Ballooning degeneration


In histopathology, ballooning degeneration, formally ballooning degeneration of hepatocytes, is a form of liver parenchymal cell (i.e. hepatocyte) death.
The name is derived from the fact that the cells undergoing this form of cell death increase in size (balloon).
It is generally considered a form of apoptosis,[1] and is a descriptor used in the context of inflamed fatty liver (steatohepatitis)[2] (which may be due to obesity or alcohol), as well as viral hepatitis.
The histomorphological appearance of ballooning degeneration is not pathognomonic for steatohepatitis, but usage of the term is generally confined to the condition, i.e. in the context of other histopathological findings the label ballooning degeneration is not used for cell death with cytoplasmic clearing and cell swelling.
Appearance
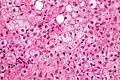
Ballooned cells are typically two to three times the size of adjacent hepatocytes and are characterized by a wispy cleared cytoplasm on H&E stained sections. They can be differentiated from adipocyte-like cells by their cytoplasm and nucleus; ballooned cells have their nucleus in the centre (unlike adipocyte-like cells, which have it peripherally). Also, ballooned cells have (small) pyknotic nuclei or nuclei that are undergoing karyorrhexis, i.e. in the process of disintegrating. The cytoplasm of cells undergoing ballooning degeneration is wispy/cobweb-like, while adipocyte-like cells have a clear cytoplasm or a vacuolated one.
Relation to feathery degeneration
Ballooning degeneration is somewhat similar in appearance to feathery degeneration, which is associated with cholestasis, and also has cytoplasmic clearing and cell swelling.
See also
Additional images
-
Ballooning degeneration. H&E stain.
References
- ^ Yip, WW; Burt, AD (2006). "Alcoholic liver disease". Semin Diagn Pathol. 23 (3–4): 149–60. doi:10.1053/j.semdp.2006.11.002. PMID 17355088.
- ^ Liangpunsakul, S; Chalasani, N (Dec 2003). "Treatment of Nonalcoholic Fatty Liver Disease". Curr Treat Options Gastroenterol. 6 (6): 455–463. doi:10.1007/s11938-003-0047-0. PMID 14585234.
External links
- Ballooning degeneration and feathery degeneration - what is the difference? - a T-shirt that asks the question - zcache.com.