Duodenum

Duodenum
Image of the gastrointestinal tract, with the duodenum highlighted.
Diagram of the human duodenum with major parts labelled
Details
Pronunciation/ˌdjəˈdnəm/, US also /djuˈɒdɪnəm/[2]
PrecursorForegut (1st and 2nd parts), midgut (3rd and 4th part)
Part ofSmall intestine
SystemDigestive system
ArteryInferior pancreaticoduodenal artery, superior pancreaticoduodenal artery
VeinPancreaticoduodenal veins
NerveCeliac ganglia, vagus[1]
Identifiers
Latinduodenum
MeSHD004386
TA98A05.6.02.001
TA22944
FMA7206
Anatomical terminology

The duodenum is the first section of the small intestine[3] in most vertebrates, including mammals, reptiles, and birds. In mammals, it may be the principal site for iron absorption. The duodenum precedes the jejunum and ileum and is the shortest part of the small intestine.

In humans, the duodenum is a hollow jointed tube about 25–38 centimetres (10–15 inches) long connecting the stomach to the jejunum, the middle part of the small intestine.[4][5] It begins with the duodenal bulb, and ends at the duodenojejunal flexure marked by the suspensory muscle of duodenum.[6] The duodenum can be divided into four parts: the first (superior), the second (descending), the third (transverse) and the fourth (ascending) parts.[5]

Overview

The duodenum is the first section of the small intestine in most higher vertebrates, including mammals, reptiles, and birds. In fish, the divisions of the small intestine are not as clear, and the terms anterior intestine or proximal intestine may be used instead of duodenum.[7] In mammals the duodenum may be the principal site for iron absorption.[8]

In humans, the duodenum is a C-shaped hollow jointed tube, 25–38 centimetres (10–15 inches) in length, lying adjacent to the stomach (and connecting it to the small intestine). It is divided anatomically into four sections. The first part lies within the peritoneum but its other parts are retroperitoneal.[9]: 273 

Parts

The first or superior part of the duodenum is a continuation from the pylorus to the transpyloric plane. It is superior (above) to the rest of the segments, at the vertebral level of L1. The duodenal bulb, about 2 cm (34 in) long, is the first part of the duodenum and is slightly dilated. The duodenal bulb is a remnant of the mesoduodenum, a mesentery that suspends the organ from the posterior abdominal wall in fetal life.[10] The first part of the duodenum is mobile, and connected to the liver by the hepatoduodenal ligament of the lesser omentum. The first part of the duodenum ends at the corner, the superior duodenal flexure.[9]: 273 

Relations:

The second or descending part of the duodenum begins at the superior duodenal flexure. It goes inferior to the lower border of vertebral body L3, before making a sharp turn medially into the inferior duodenal flexure, the end of the descending part.[9]: 274 

The pancreatic duct and common bile duct enter the descending duodenum, through the major duodenal papilla. The second part of the duodenum also contains the minor duodenal papilla, the entrance for the accessory pancreatic duct. The junction between the embryological foregut and midgut lies just below the major duodenal papilla.[9]: 274 

The third, horizontal or inferior part of the duodenum is 10~12 cm in length. It begins at the inferior duodenal flexure and passes transversely to the left, passing in front of the inferior vena cava, abdominal aorta and the vertebral column. The superior mesenteric artery and vein are anterior to the third part of the duodenum.[9]: 274  This part may be compressed between the aorta and SMA causing superior mesenteric artery syndrome.

The fourth or ascending part of the duodenum passes upward, joining with the jejunum at the duodenojejunal flexure. The fourth part of the duodenum is at the vertebral level L3, and may pass directly on top, or slightly to the left, of the aorta.[9]: 274 

Blood supply

The first (superior) part of the duodenum, right after the pylorus of the stomach, is not supplied by the arcades. Instead, it is supplied by the supraduodenal artery and posterior superior pancreaticoduodenal artery, along with some branches of the right gastroepiploic artery and the anterior superior pancreaticoduodenal artery. In many people part of the first centimeter of the duodenum is also supplied by branches of the right gastric artery.[11]

The remaining three parts (descending, horizontal, and ascending) of the duodenum are supplied by two arcades (rings) of arteries, one anterior (in front) of the duodenum and pancreas and one posterior to (behind) them. Each arcade is made of two anastomosed (connected) arteries. The superior artery of each arcade comes from the superior pancreaticoduodenal artery, which arises from the celiac artery via the gastroduodenal artery. The inferior artery of each arcade comes from the inferior pancreaticoduodenal artery, a branch of the superior mesenteric artery. The anterior arcade is formed by the anterior superior pancreaticoduodenal artery and the anterior inferior pancreaticoduodenal artery; the posterior arcade is formed by the posterior superior pancreaticoduodenal artery and the posterior inferior pancreaticoduodenal artery.[11][12]

Vessels from the arcades supply the muscularis externa (muscular layer) before forming a plexus (network of blood vessels) in the submucosa (a layer of connective tissue) called the submucosal plexus. Vessels continue from the submucosal plexus through the muscularis mucosae (another thin muscular layer) before forming another plexus under the epithelium of the villi, the layer where nutrients are absorbed. These vessels entering the duodenum from the arcades are sometimes called vasae rectae or arteriae rectae.[11]

The venous drainage of the duodenum mainly follows the arteries, ultimately draining into the portal system. The venous arcades are usually superficial to the arterial arcades. The anterior superior pancreaticoduodenal vein drains into the right gastroepiploic vein, as do the veins of the lower first part of the duodenum and the pylorus (subpyloric veins). The upper first part of the duodenum is drained by suprapyloric veins, which can drain into the portal vein or the posterior superior pancreaticoduodenal vein, which drains into the portal vein. The inferior veins of the arcades drain into the superior mesenteric, inferior mesenteric, splenic, or first jejunal vein.[11]

Embryologically, the duodenum arises from both the foregut and midgut, constituting the boundary between the two. However, the "midgut" is defined surgically as the parts of the intestine supplied by the superior mesenteric artery. Since the duodenum is supplied both by the celiac artery and the superior mesenteric artery, these two definitions are similar but not exactly the same.[11]

Lymphatic drainage

The lymphatic vessels follow the arteries in a retrograde fashion. The anterior lymphatic vessels drain into the pancreatoduodenal lymph nodes located along the superior and inferior pancreatoduodenal arteries and then into the pyloric lymph nodes (along the gastroduodenal artery). The posterior lymphatic vessels pass posterior to the head of the pancreas and drain into the superior mesenteric lymph nodes. Efferent lymphatic vessels from the duodenal lymph nodes ultimately pass into the celiac lymph nodes.

Histology

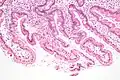
Under microscopy, the duodenum has a villous mucosa. This is distinct from the mucosa of the pylorus, which directly joins the duodenum. Like other structures of the gastrointestinal tract, the duodenum has a mucosa, submucosa, muscularis externa, and adventitia. Glands line the duodenum, known as Brunner's glands, which secrete mucus and bicarbonate in order to neutralise stomach acids. These are distinct glands not found in the ileum or jejunum, the other parts of the small intestine.[13]: 274–275 

Variation

The duodenum's close anatomical association with the pancreas creates differences in function based on the position and orientation of the organs. The congenital abnormality, annular pancreas, causes a portion of the pancreas to encircle the duodenum. In an extramural annular pancreas, the pancreatic duct encircles the duodenum which results in gastrointestinal obstruction. An intramural annular pancreas is characterized by pancreatic tissue that is fused with the duodenal wall, causing duodenal ulceration.[14]

Gene and protein expression

About 20,000 protein coding genes are expressed in human cells and 70% of these genes are expressed in the normal duodenum.[15][16] Some 300 of these genes are more specifically expressed in the duodenum with very few genes expressed only in the duodenum. The corresponding specific proteins are expressed in the duodenal mucosa, and many of these are also expressed in the small intestine, such as alanine aminopeptidase, a digestive enzyme, angiotensin-converting enzyme, involved in controlling blood pressure, and RBP2, a protein involved in the uptake of vitamin A.[17]

Function

The duodenum is largely responsible for the breakdown of food in the small intestine, using enzymes. The duodenum also regulates the rate of emptying of the stomach via hormonal pathways. Secretin and cholecystokinin are released from cells in the duodenal epithelium in response to acidic and fatty stimuli present there when the pylorus opens and emits gastric chyme into the duodenum for further digestion. These cause the liver and gallbladder to release bile, and the pancreas to release bicarbonate and digestive enzymes such as trypsin, lipase and amylase into the duodenum as they are needed.[18]

The duodenum is a critical contributor to the regulation of food intake[19] and glycemic control.[20] As the first part of the small intestine, the duodenum is the initial site of nutrient absorption in the gastrointestinal tract. The duodenum senses nutrient intake and composition, and signals to the liver, pancreas, adipose tissue and brain[21] through the direct and indirect[22] release of several key hormones and signaling molecules, including the incretin peptides Glucose-dependent insulinotropic polypeptide (GIP) and Glucagon-like peptide-1 (GLP-1),[22] as well as Cholecystokinin (CCK) and Secretin.  The duodenum also signals to the brain directly via vagal afferents enabling neural control over food intake and glycemia.[23]  Intestinal secretion of GIP and GLP-1 stimulates glucose-dependent insulin secretion from pancreatic beta-cells, known as the incretin effect.[24] Incretin peptides, principally GLP-1 and GIP, regulate islet hormone secretion, glucose concentrations, lipid metabolism, gut motility, appetite and body weight, and immune function.[25]

The villi of the duodenum have a leafy-looking appearance, which is a histologically identifiable structure. Brunner's glands, which secrete mucus, are only found in the duodenum. The duodenum wall consists of a very thin layer of cells that form the muscularis mucosae.

Clinical significance

Ulceration

Ulcers of the duodenum commonly occur because of infection by the bacteria Helicobacter pylori. These bacteria, through a number of mechanisms, erode the protective mucosa of the duodenum, predisposing it to damage from gastric acids. The first part of the duodenum is the most common location of ulcers since it is where the acidic chyme meets the duodenal mucosa before mixing with the alkaline secretions of the duodenum.[26] Duodenal ulcers may cause recurrent abdominal pain and dyspepsia, and are often investigated using a urea breath test to test for the bacteria, and endoscopy to confirm ulceration and take a biopsy. If managed, these are often managed through antibiotics that aim to eradicate the bacteria, and proton-pump inhibitors and antacids to reduce the gastric acidity.[27]

Celiac disease

The British Society of Gastroenterology guidelines specify that a duodenal biopsy is required for the diagnosis of adult celiac disease. The biopsy is ideally performed at a moment when the patient is on a gluten-containing diet.[28]

Cancer

Duodenal cancer is a cancer in the first section of the small intestine. Cancer of the duodenum is relatively rare compared to stomach cancer and colorectal cancer; malignant tumors in the duodenum constitute only around 0.3% of all the gastrointestinal tract tumors but around half of cancerous tissues that develop in the small intestine.[29] Its histology is often observed to be adenocarcinoma, meaning that the cancerous tissue arises from glandular cells in the epithelial tissue lining the duodenum.[30]

Obesity and diabetes

A western diet induces duodenal mucosal hyperplasia and dysfunction that underlie insulin resistance, type 2 diabetes and obesity.[31][32] Diet-induced duodenal mucosal hyperplasia consists of increased mucosal mass,[33] increased villus length,[31][34][35][36] decreased crypt density,[31] proliferation of enteroendocrine cells,[37] increased enterocyte mass,[38] and an accumulation of lipid droplets in the mucosa.[39][40] Diet induced duodenal dysfunction includes increased duodenal nutrient absorption,[34][41][42][43] altered duodenal hormone secretion,[31][37] and altered intestinal vagal afferent neuronal function.[44]

Inflammation

Inflammation of the duodenum is referred to as duodenitis. There are multiple known causes.[45] Celiac disease and inflammatory bowel disease are two of the known causes.[46]

Etymology

The name duodenum is Medieval Latin, short for intestīnum duodēnum digitōrum, meaning "intestine of twelve finger-widths (in length)", genitive of duodēnī, "twelve each", (related to duodecim "twelve"). Coined by Gerard of Cremona (d. 1187) in his Latin translation of "Canon Avicennae", "اثنا عشر" itself a loan-translation of Greek dodekadaktylon (δωδεκάδάκτυλον), literally "twelve fingers long". The intestine part was so called by the Greek physician Herophilus (c. 335–280 BCE) for its length, about equal to the breadth of 12 fingers.[47]

Many languages use calques for this word. For example, German Zwölffingerdarm, Dutch Twaalfvingerige darm, Turkish Oniki parmak bağırsağı, and Mandarin Chinese 十二指肠 shí'èr zhǐ cháng.

Additional images

See also

  • Pancreas
  • Choledochoduodenostomy - a surgical procedure to create a connection between the common bile duct (CBD) and an alternative portion of the duodenum.

References

  1. ^ Nosek, Thomas M. "Section 6/6ch2/s6ch2_30". Essentials of Human Physiology. Archived from the original on 2016-03-24.
  2. ^ Jones, Daniel (2011). Roach, Peter; Setter, Jane; Esling, John (eds.). Cambridge English Pronouncing Dictionary (18th ed.). Cambridge University Press. ISBN 978-0-521-15255-6.
  3. ^ "NCI Dictionary of Cancer Terms". National Cancer Institute. Retrieved 2022-06-07. The first part of the small intestine. It connects to the stomach. The duodenum helps to further digest food coming from the stomach. It absorbs nutrients (vitamins, minerals, carbohydrates, fats, proteins) and water from food so they can be used by the body.
  4. ^ "Duodenum: MedlinePlus Medical Encyclopedia". MedlinePlus. Retrieved 2022-06-07. It is located between the stomach and the middle part of the small intestine. After foods mix with stomach acid, they move into the duodenum, where they mix with bile from the gallbladder and digestive juices from the pancreas.
  5. ^ a b Nolan, D. J. (2002). "Radiology of the Duodenum". Radiological Imaging of the Small Intestine. Medical Radiology. Berlin, Heidelberg: Springer Berlin Heidelberg. pp. 247–259. doi:10.1007/978-3-642-56231-0_6. ISBN 978-3-642-62993-8. ISSN 0942-5373. duodenum is a C-shaped hollow organ forming an incomplete circle around the head of the pancreas. ...it is normally examined as part of the upper gastrointestinal tract.
  6. ^ van Gijn J; Gijselhart JP (2011). "Treitz and his ligament". Ned. Tijdschr. Geneeskd. 155 (8): A2879. PMID 21557825.
  7. ^ Guillaume, Jean; Praxis Publishing; Sadasivam Kaushik; Pierre Bergot; Robert Metailler (2001). Nutrition and Feeding of Fish and Crustaceans. Springer. p. 31. ISBN 978-1-85233-241-9. Retrieved 2009-01-09.
  8. ^ Latunde-Dada GO; Van der Westhuizen J; Vulpe CD; et al. (2002). "Molecular and functional roles of duodenal cytochrome B (Dcytb) in iron metabolism". Blood Cells Mol. Dis. 29 (3): 356–60. doi:10.1006/bcmd.2002.0574. PMID 12547225.
  9. ^ a b c d e f Drake, Richard L.; Vogl, Wayne; Tibbitts, Adam W.M. Mitchell; illustrations by Richard; Richardson, Paul (2005). Gray's anatomy for students. Philadelphia: Elsevier/Churchill Livingstone. ISBN 978-0-8089-2306-0.
  10. ^ Singh, Inderbir; GP Pal (2012). "13". Human Embryology (9 ed.). Delhi: Macmillan Publishers India. p. 163. ISBN 978-93-5059-122-2.
  11. ^ a b c d e Androulakis, John; Colborn, Gene L.; Skandalakis, Panagiotis N.; Skandalakis, Lee J.; Skandalakis, John E. (2000-02-01). "Embryologic and Anatomic Basis of Duodenal Surgery". Surgical Clinics of North America. 80 (1): 171–199. doi:10.1016/S0039-6109(05)70401-1. ISSN 0039-6109.
  12. ^ Aasen, S.; Lundin, K. E. A. (2013), Hamm, Bernd; Ros, Pablo R. (eds.), "Stomach Duodenum Normal Anatomy, Function and Congenital Anomalies", Abdominal Imaging, Berlin, Heidelberg: Springer, pp. 367–382, doi:10.1007/978-3-642-13327-5_17, ISBN 978-3-642-13327-5, retrieved 2025-03-09
  13. ^ Deakin, Barbara Young; et al. (2006). Wheater's functional histology : a text and colour atlas (5th ed.). [Edinburgh?]: Churchill Livingstone/Elsevier. ISBN 978-0-443-06850-8.
  14. ^ Borghei, Peyman; Sokhandon, Farnoosh; Shirkhoda, Ali; Morgan, Desiree E. (January 2013). "Anomalies, Anatomic Variants, and Sources of Diagnostic Pitfalls in Pancreatic Imaging". Radiology. 266 (1): 28–36. doi:10.1148/radiol.12112469. ISSN 0033-8419. PMID 23264525.
  15. ^ "The human proteome in duodenum - The Human Protein Atlas". www.proteinatlas.org. Retrieved 2017-09-26.
  16. ^ Uhlén, Mathias; Fagerberg, Linn; Hallström, Björn M.; Lindskog, Cecilia; Oksvold, Per; Mardinoglu, Adil; Sivertsson, Åsa; Kampf, Caroline; Sjöstedt, Evelina (2015-01-23). "Tissue-based map of the human proteome". Science. 347 (6220): 1260419. doi:10.1126/science.1260419. ISSN 0036-8075. PMID 25613900. S2CID 802377.
  17. ^ Gremel, Gabriela; Wanders, Alkwin; Cedernaes, Jonathan; Fagerberg, Linn; Hallström, Björn; Edlund, Karolina; Sjöstedt, Evelina; Uhlén, Mathias; Pontén, Fredrik (2015-01-01). "The human gastrointestinal tract-specific transcriptome and proteome as defined by RNA sequencing and antibody-based profiling". Journal of Gastroenterology. 50 (1): 46–57. doi:10.1007/s00535-014-0958-7. ISSN 0944-1174. PMID 24789573. S2CID 21302849.
  18. ^ Chandra, Rashmi; Liddle, Rodger A. (September 2014). "Recent advances in the regulation of pancreatic secretion". Current Opinion in Gastroenterology. 30 (5): 490–494. doi:10.1097/MOG.0000000000000099. ISSN 0267-1379. PMC 4229368. PMID 25003603.
  19. ^ Woodward, Orla R. M.; Gribble, Fiona M.; Reimann, Frank; Lewis, Jo E. (2022). "Gut peptide regulation of food intake – evidence for the modulation of hedonic feeding". The Journal of Physiology. 600 (5): 1053–1078. doi:10.1113/JP280581. ISSN 1469-7793. PMID 34152020.
  20. ^ Drucker, Daniel J. (2006-03-01). "The biology of incretin hormones". Cell Metabolism. 3 (3): 153–165. doi:10.1016/j.cmet.2006.01.004. ISSN 1550-4131. PMID 16517403.
  21. ^ Bany Bakar, Rula; Reimann, Frank; Gribble, Fiona M. (December 2023). "The intestine as an endocrine organ and the role of gut hormones in metabolic regulation". Nature Reviews Gastroenterology & Hepatology. 20 (12): 784–796. doi:10.1038/s41575-023-00830-y. ISSN 1759-5053. PMID 37626258.
  22. ^ a b Hansen, Lene; Holst, Jens J (2002-12-31). "The effects of duodenal peptides on glucagon-like peptide-1 secretion from the ileum: A duodeno–ileal loop?". Regulatory Peptides. 110 (1): 39–45. doi:10.1016/S0167-0115(02)00157-X. ISSN 0167-0115. PMID 12468108.
  23. ^ Thorens, Bernard; Larsen, Philip Just (July 2004). "Gut-derived signaling molecules and vagal afferents in the control of glucose and energy homeostasis". Current Opinion in Clinical Nutrition & Metabolic Care. 7 (4): 471–478. doi:10.1097/01.mco.0000134368.91900.84. ISSN 1363-1950. PMID 15192452.
  24. ^ Nauck, Michael A.; Meier, Juris J. (February 2018). "Incretin hormones: Their role in health and disease". Diabetes, Obesity and Metabolism. 20 (S1): 5–21. doi:10.1111/dom.13129. ISSN 1462-8902. PMID 29364588.
  25. ^ Campbell, Jonathan E.; Drucker, Daniel J. (2013-06-04). "Pharmacology, physiology, and mechanisms of incretin hormone action". Cell Metabolism. 17 (6): 819–837. doi:10.1016/j.cmet.2013.04.008. ISSN 1932-7420. PMID 23684623.
  26. ^ Smith, Margaret E. The Digestive System.
  27. ^ Colledge, Nicki R.; Walker, Brian R.; Ralston, Stuart H., eds. (2010). Davidson's principles and practice of medicine (21st ed.). Edinburgh: Churchill Livingstone/Elsevier. pp. 871–874. ISBN 978-0-7020-3085-7.
  28. ^ Ludvigsson, J. F.; Bai, J. C.; Biagi, F.; Card, T. R.; Ciacci, C.; Ciclitira, P. J.; Green, P. H. R.; Hadjivassiliou, M.; Holdoway, A.; van Heel, D. A.; Kaukinen, K.; Leffler, D. A.; Leonard, J. N.; Lundin, K. E. A.; McGough, N.; Davidson, M.; Murray, J. A.; Swift, G. L.; Walker, M. M.; Zingone, F.; Sanders, D. S. (2014). "Diagnosis and management of adult coeliac disease: Guidelines from the British Society of Gastroenterology". Gut. 63 (8): 1210–1228. doi:10.1136/gutjnl-2013-306578. ISSN 0017-5749. PMC 4112432. PMID 24917550.
  29. ^ Fagniez, Pierre-Louis; Rotman, Nelly (2001). Malignant tumors of the duodenum. Zuckschwerdt.
  30. ^ "Definition of adenocarcinoma - NCI Dictionnary of Cancer Terms". National Cancer Institute. Retrieved 12 July 2024.
  31. ^ a b c d Aliluev, Alexandra; Tritschler, Sophie; Sterr, Michael; Oppenländer, Lena; Hinterdobler, Julia; Greisle, Tobias; Irmler, Martin; Beckers, Johannes; Sun, Na; Walch, Axel; Stemmer, Kerstin; Kindt, Alida; Krumsiek, Jan; Tschöp, Matthias H.; Luecken, Malte D. (2021-09-22). "Diet-induced alteration of intestinal stem cell function underlies obesity and prediabetes in mice". Nature Metabolism. 3 (9): 1202–1216. doi:10.1038/s42255-021-00458-9. ISSN 2522-5812. PMC 8458097. PMID 34552271.
  32. ^ Clara, Rosmarie; Schumacher, Manuel; Ramachandran, Deepti; Fedele, Shahana; Krieger, Jean-Philippe; Langhans, Wolfgang; Mansouri, Abdelhak (January 2017). "Metabolic Adaptation of the Small Intestine to Short- and Medium-Term High-Fat Diet Exposure: INTESTINAL METABOLIC ADAPTATION TO HFD". Journal of Cellular Physiology. 232 (1): 167–175. doi:10.1002/jcp.25402. PMID 27061934.
  33. ^ Hvid, Henning; Jensen, Stina Rikke; Witgen, Brent M.; Fledelius, Christian; Damgaard, Jesper; Pyke, Charles; Rasmussen, Thomas Bovbjerg (2016). "Diabetic Phenotype in the Small Intestine of Zucker Diabetic Fatty Rats". Digestion. 94 (4): 199–214. doi:10.1159/000453107. ISSN 0012-2823. PMID 27931035.
  34. ^ a b Taylor, Samuel R.; Ramsamooj, Shakti; Liang, Roger J.; Katti, Alyna; Pozovskiy, Rita; Vasan, Neil; Hwang, Seo-Kyoung; Nahiyaan, Navid; Francoeur, Nancy J.; Schatoff, Emma M.; Johnson, Jared L.; Shah, Manish A.; Dannenberg, Andrew J.; Sebra, Robert P.; Dow, Lukas E. (2021-09-09). "Dietary fructose improves intestinal cell survival and nutrient absorption". Nature. 597 (7875): 263–267. doi:10.1038/s41586-021-03827-2. ISSN 0028-0836. PMC 8686685. PMID 34408323.
  35. ^ Dailey, Megan J. (September 2014). "Nutrient-induced intestinal adaption and its effect in obesity". Physiology & Behavior. 136: 74–78. doi:10.1016/j.physbeh.2014.03.026. PMC 4182169. PMID 24704111.
  36. ^ Sagher, F. A.; Dodge, J. A.; Johnston, C. F.; Shaw, C.; Buchanan, K. D.; Carr, K. E. (1991). "Rat small intestinal morphology and tissue regulatory peptides: effects of high dietary fat". British Journal of Nutrition. 65 (1): 21–28. doi:10.1079/BJN19910062. ISSN 0007-1145. PMID 1705145.
  37. ^ a b Gniuli, D.; Calcagno, A.; Dalla Libera, L.; Calvani, R.; Leccesi, L.; Caristo, M. E.; Vettor, R.; Castagneto, M.; Ghirlanda, G.; Mingrone, G. (October 2010). "High-fat feeding stimulates endocrine, glucose-dependent insulinotropic polypeptide (GIP)-expressing cell hyperplasia in the duodenum of Wistar rats". Diabetologia. 53 (10): 2233–2240. doi:10.1007/s00125-010-1830-9. ISSN 0012-186X. PMID 20585935.
  38. ^ Verdam, Froukje J.; Greve, Jan Willem M.; Roosta, Sedigheh; van Eijk, Hans; Bouvy, Nicole; Buurman, Wim A.; Rensen, Sander S. (2011-02-01). "Small Intestinal Alterations in Severely Obese Hyperglycemic Subjects". The Journal of Clinical Endocrinology & Metabolism. 96 (2): E379 – E383. doi:10.1210/jc.2010-1333. ISSN 0021-972X. PMID 21084402.
  39. ^ Sferra, Roberta; Pompili, Simona; Cappariello, Alfredo; Gaudio, Eugenio; Latella, Giovanni; Vetuschi, Antonella (2021-07-06). "Prolonged Chronic Consumption of a High Fat with Sucrose Diet Alters the Morphology of the Small Intestine". International Journal of Molecular Sciences. 22 (14): 7280. doi:10.3390/ijms22147280. ISSN 1422-0067. PMC 8303301. PMID 34298894.
  40. ^ D’Aquila, Theresa; Zembroski, Alyssa S.; Buhman, Kimberly K. (2019-03-05). "Diet Induced Obesity Alters Intestinal Cytoplasmic Lipid Droplet Morphology and Proteome in the Postprandial Response to Dietary Fat". Frontiers in Physiology. 10: 180. doi:10.3389/fphys.2019.00180. ISSN 1664-042X. PMC 6413465. PMID 30890954.
  41. ^ Dyer, J.; Wood, I. S.; Palejwala, A.; Ellis, A.; Shirazi-Beechey, S. P. (2002-02-01). "Expression of monosaccharide transporters in intestine of diabetic humans". American Journal of Physiology. Gastrointestinal and Liver Physiology. 282 (2): G241 – G248. doi:10.1152/ajpgi.00310.2001. ISSN 0193-1857.
  42. ^ Fiorentino, Teresa Vanessa; Suraci, Evelina; Arcidiacono, Gaetano Paride; Cimellaro, Antonio; Mignogna, Chiara; Presta, Ivan; Andreozzi, Francesco; Hribal, Marta Letizia; Perticone, Francesco; Donato, Giuseppe; Luzza, Francesco; Sesti, Giorgio (2017-11-01). "Duodenal Sodium/Glucose Cotransporter 1 Expression Under Fasting Conditions Is Associated With Postload Hyperglycemia". The Journal of Clinical Endocrinology & Metabolism. 102 (11): 3979–3989. doi:10.1210/jc.2017-00348. ISSN 0021-972X.
  43. ^ Fiorentino, Teresa Vanessa; De Vito, Francesca; Suraci, Evelina; Marasco, Raffaella; Hribal, Marta Letizia; Luzza, Francesco; Sesti, Giorgio (March 2023). "Obesity and overweight are linked to increased sodium-glucose cotransporter 1 and glucose transporter 5 levels in duodenum". Obesity. 31 (3): 724–731. doi:10.1002/oby.23653. ISSN 1930-7381.
  44. ^ de Lartigue, Guillaume; Barbier de la Serre, Claire; Espero, Elvis; Lee, Jennifer; Raybould, Helen E. (2012-03-07). Gaetani, Silvana (ed.). "Leptin Resistance in Vagal Afferent Neurons Inhibits Cholecystokinin Signaling and Satiation in Diet Induced Obese Rats". PLOS ONE. 7 (3): e32967. doi:10.1371/journal.pone.0032967. ISSN 1932-6203. PMC 3296757. PMID 22412960.
  45. ^ Serra S, Jani PA (2006). "An approach to duodenal biopsies". J. Clin. Pathol. 59 (11): 1133–50. doi:10.1136/jcp.2005.031260. PMC 1860495. PMID 16679353.
  46. ^ Alper, Arik; Hardee, Steven; Rojas-velasquez, Danilo; Escalera, Sandra; Morotti, Raffaella A; Pashankar, Dinesh S. (February 2016). "Prevalence, clinical, endoscopic and pathological features of duodenitis in children". Journal of Pediatric Gastroenterology and Nutrition. 62 (2): 314–316. doi:10.1097/MPG.0000000000000942. ISSN 0277-2116. PMC 4724230. PMID 26252915.
  47. ^ "duodenum - Origin and meaning of duodenum by Online Etymology Dictionary". www.etymonline.com.