Acute promyelocytic leukemia

Acute promyelocytic leukemia
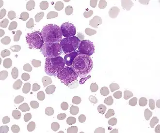
Bone marrow smear from a patient with acute promyelocytic leukemia, showing characteristic abnormal promyelocytes.[1]
SpecialtyHematology and oncology
Usual onset~40 years old[2]
CausesUncontrolled proliferation of promyelocytes[2]
Prognosis80-90% five-year survival rate
FrequencyDevelops in about 600 to 800 people per year (United States)[2]

Acute promyelocytic leukemia (APML, APL) is a subtype of acute myeloid leukemia (AML), a cancer of the white blood cells.[3] In APL, there is an abnormal accumulation of immature granulocytes called promyelocytes. The disease is characterized by a t(15;17) chromosomal translocation[4] involving the retinoic acid receptor alpha (RARA) gene and is distinguished from other forms of AML by its responsiveness to all-trans retinoic acid (ATRA; also known as tretinoin) therapy. Acute promyelocytic leukemia was first characterized in 1957[5][6] by French and Norwegian physicians as a hyperacute fatal illness,[3] with a median survival time of less than a week.[7] Today, prognoses have drastically improved; 10-year survival rates are estimated to be approximately 80-90% according to one study.[8][7][9]

Signs and symptoms

The symptoms tend to be similar to AML in general with the following being possible symptoms:[10]

Easy bleeding from low platelets may include:

Pathogenesis

Acute promyelocytic leukemia is characterized by a chromosomal translocation involving the retinoic acid receptor alpha (RARA) gene on chromosome 17.[3] In 95% of cases of APL, the RARA gene on chromosome 17 is involved in a reciprocal translocation with the promyelocytic leukemia gene (PML) on chromosome 15, a translocation denoted as t(15;17)(q22;q21).[3] The RAR receptor is dependent on retinoic acid for regulation of transcription.[3]

Eight other rare gene rearrangements have been described in APL fusing RARA to promyelocytic leukemia zinc finger (PLZF),[11] nucleophosmin, nuclear matrix associated, signal transducer and activator of transcription 5b (STAT5B), protein kinase A regulatory subunit 1α (PRKAR1A), factor interacting with PAPOLA and CPSF1 (FIP1L1), BCL-6 corepressor or oligonucleotide/oligosaccharide-binding fold containing 2A (NABP1) genes. Some of these rearrangements are ATRA-sensitive or have unknown sensitivity to ATRA because they are so rare; STAT5B/RARA and PLZF/RARA are known to be resistant to ATRA.[3]

The fusion of PML and RARA results in expression of a hybrid protein with altered functions. This fusion protein binds with enhanced affinity to sites on the cell's DNA, blocking transcription and differentiation of granulocytes. It does so by enhancing interaction of nuclear co-repressor (NCOR) molecule and histone deacetylase (HDAC). Although the chromosomal translocation involving RARA is believed to be the initiating event, additional mutations are required for the development of leukemia.[3]

RARA/PLZF gene fusion produces a subtype of APL that is unresponsive to tretinoin therapy and less responsive to standard anthracycline chemotherapy hence leading to poorer long-term outcomes in this subset of patients.[3]

Diagnosis

Acute promyelocytic leukemia may also have a hypogranular variant, which can have very scant Auer rods.[12] Wright's stain.

Acute promyelocytic leukemia can be distinguished from other types of AML based on microscopic examination of the blood film or a bone marrow aspirate or biopsy as well as finding the characteristic rearrangement. The presence of promyelocytes containing multiple Auer rods (termed faggot cells) on the peripheral blood smear is highly suggestive of acute promyelocytic leukemia. Definitive diagnosis requires testing for the PML/RARA fusion gene. This may be done by polymerase chain reaction (PCR), fluorescence in situ hybridization, or conventional cytogenetics of peripheral blood or bone marrow. This mutation involves a translocation of the long arms of chromosomes 15 and 17. On rare occasions, a cryptic translocation may occur which cannot be detected by cytogenetic testing; on these occasions PCR testing is essential to confirm the diagnosis.[3]

Hypogranular variant of APL. Giemsa stain, 1000x.

Treatment

Initial treatment

Tretinoin
Mitozantrone
Methotrexate

APL is unique among leukemias due to its sensitivity to all-trans retinoic acid (ATRA; tretinoin), the acid form of vitamin A.[3] In the early 1980s, sporadic reports of the use of 13-cis RA in APL appeared. The group from the Shanghai Institute of Hematology was the first to use a different, all-trans form of RA for treating APL which resulted in complete remission without developing marrow aplasia (Huang ME, Ye YC, Chen SR...Wang ZY. Use of all trans retinoid acid in the treatment of acute promyelocytic leukemia. Blood 1988, 72:567). Treatment with ATRA dissociates the NCOR-HDAC complex from RAR and allows DNA transcription and differentiation of the immature leukemic promyelocytes into mature granulocytes by targeting the oncogenic transcription factor and its aberrant action.[3] Unlike other chemotherapies, ATRA does not directly kill the malignant cells.[3] ATRA induces the terminal differentiation of the leukemic promyelocytes, after which these differentiated malignant cells undergo spontaneous apoptosis on their own. ATRA alone is capable of inducing remission but it is short-lived in the absence of concurrent "traditional" chemotherapy.[3] As of 2013 the standard of treatment for concurrent chemotherapy has become arsenic trioxide, which combined with ATRA is referred to ATRA-ATO;[13][14] before 2013 the standard of treatment was anthracycline (e.g. daunorubicin, doxorubicin, idarubicin or mitoxantrone)-based chemotherapy. Both chemotherapies result in a clinical remission in approximately 90% of patients with arsenic trioxide having a more favorable side effect profile.[8]

ATRA therapy is associated with the unique side effect of differentiation syndrome.[15] This is associated with the development of dyspnea, fever, weight gain, peripheral edema and is treated with dexamethasone.[16] The etiology of retinoic acid syndrome has been attributed to capillary leak syndrome from cytokine release from the differentiating promyelocytes.[16]

The monoclonal antibody gemtuzumab ozogamicin has been used successfully as a treatment for APL,[17] although it has been withdrawn from the US market due to concerns regarding potential toxicity of the drug and it is not currently marketed in Australia, Canada or the UK.[17][18] Given in conjunction with ATRA, it produces a response in around 84% of patients with APL, which is comparable to the rate seen in patients treated with ATRA and anthracycline-based therapy.[17] It produces less cardiotoxicity than anthracycline-based treatments and hence may be preferable in these patients.[17]

According to recent updates, the combination of ATRA and arsenic trioxide (ATO) is now preferred for induction therapy in many cases, offering at least as effective results with fewer side effects compared to traditional chemotherapy. [19] In cases of relapse, options include re-treatment with ATO or the targeted drug gemtuzumab ozogamicin (Mylotarg). [20]

Maintenance therapy

After stable remission was induced, the standard of care previously was to undergo 2 years of maintenance chemotherapy with methotrexate, mercaptopurine and ATRA.[21] A significant portion of patients relapsed without consolidation therapy.[16] In the 2000, European APL study, the 2-year relapse rate for those that did not receive consolidation chemotherapy (ATRA not included) therapy was 27% compared to 11% in those that did receive consolidation therapy (p<0.01).[22] Likewise, in the 2000 US APL study, the survival rates in those receiving ATRA maintenance was 61% compared to just 36% without ATRA maintenance.[23]

However, recent research on consolidation therapy following ATRA-ATO, which became the standard treatment in 2013, has found that maintenance therapy in low-risk patients following this therapy may be unnecessary, although this is controversial.[14]

Relapsed or refractory disease

1990s

In 1998, Arsenic trioxide (As2O3) had been evaluated for treatment of relapsed/refractory disease. Remission with arsenic trioxide has been reported.[24] Studies have shown arsenic reorganizes nuclear bodies and degrades the mutant PML-RAR fusion protein.[24] Arsenic also increases caspase activity which then induces apoptosis.[24]

2000s

Arsenic trioxide (As2O3) can also reduce the relapse rate for high risk patients.[25] In Japan a synthetic retinoid, tamibarotene, is licensed for use as a treatment for ATRA-resistant APL.[26]

2010s onwards

Investigational agents

Some evidence supports the potential therapeutic utility of histone deacetylase inhibitors such as valproic acid or vorinostat in treating APL.[27][28][29] According to one study, a cinnamon extract has effect on the apoptotic process in acute myeloid leukemia HL-60 cells.[30]

Prognosis

Prognosis is generally good relative to other leukemias. Because of the acuteness of onset compared to other leukemias, early death is comparatively more common. If untreated, it has median survival of less than a month. It has been transformed from a highly fatal disease to a highly curable one. The cause of early death is most commonly severe bleeding, often intracranial hemorrhage. Early death from hemorrhage occurs in 5–10% of patients in countries with adequate access to healthcare and 20–30% of patients in less developed countries. Risk factors for early death due to hemorrhage include delayed diagnosis, late treatment initiation, and high white blood cell count on admission.[31] Despite advances in treatment, early death rates have remained relatively constant, as described by several groups including Scott McClellan, Bruno Medeiros, and Ash Alizadeh at Stanford University.[32]

Relapse rates are extremely low. Most deaths following remission are from other causes, such as second malignancies, which in one study occurred in 8% of patients. In this study, second malignancies accounted for 41% of deaths, and heart disease, 29%. Survival rates were 88% at 6.3 years and 82% at 7.9 years.[33]

In another study, 10-year survival rate was estimated to be approximately 77%.[8]

Epidemiology

Acute promyelocytic leukemia represents 10–12% of AML cases.[17] The median age is approximately 30–40 years,[34] which is considerably younger than the other subtypes of AML (70 years), however in elderly population APL has peculiar characteristics.[35] Incidence is higher among individuals of Latin American or South European origin.[36] It can also occur as a secondary malignancy in those that receive treatment with topoisomerase II inhibitors (such as the anthracyclines and etoposide) due to the carcinogenic effects of these agents, with patients with breast cancer representing the majority of such patients.[37][38][39] Around 40% of patients with APL also have a chromosomal abnormality such as trisomy 8 or isochromosome 17 which do not appear to impact on long-term outcomes.[3]

Research

Oral-arsenic preparation

Oral arsenic trioxide

In 1998, researchers at the University of Hong Kong revived oral arsenic or the “modern” liquor arsenicalis to treat APL patients. The research group from the University of Hong Kong and Queen Mary Hospital did a series of works to observe the clinical effect of oral arsenic trioxide. They proposed that oral arsenic trioxide had a short-term efficacy and safety profile similar to intravenous arsenic trioxide. They then found that oral arsenic trioxide, particularly in prolonged maintenance with and ATRA may obviate the need of stem cells transplantation in relapsed pediatric APL individuals. Their recent findings proposed a triple combination regimen with oral arsenic trioxide, ATRA, and ascorbic acid maintenance, which was safe and resulted in favorable long-term survival. As of 2023 they are still testing this strategy prospectively to further rigorously assess its long-term effects. Gill et al. reported the results of a clinical study of newly-diagnosed APL from 1991 to 2021. They found that oral arsenic trioxide-based regimens significantly improved all survivals of APL individuals. In view of these findings, arsenic trioxide (intravenous or oral) may be incorporated into all phases of treatment. In addition, the use of an entirely nonchemotherapy in elderly patients can also be explored to reduce drug toxicity.[40]

Oral arsenic realgar-Indigo naturalis formula

As of 2023 another oral arsenic compound, Realgar-Indigo naturalis formula (RIF) with the chemical formula of As4S4, has been shown promising for APL treatment, including the adult, pediatric and elderly APL patients, by researchers in China.[40]

References

  1. ^ Image by Mikael Häggström, MD. Reference for findings: Syed Zaidi, M.D. "APL with PML-RARA". APL with PML-RARA. Last author update: 1 February 2013
    Source image: File:Faggot cell in AML-M3.jpg from PEIR Digital Library (Pathology image database) Archived 2009-03-01 at the Wayback Machine (Public Domain)
  2. ^ a b c "Acute Promyelocytic Leukemia". National Organization for Rare Disorders. Retrieved March 9, 2023.
  3. ^ a b c d e f g h i j k l m n Kotiah, SD, Besa, EC (3 June 2013). Sarkodee-Adoo, C, Talavera, F, Sacher, RA, McKenna, R, Besa, EC (eds.). "Acute Promyelocytic Leukemia". Medscape Reference. WebMD. Retrieved 14 January 2014.
  4. ^ Wafa A, Moassass F, Liehr T, Al-Ablog A, Al-Achkar W (July 2016). "Acute promyelocytic leukemia with the translocation t(15;17)(q22;q21) associated with t(1;2)(q42~43;q11.2~12): a case report". Journal of Medical Case Reports. 10 (1): 203. doi:10.1186/s13256-016-0982-8. PMC 4962467. PMID 27459859.
  5. ^ Tallman MS, Altman JK (2008). "Curative strategies in acute promyelocytic leukemia". Hematology. American Society of Hematology. Education Program. 2008: 391–399. doi:10.1182/asheducation-2008.1.391. PMID 19074116.
  6. ^ Hillestad LK (November 1957). "Acute promyelocytic leukemia". Acta Medica Scandinavica. 159 (3): 189–194. doi:10.1111/j.0954-6820.1957.tb00124.x. PMID 13508085.
  7. ^ a b Coombs CC, Tavakkoli M, Tallman MS (April 2015). "Acute promyelocytic leukemia: where did we start, where are we now, and the future". Blood Cancer Journal. 5 (4): e304. doi:10.1038/bcj.2015.25. PMC 4450325. PMID 25885425.
  8. ^ a b c Adès L, Guerci A, Raffoux E, Sanz M, Chevallier P, Lapusan S, et al. (March 2010). "Very long-term outcome of acute promyelocytic leukemia after treatment with all-trans retinoic acid and chemotherapy: the European APL Group experience". Blood. 115 (9): 1690–1696. doi:10.1182/blood-2009-07-233387. PMID 20018913. S2CID 18553186.
  9. ^ Coombs CC, Tavakkoli M, Tallman MS (April 2015). "Acute promyelocytic leukemia: where did we start, where are we now, and the future". Blood Cancer Journal. 5 (4): e304. doi:10.1038/bcj.2015.25. PMC 4450325. PMID 25885425.
  10. ^ Kotiah, SD, Besa, EC (3 June 2013). Sarkodee-Adoo, C, Talavera, F, Sacher, RA, McKenna, R, Besa, EC (eds.). "Acute Promyelocytic Leukemia Clinical Presentation". Medscape Reference. WebMD. Retrieved 14 January 2014.
  11. ^ Chen Z, Brand NJ, Chen A, Chen SJ, Tong JH, Wang ZY, et al. (March 1993). "Fusion between a novel Krüppel-like zinc finger gene and the retinoic acid receptor-alpha locus due to a variant t(11;17) translocation associated with acute promyelocytic leukaemia". The EMBO Journal. 12 (3): 1161–1167. doi:10.1002/j.1460-2075.1993.tb05757.x. PMC 413318. PMID 8384553.
  12. ^ Image by Mikael Häggström, MD. Source for findings: Syed Zaidi, M.D. "Bone marrow neoplastic, APL with PML-RARA". Pathology Outlines. Last author update: 1 February 2013 Last staff update: 29 November 2022
  13. ^ Lo-Coco F, Avvisati G, Vignetti M, Thiede C, Orlando SM, Iacobelli S, et al. (July 2013). "Retinoic acid and arsenic trioxide for acute promyelocytic leukemia". The New England Journal of Medicine. 369 (2): 111–121. doi:10.1056/NEJMoa1300874. hdl:11380/980318. PMID 23841729.
  14. ^ a b Cingam SR, Koshy NV (2018), "Cancer, Leukemia, Promyelocytic, Acute (APL, APML)", StatPearls, StatPearls Publishing, PMID 29083825, retrieved 2018-12-11, Hence, ATRA-ATO for induction and consolidation has emerged as the new standard of care for patients with low-(to-intermediate) risk acute promyelocytic leukemia. ATRA-ATO therapy is also a reasonable choice for patients with severe comorbidities, older adults, patients with cardiac dysfunction who cannot tolerate anthracycline-based regimens or overall poor functional status. Maintenance therapy after the initial consolidation is widely debated. Maintenance may not be necessary for patients receiving intensive induction/consolidation including ATO.
  15. ^ Breccia M, Latagliata R, Carmosino I, Cannella L, Diverio D, Guarini A, et al. (December 2008). "Clinical and biological features of acute promyelocytic leukemia patients developing retinoic acid syndrome during induction treatment with all-trans retinoic acid and idarubicin". Haematologica. 93 (12): 1918–1920. doi:10.3324/haematol.13510. PMID 18945746.
  16. ^ a b c Kotiah, SD, Besa, EC (3 June 2013). Sarkodee-Adoo, C, Talavera, F, Sacher, RA, McKenna, R, Besa, EC (eds.). "Acute Promyelocytic Leukemia Treatment & Management". Medscape Reference. WebMD. Retrieved 14 January 2014.
  17. ^ a b c d e Ravandi F, Estey EH, Appelbaum FR, Lo-Coco F, Schiffer CA, Larson RA, et al. (November 2012). "Gemtuzumab ozogamicin: time to resurrect?". Journal of Clinical Oncology. 30 (32): 3921–3923. doi:10.1200/JCO.2012.43.0132. PMC 4874205. PMID 22987091.
  18. ^ Martindale: The Complete Drug Reference. Pharmaceutical Press. 23 September 2011.
  19. ^ The American Cancer Society medical and editorial content team (2024-06-06). "Treatment of Acute Promyelocytic Leukemia (APL)". American Cancer Society. Archived from the original on 2024-07-13. Retrieved 2024-08-19.
  20. ^ "FDA approves Mylotarg for treatment of acute myeloid leukemia" (Press release). United States Food and Drug Administration. 2017-09-17. Archived from the original on 2024-03-07.
  21. ^ Kotiah, SD (28 October 2013). Anand, J, Braden, CD, Harris, JE (eds.). "Acute Promyelocytic Leukema Treatment Protocols". Medscape Reference. WebMD. Retrieved 14 January 2014.
  22. ^ Fenaux P, Chastang C, Chevret S, Sanz M, Dombret H, Archimbaud E, et al. (August 1999). "A randomized comparison of all transretinoic acid (ATRA) followed by chemotherapy and ATRA plus chemotherapy and the role of maintenance therapy in newly diagnosed acute promyelocytic leukemia. The European APL Group". Blood. 94 (4): 1192–1200. doi:10.1182/blood.V94.4.1192. PMID 10438706.
  23. ^ Tallman MS, Andersen JW, Schiffer CA, Appelbaum FR, Feusner JH, Woods WG, et al. (December 2002). "All-trans retinoic acid in acute promyelocytic leukemia: long-term outcome and prognostic factor analysis from the North American Intergroup protocol". Blood. 100 (13): 4298–4302. doi:10.1182/blood-2002-02-0632. PMID 12393590.
  24. ^ a b c Soignet SL, Maslak P, Wang ZG, Jhanwar S, Calleja E, Dardashti LJ, et al. (November 1998). "Complete remission after treatment of acute promyelocytic leukemia with arsenic trioxide". The New England Journal of Medicine. 339 (19): 1341–1348. doi:10.1056/NEJM199811053391901. PMID 9801394.
  25. ^ "Arsenic Compound Improves Survival in Acute Promyelocytic Leukemia Patients". Oncology. 21 (10). 2007.
  26. ^ Miwako I, Kagechika H (August 2007). "Tamibarotene". Drugs of Today. 43 (8): 563–568. doi:10.1358/dot.2007.43.8.1072615. PMID 17925887.
  27. ^ Martens JH, Brinkman AB, Simmer F, Francoijs KJ, Nebbioso A, Ferrara F, et al. (February 2010). "PML-RARalpha/RXR Alters the Epigenetic Landscape in Acute Promyelocytic Leukemia". Cancer Cell. 17 (2): 173–185. doi:10.1016/j.ccr.2009.12.042. hdl:2066/84175. PMID 20159609.
  28. ^ Leiva M, Moretti S, Soilihi H, Pallavicini I, Peres L, Mercurio C, et al. (July 2012). "Valproic acid induces differentiation and transient tumor regression, but spares leukemia-initiating activity in mouse models of APL". Leukemia. 26 (7): 1630–1637. doi:10.1038/leu.2012.39. PMID 22333881.
  29. ^ He LZ, Tolentino T, Grayson P, Zhong S, Warrell RP, Rifkind RA, et al. (November 2001). "Histone deacetylase inhibitors induce remission in transgenic models of therapy-resistant acute promyelocytic leukemia". The Journal of Clinical Investigation. 108 (9): 1321–1330. doi:10.1172/JCI11537. PMC 209432. PMID 11696577.
  30. ^ Assadollahi V, Parivar K, Roudbari NH, Khalatbary AR, Motamedi M, Ezatpour B, et al. (2013). "The effect of aqueous cinnamon extract on the apoptotic process in acute myeloid leukemia HL-60 cells". Advanced Biomedical Research. 2: 25. doi:10.4103/2277-9175.108001. PMC 3748636. PMID 23977653.
  31. ^ Breccia M, Latagliata R, Cannella L, Minotti C, Meloni G, Lo-Coco F (May 2010). "Early hemorrhagic death before starting therapy in acute promyelocytic leukemia: association with high WBC count, late diagnosis and delayed treatment initiation". Haematologica. 95 (5): 853–854. doi:10.3324/haematol.2009.017962. PMC 2864399. PMID 20015875.
  32. ^ McClellan JS, Kohrt HE, Coutre S, Gotlib JR, Majeti R, Alizadeh AA, et al. (January 2012). "Treatment advances have not improved the early death rate in acute promyelocytic leukemia". Haematologica. 97 (1): 133–136. doi:10.3324/haematol.2011.046490. PMC 3248942. PMID 21993679.
  33. ^ Shetty AV, Ravandi F, Alapati N, Borthakur G, Garcia-Manero G, Kadia TM, et al. (2014-12-06). "Survivorship in APL- Outcomes of Acute Promyelocytic Leukemia (APL) Patients (pts) after Maintaining Complete Remission (CR) for at Least 3 Years". Blood. 124 (21): 954. doi:10.1182/blood.V124.21.954.954. ISSN 0006-4971.
  34. ^ Schiffer, CA, Stone, RM (2000). "Chapter 124: Acute Myeloid Leukemia in Adults". In Bast, RC, Kufe, DW, Pollock, RE (eds.). Holland-Frei Cancer Medicine (5th ed.). Hamilton, ON: BC Decker. Retrieved 15 January 2014.
  35. ^ Rosati S, Gurnari C, Breccia M, Carmosino I, Scalzulli E, Montefusco E, et al. (November 2021). "Acute promyelocytic leukemia (APL) in very old patients: real-life behind protocols". Acta Oncologica. 60 (11): 1520–1526. doi:10.1080/0284186X.2021.1971291. hdl:2108/278430. PMID 34461798. S2CID 238748395.
  36. ^ Douer D, Santillana S, Ramezani L, Samanez C, Slovak ML, Lee MS, et al. (August 2003). "Acute promyelocytic leukaemia in patients originating in Latin America is associated with an increased frequency of the bcr1 subtype of the PML/RARalpha fusion gene". British Journal of Haematology. 122 (4): 563–570. doi:10.1046/j.1365-2141.2003.04480.x. PMID 12899711. S2CID 20065990.
  37. ^ Ravandi F (April 2011). "Therapy-related acute promyelocytic leukemia". Haematologica. 96 (4): 493–495. doi:10.3324/haematol.2011.041970. PMC 3069223. PMID 21454880.
  38. ^ Elliott MA, Letendre L, Tefferi A, Hogan WJ, Hook C, Kaufmann SH, et al. (March 2012). "Therapy-related acute promyelocytic leukemia: observations relating to APL pathogenesis and therapy". European Journal of Haematology. 88 (3): 237–243. doi:10.1111/j.1600-0609.2011.01727.x. PMID 22023492. S2CID 42345682.
  39. ^ Rashidi A, Fisher SI (2013). "Therapy-related acute promyelocytic leukemia: a systematic review". Medical Oncology. 30 (3): 625. doi:10.1007/s12032-013-0625-5. PMID 23771799. S2CID 5454988.
  40. ^ a b Jiang Y, Shen X, Zhi F, Wen Z, Gao Y, Xu J, et al. (July 2023). "An overview of arsenic trioxide-involved combined treatment algorithms for leukemia: basic concepts and clinical implications". Cell Death Discov (review). 9 (1): 266. doi:10.1038/s41420-023-01558-z. PMC 10374529. PMID 37500645. This article incorporates text from this source, which is available under the CC BY 4.0 license.

Further reading