Breech birth

Breech birth
Drawing of a frank breech from 1754 by William Smellie
SpecialtyObstetrics, midwifery

A breech birth is the birth of a baby delivered buttocks- or feet-first rather than in the typical head-first orientation.[1] Around 3–5% of pregnant women at term (37–40 weeks pregnant) have a breech baby.[2] Due to their higher than average rate of possible complications for the baby, breech births are generally considered higher risk.[3] Breech births also occur in many other mammals such as dogs and horses, see veterinary obstetrics.

Most babies in the breech position are delivered via caesarean section because it is seen as safer than being born vaginally.[2] Doctors and midwives in the developing world often lack many of the skills required to safely assist women giving birth to a breech baby vaginally.[2] Also, delivering all breech babies by caesarean section in developing countries is difficult to implement as there are not always resources available to provide this service.[4]

Cause

With regard to the fetal presentation during pregnancy, three periods have been distinguished.[5]

During the first period, which lasts until the 24th gestational week, the incidence of a longitudinal lie increases, with equal proportions of breech or cephalic presentations from this lie. This period is characterized by frequent changes of presentations. The fetuses in breech presentation during this period have the same probability for breech and cephalic presentation at delivery.

During the second period, lasting from the 25th to the 35th gestational week, the incidence of cephalic presentation increases, with a proportional decrease of breech presentation. The second period is characterized by a higher than random probability that the fetal presentation during this period will also be present at the time of delivery. The increase of this probability is gradual and identical for breech and cephalic presentations during this period.

In the third period, from the 36th gestational week onward, the incidence of cephalic and breech presentations remain stable, i.e. breech presentation around 3–4% and cephalic presentation approximately 95%. In the general population, incidence of breech presentation at preterm corresponds to the incidence of breech presentation when birth occurs.[6][7][8][9][10][11][12]

A breech presentation at delivery occurs when the fetus does not turn to a cephalic presentation.[13] This failure to change presentation can result from endogenous and exogenous factors. Endogenous factors involve fetal inability to adequately move, whereas exogenous factors refer to insufficient intrauterine space available for fetal movements.[14]

The incidence of breech presentation is affected by both maternal and fetal diseases and medical conditions. When these factors are present, the probability of breech presentation is between 4% and 50%.[15][16][17]

Rates in various medical conditions

Also, women with previous caesarean deliveries have a risk of breech presentation at term twice that of women with previous vaginal deliveries.[18]

The highest possible probability of breech presentation of 50% indicates that breech presentation is a consequence of random filling of the intrauterine space, with the same probability of breech and cephalic presentation in a longitudinally elongated uterus.[16]

Types

Types of breech depend on how the baby's legs are lying.[13]

  • A frank breech (otherwise known as an extended breech) is where the baby's legs are up next to its abdomen, with its knees straight and its feet next to its ears. This is the most common type of breech.[19]
  • A complete breech (or flexed breech) is when the baby appears as though it is sitting crossed-legged with its legs bent at the hips and knees.[19]
  • A footling breech is when one or both of the baby's feet are born first instead of the pelvis.[13] This is more common in babies born prematurely or before their due date.[20]
  • A kneeling breech is when the baby is born knees first.[21]

In addition to the above, breech births in which the sacrum is the fetal denominator can be classified by the position of a fetus.[22] Thus sacro-anterior, sacro-transverse and sacro-posterior positions all exist but left sacro-anterior is the most common presentation.[22] Sacro-anterior indicates an easier delivery compared to other forms.

Complications

Umbilical cord prolapse may occur, particularly in the complete, footling, or kneeling breech.[23] This is caused by the lowermost parts of the baby not completely filling the space of the dilated cervix.[23] When the waters break the amniotic sac, it is possible for the umbilical cord to drop down and become compressed.[23] This complication severely diminishes oxygen flow to the baby, so the baby needs to be delivered immediately so that he or she can breathe. In these circumstances a caesarean section[24] is likely to be recommended. If there is a delay in delivery, the brain can be damaged. Among full-term, head-down babies, cord prolapse is quite rare, occurring in 0.4 percent. Among frank breech babies the incidence is 0.5 percent,[23] among complete breeches 5 percent,[23] and among footling breeches 15 percent.[23]

Head entrapment is caused by the failure of the fetal head to negotiate the maternal midpelvis. At full term, the fetal bitrochanteric diameter (the distance between the outer points of the hips) is about the same as the biparietal diameter (the transverse diameter of the skull)—in simplest terms, the size of the hips is the same as the size of the head. The relatively larger buttocks dilate the cervix as effectively as the head does in the typical head-down presentation. In contrast, the relative head size of a preterm baby is greater than the fetal buttocks. If the baby is preterm, it may be possible for the baby's body to emerge while the cervix has not dilated enough for the head to emerge.

Because the umbilical cord—the baby's oxygen supply—is significantly compressed while the head is in the pelvis during a breech birth, it is important that the delivery of the aftercoming fetal head not be delayed. If the arm is extended alongside the head, delivery will not occur. If this occurs, the Løvset manoeuvre may be employed, or the arm may be manually brought to a position in front of the chest.[25] The Løvset manoeuvre involves rotating the fetal body by holding the fetal pelvis. Twisting the body such that an arm trails behind the shoulder, it will tend to cross down over the face to a position where it can be reached by the obstetrician's finger, and brought to a position below the head. A similar rotation in the opposite direction is made to deliver the other arm. In order to present the smallest diameter (9.5 cm) to the pelvis, the baby's head must be flexed (chin to chest). If the head is in a deflexed position, the risk of entrapment is increased. Uterine contractions and maternal muscle tone encourage the head to flex.

Oxygen deprivation may occur from either cord prolapse or prolonged compression of the cord during birth, as in head entrapment. If oxygen deprivation is prolonged, it may cause permanent neurological damage (for instance, cerebral palsy) or death. It has been suggested that a fast vaginal delivery would mean the risk of stopping baby's oxygen supply is reduced. However, there is not enough research to show this and a quick delivery might cause more harm to the baby than a conservative approach to the birth.[26]

Injury to the brain and skull may occur due to the rapid passage of the baby's head through the mother's pelvis. This causes rapid decompression of the baby's head. In contrast, a baby going through labor in the head-down position usually experiences gradual molding (temporary reshaping of the skull) over the course of a few hours. This sudden compression and decompression in breech birth may cause no problems at all, but it can injure the brain. This injury is more likely in preterm babies. The fetal head may be controlled by a special two-handed grip called the Mauriceau–Smellie–Veit maneuver or the elective application of forceps. This will be of value in controlling the rate of delivery of the head and reducing decompression. Related to potential head trauma, researchers have identified a relationship between breech birth and autism.[27]

Squeezing the baby's abdomen can damage internal organs. Positioning the baby incorrectly while using forceps to deliver the after coming head can damage the spine or spinal cord. It is important for the birth attendant to be knowledgeable, skilled, and experienced with all variations of breech birth.

Factors influencing safety

  • Birth attendant's skill (and experience with breech birth) – The skill of the doctor or midwife and the number of breech births previously assisted is of crucial importance. Many of the dangers in vaginal birth for breech babies come from mistakes made by birth attendants. With the majority of breech babies being delivered by cesarean section, there is more risk that birth attendants will lose their skills in delivering breech babies and therefore increase the risk of harm to the baby during vaginal delivery.[2][28]
  • Type of breech presentation – the frank breech has the most favorable outcomes in a vaginal birth, with many studies suggesting no difference in outcome compared to head-down babies.[29] (Some studies, however, find that planned caesarean sections for all breech babies improve outcome. The difference may rest in part on the skill of the doctors who delivered babies in different studies.) Complete breech presentation is the next most favorable position, but these babies sometimes shift and become footling breeches during labour. Footling and kneeling breeches have a higher risk of cord prolapse and head entrapment.[28]
  • Parity – Parity refers to the number of times a woman has given birth before. If a woman has given birth vaginally, her pelvis has "proven" it is big enough to allow a baby of that baby's size to pass through it. However, a head-down baby's head often molds (shifts its shape to fit the maternal pelvis) and so may present a smaller diameter than the same-size baby born breech.
  • Fetal size in relation to maternal pelvic size – If the mother's pelvis is roomy and the baby is not large, this is favorable for vaginal breech delivery. However, prenatal estimates of the size of the baby and the size of the pelvis are unreliable.[28]
  • Hyperextension of the fetal head – this can be evaluated with ultrasound. Less than 5% of breech babies have their heads in the "star-gazing" position, the face looking straight upwards and the back of the head resting against the back of the neck. Caesarean delivery is absolutely necessary because vaginal birth with the baby's head in this position confers a high risk of spinal cord trauma and death.[28]
  • Maturity of the baby – Premature babies appear to be at higher risk of complications if delivered vaginally than if delivered by caesarean section.[28]
  • Progress of labor – A spontaneous, normally progressing, straightforward labor requiring no intervention is a favorable sign.[28]
  • Second twins – If a first twin is born head down and the second twin is breech, the chances are good that the second twin can have a safe breech birth.[30]

Management

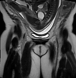
Breech birth position seen on MRI

As in labour with a baby in a normal head-down position, uterine contractions typically occur at regular intervals and gradually the cervix begins to thin and open.[31] In the more common breech presentations, the baby's bottom (rather than feet or knees) is what is first to descend through the maternal pelvis and emerge from the vagina.[23]

At the beginning of labour, the baby is generally in an oblique position, facing either the right or left side. The baby's bottom is the same size in the term baby as the baby's head. Descent is thus as for the presenting fetal head and delay in descent is a cardinal sign of possible problems with the delivery of the head.

In order to begin the birth, a descent of the podalic pole along with compaction and internal rotation needs to occur. This happens when the mother's pelvic floor muscles cause the baby to turn so that it can be born with one hip directly in front of the other. At this point, the baby is facing one of the mother's inner thighs. Then, the shoulders follow the same path as the hips did. At this time the baby usually turns to face the mother's back. Next occurs external rotation, which is when the shoulders emerge as the baby's head enters the maternal pelvis. The combination of maternal muscle tone and uterine contractions causes the baby's head to flex, chin to chest. Then the back of the baby's head emerges and finally the face.

Due to the increased pressure during labour and birth, it is normal for the baby's leading hip to be bruised and genitalia to be swollen. Babies who assumed the frank breech position in utero may continue to hold their legs in this position for some days after birth.[32]

Caesarean or vaginal delivery

When a baby is born bottom first there is more risk that the birth will not be straightforward and that the baby could be harmed.[3] For example, when the baby's head passes through the mother's pelvis the umbilical cord can be compressed which prevents delivery of oxygenated blood to the baby. Due to this and other risks, babies in breech position are often born by a planned caesarean section in developed countries.[2]

Caesarean section reduces the risk of harm or death for the baby if the baby is in breech position but does increase the risk of harm to the mother compared with a vaginal delivery.[2] It is best if the baby is in a head-down position so that they can be born vaginally with less risk of harm to both mother and baby. The next section is looking at external cephalic version (ECV), which is a method that can help the baby turn from a breech position to a head-down position.

Vaginal birth of a breech baby has its risks but caesarean sections are not always available or possible, a mother might arrive in the hospital at a late stage of her labour or may choose not to have a caesarean section. In these cases, it is important that the clinical skills needed to deliver breech babies are not lost so that mothers and babies are as safe as possible.[2] Compared with developed countries, planned caesarean sections have not produced as good results in developing countries – it is suggested that this is due to more breech vaginal deliveries being performed by experienced, skilled practitioners in these settings.[4]

Twin breech

Twin breech (vertex and non-vertex twins)[33]

In twin pregnancies, it is very common for one or both babies to be in the breech position. Most often twin babies do not have the chance to turn around because they are born prematurely. If both babies are in the breech position and the mother has gone into labour early, a cesarean section may be the best option. About 30–40% of twin pregnancies result in only one baby being in the breech position. If this is the case, the babies can be born vaginally. After the first baby who is not in the breech position is delivered, the baby who is presented in the breech position may turn itself around, if this does not happen another procedure may performed called the breech extraction. The breech extraction is the procedure that involves the obstetrician grabbing the second twin's feet and pulling him/her into the birth canal. This will help with delivering the second twin vaginally. However, if the second twin is larger than the first, complications with delivering the second twin vaginally may arise and a cesarean section should be offered. At times, the first twin (the twin closest to the birth canal) can be in the breech position with the second twin being in the cephalic position (vertical). When this occurs, risks of complications are higher than normal. In particular, a serious complication is known as Locked twins. This is when both babies interlock their chins during labour. When this happens an urgent cesarean section is recommended.

Turning the baby

Turning the baby, technically known as external cephalic version (ECV), is when the baby is turned by gently pressing the mother's abdomen to push the baby from a bottom first position, to a head first position. In some circumstances, it may be necessary to press with more force. [3] ECV does not always work, but it does improve the mother's chances of giving birth to her baby vaginally and avoiding a cesarean section. The World Health Organisation recommends that women should have a planned cesarean section only if an ECV has been tried and did not work.[4]

Women who have an ECV when they are 36–40 weeks pregnant are more likely to have a vaginal delivery and less likely to have a cesarean section than those who do not have an ECV.[26] Turning the baby before this time makes a head first birth more likely but ECV before the due date can increase the risk of early or premature birth which can cause problems to the baby.[3]

There are treatments that can be used which might affect the success of an ECV. Drugs called beta-stimulant tocolytics help the woman's muscles to relax so that the pressure during the ECV does not have to be so great. Giving the woman these drugs before the ECV improves the chances of her having a vaginal delivery because the baby is more likely to turn and stay head down.[34] Other treatments such as using sound, pain relief drugs such as epidural, increasing the fluid around the baby and increasing the amount of fluids to the woman before the ECV could all effect its success but there is not enough research to make this clear.[34]

Mechanism of Labor in Breech Presentation

In a breech delivery, the process involves a sequential progression of movements for the buttocks, shoulders, and head to facilitate the baby's passage through the birth canal. Here's a breakdown of each stage:[35]


A. Buttocks

  1. Engagement:
    • The buttocks engage in the oblique diameter of the pelvic inlet.
    • The bitrochanteric diameter (approximately 10 cm) leads during this phase.
  2. Descent:
    • The buttocks descend until the anterior buttock reaches the pelvic floor.
  3. Internal Rotation:
    • The anterior buttock rotates to align behind the symphysis pubis.
  4. Further Descent and Lateral Flexion:
    • The anterior hip passes under the symphysis pubis.
    • This is followed by the posterior hip, enabling the delivery of the trunk and lower limbs.
  5. Restitution:
    • After delivery, the buttocks return to their original oblique position.

B. Shoulders

  1. Engagement:
    • The shoulders engage with the bisacromial diameter (approximately 12 cm) aligning in the same oblique diameter as the buttocks.
  2. Descent and Internal Rotation:
    • The shoulders rotate into the anteroposterior diameter of the pelvic outlet.
    • Simultaneously, the fetal trunk externally rotates.
  3. Delivery:
    • The posterior shoulder delivers first, followed by the anterior shoulder as the trunk flexes.
  4. Restitution and External Rotation:
    • The shoulders rotate back to realign the fetal trunk in a dorsoanterior position.

C. Head

  1. Engagement:
    • The fetal head engages in either the opposite oblique or transverse diameter.
    • The suboccipitofrontal diameter (approximately 10 cm) leads this phase.
  2. Descent with Flexion:
    • As the head descends, flexion intensifies.
  3. Internal Rotation:
    • The occiput rotates anteriorly, positioning itself behind the symphysis pubis.
  4. Descent and Flexion for Delivery:
    • The subocciput hinges beneath the symphysis pubis.
    • Delivery of the head occurs through flexion, with the chin, mouth, nose, forehead, and occiput emerging sequentially.
  5. Expulsion:
    • The final expulsion of the head depends on maternal bearing-down efforts rather than uterine contractions.

Notable cases

See also

References

  1. ^ "Breech birth: MedlinePlus Medical Encyclopedia". medlineplus.gov. Retrieved 2020-10-29.
  2. ^ a b c d e f g Hofmeyr, GJ; Hannah, M; Lawrie, TA (21 July 2015). "Planned caesarean section for term breech delivery". The Cochrane Database of Systematic Reviews. 7 (7): CD000166. doi:10.1002/14651858.CD000166.pub2. PMC 6505736. PMID 26196961.
  3. ^ a b c d Hutton, EK; Hofmeyr, GJ; Dowswell, T (29 July 2015). "External cephalic version for breech presentation before term". The Cochrane Database of Systematic Reviews. 2015 (7): CD000084. doi:10.1002/14651858.CD000084.pub3. PMC 9188447. PMID 26222245.
  4. ^ a b c Conde-Agudelo, A. "Planned caesarean section for term breech delivery: RHL commentary (last revised: 8 September 2003)". The WHO Reproductive Health Library. Geneva: World Health Organization. Archived from the original on March 1, 2016. Retrieved 19 February 2016.
  5. ^ "Your baby in the birth canal: MedlinePlus Medical Encyclopedia". medlineplus.gov. Retrieved 2020-10-29.
  6. ^ Miller EC, Kouam L (1981). "Frequency of breech presentation during pregnancy and on full term". Zentralbl Gynakol. 103: 105–109.
  7. ^ Hill L (2008). "Prevalence of Breech Presentation by Gestational Age". American Journal of Perinatology. 7 (1): 92–93. doi:10.1055/s-2007-999455. PMID 2403797. S2CID 39533622.
  8. ^ Hughey MJ (1985). "Fetal position during pregnancy". Am J Obstet Gynecol. 153 (8): 885–886. doi:10.1016/s0002-9378(85)80276-3. PMID 3907357. S2CID 5831270.
  9. ^ Sørensen, T; Hasch, E; Lange, AP (1979). "Fetal presentation during pregnancy". Lancet. 2 (8140): 477. doi:10.1016/s0140-6736(79)91536-8. PMID 89542. S2CID 13263722.
  10. ^ Tadmor OP, Rabinowitz R, Alon L, Mostoslavky V, Aboulafia Y. Can breech presentation at birth be predicted from ultrasound examination during the second or third trimester?" Int J Gynaecol Obstet 1994;46:11–14.
  11. ^ Boos, R; Hendrik, HJ; Schmidt, W (1987). "Behavior of fetal position in the second half of pregnancy in labor with breech and vertex presentations". Geburtshilfe Frauenheilkd. 47 (5): 341–345. doi:10.1055/s-2008-1035833. PMID 3301520. S2CID 71614194.
  12. ^ Witkop, CT; Zhang, J; Sun, W; Troendle, J (2008). "Natural history of fetal position during pregnancy and risk of nonvertex delivery". Obstet Gynecol. 111 (4): 875–880. doi:10.1097/aog.0b013e318168576d. PMID 18378746. S2CID 23118359.
  13. ^ a b c "Breech - series—Types of breech presentation: MedlinePlus Medical Encyclopedia". medlineplus.gov. Retrieved 2020-10-29.
  14. ^ Sekulić S, Zarkov M, Slankamenac P, Bozić K, Vejnović T, Novakov-Mikić A (2009). "Decreased expression of the righting reflex and locomotor movements in breech-presenting newborns in the first days of life". Early Human Development. 85 (4): 263–6. doi:10.1016/j.earlhumdev.2008.11.001. PMID 19028029.
  15. ^ Braun FH, Jones KL, Smith DW (1975). "Breech presentation as an indicator of fetal abnormality". J Pediatr. 86 (3): 419–21. doi:10.1016/s0022-3476(75)80977-2. PMID 1113232.
  16. ^ a b Sekulić SR, Mikov A, Petrović DS (2010). "Probability of breech presentation and its significance". J Matern Fetal Neonatal Med. 23 (10): 1160–4. doi:10.3109/14767051003677996. PMID 20230320. S2CID 5984573.
  17. ^ a b Sekulić SR, Petrović DS, Runić R, Williams M, Vejnović TR. Does a probability of breech presentation of more than 50% exist among diseases and medical conditions? Twin Res Hum Genet. 2007; 10:649–54.
  18. ^ Vendittelli F., Rivière O., Crenn-Hébert C., Rozan M. A., Maria B., Jacquetin B. (2008). "Is a breech presentation at term more frequent in women with a history of cesarean delivery?". American Journal of Obstetrics and Gynecology. 198 (5): 521.e1–6. doi:10.1016/j.ajog.2007.11.009. PMID 18241817.{{cite journal}}: CS1 maint: multiple names: authors list (link)
  19. ^ a b "Understanding fetal presentation before birth". Mayo Clinic. Retrieved 2020-10-29.
  20. ^ Tidy, C. "Breech Presentations (last revised 11/03/2013)". Retrieved 2 March 2016.
  21. ^ Ottawa, Hospital (July 5, 2021). "Vaginal Breech Birth Plan". www.ottawahospital.on.ca.
  22. ^ a b Konar, Hiralal (2014). Dc dutta's textbook of obstetrics (7th ed.). [S.l.]: Mcgraw-Hill. p. 376. ISBN 978-93-5152-067-2.
  23. ^ a b c d e f g Payne, J. "Prolapsed Cord. Pregnancy complications from prolapsed cord". Patient info. Retrieved 22 April 2016.
  24. ^ "Umbilical Cord Prolapse" (PDF). Royal College of Obstetricians and Gynaecologists. November 2014. Retrieved 22 April 2016.
  25. ^ Tidy, C. "Breech Presentations". Patient. Retrieved 22 April 2016.
  26. ^ a b Hofmeyr, GJ; Kulier, R; West, HM (21 July 2015). "Expedited versus conservative approaches for vaginal delivery in breech presentation". The Cochrane Database of Systematic Reviews. 7 (7): CD000082. doi:10.1002/14651858.CD000082.pub3. PMC 6505640. PMID 26197303.
  27. ^ Bilder Deborah, Pinborough-Zimmerman Judith, Miller Judith, McMahon William (2009). "Prenatal, Perinatal, and Neonatal Factors Associated With Autism Spectrum Disorders". Pediatrics. 123 (5): 1293–1300. doi:10.1542/peds.2008-0927. PMID 19403494. S2CID 36884801.{{cite journal}}: CS1 maint: multiple names: authors list (link)
  28. ^ a b c d e f Kotaska, A; Menticoglou, S; Gagnon, R; Farine, D; Basso, M; Bos, H; Delisle, MF; Grabowska, K; Hudon, L; Mundle, W; Murphy-Kaulbeck, L; Ouellet, A; Pressey, T; Roggensack, A; Maternal Fetal Medicine, Committee; Society of Obstetricians and Gynaecologists of, Canada (June 2009). "Vaginal delivery of breech presentation". Journal of Obstetrics and Gynaecology Canada. 31 (6): 557–66, 567–78. doi:10.1016/s1701-2163(16)34221-9. PMID 19646324.
  29. ^ Datta, Sanjay (2004-01-09). Anesthetic and Obstetric Management of High-Risk Pregnancy. Springer Science & Business Media. ISBN 9780387004433.
  30. ^ Kotaska A, Menticoglou S, Farine D; et al. (Jun 2009). "Vaginal delivery of breech presentation". J Obstet Gynaecol Can. 31 (6): 557–66, 567–78. doi:10.1016/s1701-2163(16)34221-9. PMID 19646324.{{cite journal}}: CS1 maint: multiple names: authors list (link) (reference is for entire section)
  31. ^ "First stage". StratOG. Royal College of Obstetricians and Gynaecologists. 2016. Archived from the original on 2016-04-27. Retrieved 22 April 2016.
  32. ^ McClain, L (2016). "Will my newborn be different? – Better Birth Blog". Better Birth Blog. Retrieved 18 March 2016.
  33. ^ "Twin Breech".
  34. ^ a b Cluver, C; Gyte, GM; Sinclair, M; Dowswell, T; Hofmeyr, GJ (9 February 2015). "Interventions for helping to turn term breech babies to head first presentation when using external cephalic version". The Cochrane Database of Systematic Reviews. 2 (2): CD000184. doi:10.1002/14651858.CD000184.pub4. hdl:10019.1/104301. PMC 10363414. PMID 25674710.
  35. ^ "Breech Presentation: Definition,Type, Etiology and Mechanism for 3rd Year GNM A Complete Note". Nursing Note. Retrieved 2024-11-18.
  36. ^ Wilgoren, Jodi (9 December 2002). "From a Radical Background, A Rhodes Scholar Emerges". New York Times. Retrieved 3 February 2015.
  37. ^ "'I Am Comic' Director Jordan Brady on Spit Takes and the Downside of Supportive Audiences". Interview. The Humor Code. 15 March 2012. Retrieved 2 February 2015.
  38. ^ Garrison, Becky (1 Jan 2008). The New Atheist Crusaders and Their Unholy Grail: The Misguided Quest to Destroy Your Faith. Thomas Nelson Inc. p. 133. ISBN 9781418574550.
  39. ^ Andrew Goldman (26 May 2013). "Billy Joel on not working, not giving up drinking and not caring what Elton John says about any of it". New York Times Magazine. p. 34. Retrieved 2 February 2015. Joel attributes the need for double hip replacement surgery to "probably being born with dysplasia." He explains that he was a breech baby and that forceps may have displaced his hips.
  40. ^ McKennain, Mike (26 February 2010). "Great balls of wax". Retrieved 3 February 2015. Allegedly said, "I was born feet first, and I've been jumpin' ever since."
  41. ^ Ellis, Christine (15 April 2012). "Music for your soul". His website. Bret Michaels. Archived from the original on 22 April 2016. Retrieved 3 February 2015.
  42. ^ Geffcken, Katherine A.; Dickison, Sheila Kathryn; Hallett, Judith P. (2000). Rome and Her Monuments: Essays on the City and Literature of Rome in Honor of Katherine A. Geffcken. Bolchazy-Carducci Publishers. p. 496. ISBN 9780865164574.
  43. ^ O'Neal, Tatum (4 Oct 2005). A Paper Life. HarperCollins. pp. 14. ISBN 9780060751029. i was born breech.
  44. ^ Shields, David (2009). The Thing about Life Is That One Day You'll Be Dead. Random House LLC. p. 4. ISBN 9780307387967.
  45. ^ Santopietro, Tom (10 Nov 2009). Sinatra in Hollywood. Macmillan. p. 12. ISBN 9781429964746.
  46. ^ Putnam, William L. (2001). The Kaiser's merchant ships in World War I. p. 33.
  47. ^ Winick, Judd (2000). Pedro and Me: Friendship, Loss, and What I Learned. Henry Holt & Co. pp. 33–36.
  48. ^ Miles, Barry (2004). Zappa. Grove Press. pp. 5. was born breech.