Clear cell papillary renal cell carcinoma

Clear cell papillary renal cell tumour
Other namesClear cell tubulopapillary renal cell carcinoma
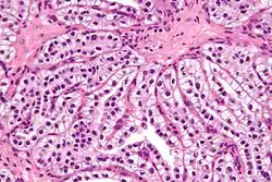
Micrograph of a clear cell papillary renal cell tumour showing the characteristic apically located nuclei. H&E stain.
SpecialtyOncology. nephrology

Clear cell papillary renal cell tumour (CCPRCT) is a rare subtype of renal cell carcinoma (RCC) that has microscopic morphologic features of papillary renal cell carcinoma and clear cell renal cell carcinoma, yet is pathologically distinct based on molecular changes and immunohistochemistry.[1]

Pathology

CCPRCT classically has apical nuclei, i.e. the nucleus is adjacent to the luminal aspect.[2] In most glandular structures the nuclei are usually basally located, i.e. in the cytoplasm adjacent to the basement membrane.

They typically stain with CK7 with 'cuplike' staining for CAIX, and do not stain with TFE3 and AMACR.[1]

See also

References

  1. ^ a b Rohan, SM.; Xiao, Y.; Liang, Y.; Dudas, ME.; Al-Ahmadie, HA.; Fine, SW.; Gopalan, A.; Reuter, VE.; Rosenblum, MK.; et al. (September 2011). "Clear-cell papillary renal cell carcinoma: molecular and immunohistochemical analysis with emphasis on the von Hippel-Lindau gene and hypoxia-inducible factor pathway-related proteins". Mod Pathol. 24 (9): 1207–20. doi:10.1038/modpathol.2011.80. PMID 21602815.
  2. ^ Bing, Z.; Tomaszewski, JE. (2011). "Case Report: Clear Cell Papillary Renal Cell Carcinoma in the Bilateral Native Kidneys after 2 Years of Renal Transplantation: Report of a Case and Review of the Literature". Case Reports in Transplantation. 2011: 1. doi:10.1155/2011/387645. PMC 3504274. PMID 23198258.