. ISBN 9780702039904.
- ^ a b c Poggi S.H. (2019). Postpartum hemorrhage & the abnormal puerperium. DeCherney A.H., & Nathan L, & Laufer N, & Roman A.S.(Eds.), CURRENT Diagnosis & Treatment: Obstetrics & Gynecology, 12e. McGraw-Hill Education.
- ^ Kongwattanakul, Kiattisak; Pattanittum, Porjai; Jongjakapun, Apiwat; Sothornwit, Jen; Ngamjarus, Chetta; Jampathong, Nampet; Waidee, Termtem; Lumbiganon, Pisake (2024-10-30). "Prophylactic antibiotics for manual removal of retained placenta in vaginal birth". The Cochrane Database of Systematic Reviews. 2024 (10): CD004904. doi:10.1002/14651858.CD004904.pub4. ISSN 1469-493X. PMC 11523221. PMID 39474979.
- ^ Cohen CR, Manhart LE, Bukusi EA, et al. (March 2002). "Association between Mycoplasma genitalium and acute endometritis". Lancet. 359 (9308): 765–6. doi:10.1016/S0140-6736(02)07848-0. PMID 11888591. S2CID 36191700.
- ^ Ljubin-Sternak, Suncanica; Mestrovic, Tomislav (2014). "Review: Chlamydia trachonmatis and Genital Mycoplasmias: Pathogens with an Impact on Human Reproductive Health". Journal of Pathogens. 2014 (183167): 3. doi:10.1155/2014/183167. PMC 4295611. PMID 25614838.
- ^ Buzzaccarini G, Vitagliano A, Andrisani A, Santarsiero CM, Cicinelli R, Nardelli C, Ambrosini G, Cicinelli E (December 2020). "Chronic endometritis and altered embryo implantation: a unified pathophysiological theory from a literature systematic review". Journal of Assisted Reproduction and Genetics. 37 (12): 2897–2911. doi:10.1007/s10815-020-01955-8. PMC 7714873. PMID 33025403.
- ^ Rimmer MP, Fishwick K, Henderson I, Chinn D, Al Wattar BH, Quenby S (December 2020). "Quantifying CD138+ cells in the endometrium to assess chronic endometritis in women at risk of recurrent pregnancy loss: A prospective cohort study and rapid review" (PDF). The Journal of Obstetrics and Gynaecology Research. 47 (2): 689–697. doi:10.1111/jog.14585. PMID 33274569. S2CID 227283325.
- ^ "Pyometra". American College of Veterinary Surgeons. 2004. Archived from the original on 2006-02-21. Retrieved 2006-12-14.
- ^ Höglund, Odd Viking; Lövebrant, Johanna; Olsson, Ulf; Höglund, Katja (17 November 2016). "Blood pressure and heart rate during ovariohysterectomy in pyometra and control dogs: a preliminary investigation". Acta Veterinaria Scandinavica. 58 (1): 80. doi:10.1186/s13028-016-0263-y. PMC 5112883. PMID 27855712.
External links
Categpry:Maternal health
